-
中文名稱:MIF兔多克隆抗體
-
貨號:CSB-PA06867A0Rb
-
規格:¥440
-
圖片:
-
Western Blot
Positive WB detected in: Jurkat whole cell lysate, Rat kidney tissue, Mouse kidney tissue
All lanes: MIF antibody at 3µg/ml
Secondary
Goat polyclonal to rabbit IgG at 1/50000 dilution
Predicted band size: 13 kDa
Observed band size: 13 kDa -
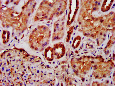
IHC image of CSB-PA06867A0Rb diluted at 1:400 and staining in paraffin-embedded human kidney tissue performed on a Leica BondTM system. After dewaxing and hydration, antigen retrieval was mediated by high pressure in a citrate buffer (pH 6.0). Section was blocked with 10% normal goat serum 30min at RT. Then primary antibody (1% BSA) was incubated at 4°C overnight. The primary is detected by a biotinylated secondary antibody and visualized using an HRP conjugated SP system.
-
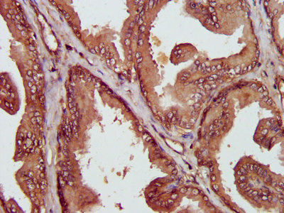
IHC image of CSB-PA06867A0Rb diluted at 1:400 and staining in paraffin-embedded human prostate tissue performed on a Leica BondTM system. After dewaxing and hydration, antigen retrieval was mediated by high pressure in a citrate buffer (pH 6.0). Section was blocked with 10% normal goat serum 30min at RT. Then primary antibody (1% BSA) was incubated at 4°C overnight. The primary is detected by a biotinylated secondary antibody and visualized using an HRP conjugated SP system.
-
Immunofluorescence staining of Hela cells with CSB-PA06867A0Rb at 1:200, counter-stained with DAPI. The cells were fixed in 4% formaldehyde, permeabilized using 0.2% Triton X-100 and blocked in 10% normal Goat Serum. The cells were then incubated with the antibody overnight at 4°C. The secondary antibody was Alexa Fluor 488-congugated AffiniPure Goat Anti-Rabbit IgG(H+L).
-
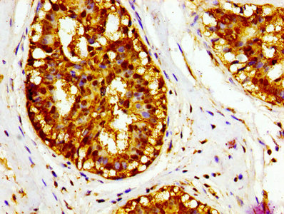
IHC image of CSB-PA06867A0Rb diluted at 1:400 and staining in paraffin-embedded human breast cancer performed on a Leica BondTM system. After dewaxing and hydration, antigen retrieval was mediated by high pressure in a citrate buffer (pH 6.0). Section was blocked with 10% normal goat serum 30min at RT. Then primary antibody (1% BSA) was incubated at 4°C overnight. The primary is detected by a biotinylated secondary antibody and visualized using an HRP conjugated SP system.
-
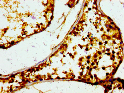
IHC image of CSB-PA06867A0Rb diluted at 1:400 and staining in paraffin-embeddedhuman testis tissue performed on a Leica BondTM system. After dewaxing and hydration, antigen retrieval was mediated by high pressure in a citrate buffer (pH 6.0). Section was blocked with 10% normal goat serum 30min at RT. Then primary antibody (1% BSA) was incubated at 4°C overnight. The primary is detected by a biotinylated secondary antibody and visualized using an HRP conjugated ABC system.
-
-
其他:
產品詳情
-
產品名稱:Rabbit anti-Homo sapiens (Human) MIF Polyclonal antibody
-
Uniprot No.:
-
基因名:
-
別名:GIF antibody; GLIF antibody; Glycosylation inhibiting factor antibody; Glycosylation-inhibiting factor antibody; L-dopachrome isomerase antibody; L-dopachrome tautomerase antibody; Macrophage migration inhibitory factor (glycosylation-inhibiting factor) antibody; Macrophage migration inhibitory factor antibody; MIF antibody; MIF protein antibody; MIF_HUMAN antibody; MMIF antibody; Phenylpyruvate tautomerase antibody
-
宿主:Rabbit
-
反應種屬:Human, Rat, Mouse
-
免疫原:Recombinant Human Macrophage migration inhibitory factor protein (2-115AA)
-
免疫原種屬:Homo sapiens (Human)
-
標記方式:Non-conjugated
本頁面中的產品,MIF Antibody (CSB-PA06867A0Rb),的標記方式是Non-conjugated。對于MIF Antibody,我們還提供其他標記。見下表:
-
克隆類型:Polyclonal
-
抗體亞型:IgG
-
純化方式:>95%, Protein G purified
-
濃度:It differs from different batches. Please contact us to confirm it.
-
保存緩沖液:Preservative: 0.03% Proclin 300
Constituents: 50% Glycerol, 0.01M PBS, PH 7.4 -
產品提供形式:Liquid
-
應用范圍:ELISA, WB, IHC, IF
-
推薦稀釋比:
Application Recommended Dilution WB 1:500-1:5000 IHC 1:200-1:500 IF 1:50-1:200 -
Protocols:
-
儲存條件:Upon receipt, store at -20°C or -80°C. Avoid repeated freeze.
-
貨期:Basically, we can dispatch the products out in 1-3 working days after receiving your orders. Delivery time maybe differs from different purchasing way or location, please kindly consult your local distributors for specific delivery time.
-
用途:For Research Use Only. Not for use in diagnostic or therapeutic procedures.
引用文獻
- T-HüCEYR? T?PL? TRANSKR?PS?YA FAKTORU (TCF7L2) GEN?N?N ROFT FACTOR,AZ?RBAYCAN RESPUBL?KASI ELM V? T?HS?L NAZ?RL?Y?,/
相關產品
靶點詳情
-
功能:Pro-inflammatory cytokine. Involved in the innate immune response to bacterial pathogens. The expression of MIF at sites of inflammation suggests a role as mediator in regulating the function of macrophages in host defense. Counteracts the anti-inflammatory activity of glucocorticoids. Has phenylpyruvate tautomerase and dopachrome tautomerase activity (in vitro), but the physiological substrate is not known. It is not clear whether the tautomerase activity has any physiological relevance, and whether it is important for cytokine activity.
-
基因功能參考文獻:
- These results highlight the importance of MIF overexpression in pancreatic ductal adenocarcinoma aggressiveness, and indicate that MIF may be a potential therapeutic target for pancreatic cancer PMID: 30226561
- MIF serum levels are elevated in erythema nodosum leprosum patients as compared to controls. PMID: 28656911
- Overall, the present work showed that MIF is a shear stress-sensitive cytokine and is transcriptionally regulated by KLF2, suggesting that laminar shear stress exerts its athero-protective effect in part by directly inhibiting pro-inflammatory MIF expression. PMID: 29403061
- Hypoxia-induced angiogenesis is a complex process that involves distinct but also overlapping functions of HIF-1alpha and HIF- 2alpha in regard to angiogenesis, bioenergetic adaption and the redundant transcriptional induction of MIF. PMID: 28993199
- that macrophage migration inhibitory factor directly engages in dengue NS1-induced glycocalyx degradation and that targeting MIF may represent a possible therapeutic approach for preventing dengue-induced vascular leakage PMID: 29702687
- In this study, we conclude that the CC ge-notype of the MIF -173GC variant may be a risk factor in the pathogenesis of Behcet's Disease in the Turkish population. However, further studies with larger samples are needed to address the exact role of this variant in BD. PMID: 29669352
- Study describes a brain glycation profile and identify MIF, an immune regulator and insulin regulator, as being glycated and oxidised in Alzheimer's Disease (AD) brain homogenates. The glycation completely inhibited the oxidoreductase activity of MIF, and severely attenuated its tautomerase activity. PMID: 28230058
- our results reveal that MIF expression is a significant independent prognostic factor for patients with oral squamous cell carcinoma PMID: 30041958
- the expression of MMIF, HIF-1alpha, and VEGF in the serum and endometrial tissues may be used to assess the stage of endometriosis and the severity of dysmenorrhea. PMID: 30074218
- migration inhibitory factor can aggravate diabetic neuropathy by suppressing glyoxalase-I and intraepidermal nerve fibers on the footpad skin lesions and provoke pain. PMID: 29690804
- This study provides better understanding of the mechanisms and disease susceptibility for MIF and CD14 genetic variants and inflammatory miRNAs networks involved in ankylosing spondylitis and polyarthralgia. PMID: 29863307
- In this review, we summarize and discuss MIF post-translational modifications and their effects on the biological properties of this protein. We propose that the redox-sensitive residues in MIF will be modified at sites of inflammation and that this will add further depth to the functional diversity of this intriguing cytokine PMID: 29247897
- meta-analyses revealed significantly higher circulating MIF levels in patients with rheumatoid arthritis, and found evidence of associations between the MIF-173 C/G and -794CATT5-8 polymorphisms and rheumatoid arthritis susceptibility PMID: 28912189
- MIF -794 CATT genotypes 7/8 and allele CATT 8 were highly associated with pulmonary tuberculosis in a southwestern China population. PMID: 29809055
- Results found MIF and TNFA mRNA expression increased in psoriatic arthritis (PsA) patients with high activity in relation to patients with moderate activity. These results suggest that both mRNA possibly have a role in the progress of the disease severity. PMID: 28965181
- The present study indicated that the MIF-173G/C polymorphism may contribute to the development of pulmonary tuberculosis. Furthermore, significantly higher serum MIF levels were observed in pulmonary tuberculosis patients than in controls, which further indicated that the MIF may play an important role in pulmonary tuberculosis progression, particularly in Asians. PMID: 28331211
- MIF and IL-6 play important roles in the inflammation associated with polymyositis. PMID: 29239244
- The expression collagen type 3, alpha1 (Col3A1), matrix metalloproteinase (MMP)2/-9 and transforming growth factor (TGF)beta was higher in patients with permanent atrial fibrillation (AF), compared with patients in sinus rhythm (SR), and the expression levels of MIF were also increased in AF. MIF was involved in the structural remodeling that accompanies AF, possibly by promoting the proliferation of cardiac fibroblasts. PMID: 29257298
- the findings of the present study demonstrated that MIF is a key component in lung cancer progression through promoting the Warburg effect, and that the novel MIF/NFkappaB/HIF1alpha axis may prove to be useful for the development of new strategies for treating patients with lung cancer PMID: 29207023
- These results potentially support an effect of MIF, but not Type I IFN, in heightened systemic lupus erythematosus disease severity in Asian systemic lupus erythematosus. The associations of MIF and Asian ethnicity with PAD are at least partly independent PMID: 27453287
- High MIF expression is associated with progressive multiple sclerosis. PMID: 28923927
- Increased perioperative MIF-levels are related to an increased risk of adverse outcome in complex aortic surgery and may represent a biomarker for risk stratification in complex aortic surgery. PMID: 29120365
- No association showed between SLE and the MIF -173 C allele, the -794CATT7 allele, and the -794CATT7-MIF-173C haplotype with high heterogeneity. PMID: 29096759
- Studied correlation of serum macrophage migration inhibitory factor (MIF) and atrial fibrillation (AF) patients and healthy subjects; found higher serum MIF concentrations in AF patients than in healthy subjects. PMID: 28407372
- genetic polymorphisms of MIF may increase the risk of posttransplant development of donor specific antibodies in kidney allograft recipients PMID: 28624489
- We reviewed the association of the MIF rs755622*C allele with systemic sclerosis, and described a phenotype-specific association of this variant with the susceptibility to develop pulmonary arterial hypertension in patients with diffuse cutaneous systemic sclerosis. PMID: 28668810
- Authors report that cysteine 81 within MIF serves as a "switch cysteine" for the conversion of redMIF to oxMIF. Modulating cysteine 81 by thiol reactive agents leads to significant structural rearrangements of the protein, resulting in a decreased beta-sheet content and an increased random coil content, but maintaining the trimeric quaternary structure. PMID: 29412660
- These findings predict the binding mode of Hu-MIF-1 and orthologs with CD74. PMID: 28513076
- Serum MIF provides information about inflammation, brain injury severity and outcome after aSAH PMID: 28823650
- MIF in serum might be a potential biomarker for reflecting inflammation, severity and prognosis of ICH patients PMID: 28729134
- In conclusion, MIF rs755622 polymorphism increases breast cancer susceptibility in Chinese population, especially among elder patients. PMID: 27844180
- MIF coreceptor CD44 is expressed by rheumatoid synovial fibroblasts in a MIF allele-dependent fashion and undergoes functional regulation and activation by autocrine/paracrine MIF PMID: 27872288
- High MIF expression is associated with hepatocellular injury and graft rejection. PMID: 28370484
- MIF is involved in the pathogenesis of AF, probably by down-regulating the protein and gene expression of Cx43 via ERK1/2 kinase activation PMID: 28429502
- Lower circulating migration inhibitory factor protein is associated with metabolic syndrome and diabetes PMID: 28703031
- Increased serum MIF levels are associated with the elevation of pre-diabetic risk. PMID: 29289260
- Serum macrophage migratory inflammatory factor levels were higher in HD patients (982.74 pg/mL) than that of PD patients (762.20 pg/mL), CKD patients (755.66 pg/mL), or healthy controls (336.81 pg/mL) (P = 0.009). Levels were also significantly increased in patients with left ventricular hypertrophy, and they correlated with the levels of other inflammatory factors. PMID: 27811451
- The assay monitors the increase in absorbance at 320 nm resulting from keto-to-enol tautomerization of 4-hydroxyphenylpyruvate, a reaction catalyzed by MIF. We ran a full-diversity screen evaluating the inhibitory activity of 1.6 million compounds. PMID: 26933127
- The rs5844572 polymorphism in MIF is linked to the rate of progression and extent of fibrosis in Biliary Atresia Patients, but not with disease susceptibility. PMID: 28657145
- Absolute numbers of MIF and IL-1beta mRNA molecules are both accurate and reliable predictors of antidepressant response. PMID: 27207917
- The knockdown of D-DT and MIF, individually and additively, inhibited the proliferation, migration, and invasion in HeLa and SiHa cells and restrained the growth of xenograft tumor. PMID: 28338494
- No association between coronary artery disease class and -794 CATT5-8 MIF polymorphisms with soluble MIF levels in CAD subjects. PMID: 28578664
- These results have implications for the manner in which D-DT and MIF compete with each other for binding to the CD74 receptor and for the relative potency of DRa1-MOG-35-55 and RTL1000 for competitive inhibition of D-DT and MIF binding and activation through CD74. PMID: 27573366
- Plasma MIF was elevated after cardiac stress (relative to before stress) in patients with a positive stress test, compared with those with a negative stress test. Plasma MIF is an early marker for myocardial ischemia. MIF was not altered after exercise in peripheral arterial occlusive disease patients, despite the occurrence of claudication, suggesting that plasma MIF is not a marker for skeletal muscle ischemia. PMID: 27364992
- Increased serum MIF concentrations have close relation to inflammation, trauma severity and clinical outcomes, substantializing MIF as a good prognostic biomarker after TBI PMID: 28366792
- renal tubular MIF is an endogenous renoprotective factor in progressive kidney diseases PMID: 28801314
- involved in the pathogenesis of idiopathic pulmonary fibrosis being mainly expressed in the areas of remodeling and active fibrosis, in bronchiolar and alveolar epithelium, and in the peripheral zone of fibroblastic foci PMID: 27337548
- MIF is primarily an indirect promoter of glioblastoma progression. PMID: 27145382
- frequent upregulation of MIF is implicated in the development and progression ofesophageal squamous cell carcinoma (ESCC). PMID: 29079416
- Data highlight the complexity of the MIF/CD74 signaling pathway in the development of mesothelioma. PMID: 26883190
顯示更多
收起更多
-
相關疾?。?/div>Rheumatoid arthritis systemic juvenile (RASJ)亞細胞定位:Secreted. Cytoplasm.蛋白家族:MIF family數據庫鏈接:
Most popular with customers
-
-
Phospho-YAP1 (S127) Recombinant Monoclonal Antibody
Applications: ELISA, WB, IHC
Species Reactivity: Human
-
-
-
-
-
-
VDAC1 Recombinant Monoclonal Antibody
Applications: ELISA, WB, IHC
Species Reactivity: Human, Mouse, Rat















