MIEN1 Antibody
-
中文名稱:MIEN1兔多克隆抗體
-
貨號:CSB-PA874795LA01HU
-
規格:¥440
-
圖片:
-
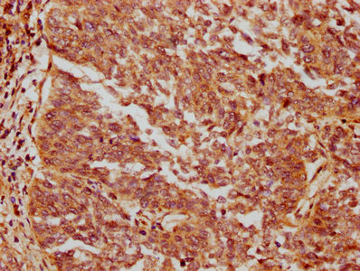
IHC image of CSB-PA874795LA01HU diluted at 1:200 and staining in paraffin-embedded human cervical cancer performed on a Leica BondTM system. After dewaxing and hydration, antigen retrieval was mediated by high pressure in a citrate buffer (pH 6.0). Section was blocked with 10% normal goat serum 30min at RT. Then primary antibody (1% BSA) was incubated at 4°C overnight. The primary is detected by a biotinylated secondary antibody and visualized using an HRP conjugated SP system.
-
-
其他:
產品詳情
-
產品名稱:Rabbit anti-Homo sapiens (Human) MIEN1 Polyclonal antibody
-
Uniprot No.:
-
基因名:MIEN1
-
別名:C17orf37 antibody; C17orf37 homolog antibody; C35 antibody; chromosome 17 open reading frame 37 antibody; HBV X transactivated gene 4 protein antibody; HBV X-transactivated gene 4 protein antibody; HBV XAg transactivated protein 4 antibody; HBV XAg-transactivated protein 4 antibody; MGC14832 antibody; Mien1 antibody; MIEN1_HUMAN antibody; Migration and invasion enhancer 1 antibody; ORB3 antibody; Protein C17orf37 antibody; Protein C35 antibody; RDX12 antibody; Redox protein, 12-KD antibody; XTP4 antibody
-
宿主:Rabbit
-
反應種屬:Human
-
免疫原:Recombinant Human Migration and invasion enhancer 1 protein (2-112AA)
-
免疫原種屬:Homo sapiens (Human)
-
標記方式:Non-conjugated
本頁面中的產品,MIEN1 Antibody (CSB-PA874795LA01HU),的標記方式是Non-conjugated。對于MIEN1 Antibody,我們還提供其他標記。見下表:
-
克隆類型:Polyclonal
-
抗體亞型:IgG
-
純化方式:>95%, Protein G purified
-
濃度:It differs from different batches. Please contact us to confirm it.
-
保存緩沖液:Preservative: 0.03% Proclin 300
Constituents: 50% Glycerol, 0.01M PBS, pH 7.4 -
產品提供形式:Liquid
-
應用范圍:ELISA, IHC
-
推薦稀釋比:
Application Recommended Dilution IHC 1:200-1:500 -
Protocols:
-
儲存條件:Upon receipt, store at -20°C or -80°C. Avoid repeated freeze.
-
貨期:Basically, we can dispatch the products out in 1-3 working days after receiving your orders. Delivery time maybe differs from different purchasing way or location, please kindly consult your local distributors for specific delivery time.
-
用途:For Research Use Only. Not for use in diagnostic or therapeutic procedures.
相關產品
靶點詳情
-
功能:Increases cell migration by inducing filopodia formation at the leading edge of migrating cells. Plays a role in regulation of apoptosis, possibly through control of CASP3. May be involved in a redox-related process.
-
基因功能參考文獻:
- these results suggest the MIEN1 promoter has a short interspersed nuclear Alu element region that is hypermethylated in normal cells leading to repression of the gene; in cancer, the hypomethylation of a part of this repeat, in addition to the binding of USF, results in MIEN1 expression PMID: 27589566
- Data show that migration and invasion enhancer 1 (MIEN1) plays an essential role in maintaining the plasticity of the dynamic membrane-associated actin cytoskeleton, which leads to an increase in cell motility, suggesting targeting MIEN1 might represent a promising means to prevent breast tumor metastasis. PMID: 27462783
- Down-regulation of C35 decreased the cell viability and migration of breast ductal carcinoma cells. PMID: 28859163
- indicate that MIEN1 overexpression may facilitate migration and invasion in breast cancer PMID: 28198505
- In conclusion, this study revealed that miR-26b suppresses NSCLC metastasis by targeting MIEN1 via NF-kappaB/MMP-9/VEGF pathways, implicating a potential prognostic biomarker and therapeutic target for NSCLC treatment. PMID: 26827826
- MIEN1, a novel interactor of Annexin A2, promotes tumor cell migration by enhancing AnxA2 cell surface expression. PMID: 26272794
- MIEN1 expression not only positively correlates with oral cancer progression but also seems to be a critical molecular determinant in migration and invasion of oral cancer cells. PMID: 25996585
- C35 might serve as a biomarker or therapeutic target for management of colorectal cancer. PMID: 26173296
- While MIEN1 is a direct target of miR-940, miR-940 alters MIEN1 RNA. PMID: 25406943
- results suggest that DeltaNp73 might cooperate with C35 to promote tumour progression and contribute to cisplatin resistance in ovarian cancer cells. PMID: 23880825
- Results suggest that MIEN1 may have an important regulatory role in phosphorylation of AKT with its redox potential. PMID: 23284973
- prenylation is required for the function of the C17orf37 protein in cancer cells PMID: 21628459
- Inhibition of C35 gene expression by small interfering RNA induces apoptosis of breast cancer cells. PMID: 21068479
- Data strongly suggest C17orf37 overexpression in prostate cancer functionally enhances migration and invasion of tumor cells, and is an important target for cancer therapy. PMID: 19503095
- MGC14832 gene is located within human chromosome 17q12 amplicon, including PPP1R1B, STARD3, TCAP, PNMT, ERBB2, MGC14832 and GRB7 genes. PPP1R1B ~ ERBB2 ~ GRB7 locus is amplified in human gastric cancer and breast cancer. PMID: 12739007
顯示更多
收起更多
-
亞細胞定位:Cytoplasm, cytosol. Cell membrane; Lipid-anchor; Cytoplasmic side. Note=Concentrates at the leading edge of migrating cells. Localizes outside membrane raft regions.
-
蛋白家族:SelWTH family
-
組織特異性:Among normal tissues, present only in Leydig cells. Strongly up-regulated in breast cancers and in brain cancer distant metastasis (at protein level). Up-regulated in prostate cancer cells and in the higher grades of prostate adenocarcinoma (at protein le
-
數據庫鏈接:
Most popular with customers
-
-
YWHAB Recombinant Monoclonal Antibody
Applications: ELISA, WB, IHC, IF, FC
Species Reactivity: Human, Mouse, Rat
-
Phospho-YAP1 (S127) Recombinant Monoclonal Antibody
Applications: ELISA, WB, IHC
Species Reactivity: Human
-
-
-
-
-















