MGP Antibody
-
中文名稱:MGP兔多克隆抗體
-
貨號:CSB-PA013789LA01HU
-
規格:¥440
-
圖片:
-
IHC image of CSB-PA013789LA01HU diluted at 1:300 and staining in paraffin-embedded human brain tissue performed on a Leica BondTM system. After dewaxing and hydration, antigen retrieval was mediated by high pressure in a citrate buffer (pH 6.0). Section was blocked with 10% normal goat serum 30min at RT. Then primary antibody (1% BSA) was incubated at 4°C overnight. The primary is detected by a biotinylated secondary antibody and visualized using an HRP conjugated SP system.
-
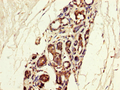
IHC image of CSB-PA013789LA01HU diluted at 1:300 and staining in paraffin-embedded human breast cancer performed on a Leica BondTM system. After dewaxing and hydration, antigen retrieval was mediated by high pressure in a citrate buffer (pH 6.0). Section was blocked with 10% normal goat serum 30min at RT. Then primary antibody (1% BSA) was incubated at 4°C overnight. The primary is detected by a biotinylated secondary antibody and visualized using an HRP conjugated SP system.
-
-
其他:
產品詳情
-
產品名稱:Rabbit anti-Homo sapiens (Human) MGP Polyclonal antibody
-
Uniprot No.:
-
基因名:
-
別名:Cell growth inhibiting gene 36 protein antibody; Cell growth-inhibiting gene 36 protein antibody; GAMMA-CARBOXYGLUTAMIC ACID PROTEIN, MATRIX antibody; GIG36 antibody; Matrix Gla protein antibody; MGLAP antibody; MGP antibody; MGP_HUMAN antibody; NTI antibody
-
宿主:Rabbit
-
反應種屬:Human
-
免疫原:Recombinant Human Matrix Gla protein (20-96AA)
-
免疫原種屬:Homo sapiens (Human)
-
標記方式:Non-conjugated
本頁面中的產品,MGP Antibody (CSB-PA013789LA01HU),的標記方式是Non-conjugated。對于MGP Antibody,我們還提供其他標記。見下表:
-
克隆類型:Polyclonal
-
抗體亞型:IgG
-
純化方式:>95%, Protein G purified
-
濃度:It differs from different batches. Please contact us to confirm it.
-
保存緩沖液:Preservative: 0.03% Proclin 300
Constituents: 50% Glycerol, 0.01M PBS, PH 7.4 -
產品提供形式:Liquid
-
應用范圍:ELISA, IHC
-
推薦稀釋比:
Application Recommended Dilution IHC 1:200-1:500 -
Protocols:
-
儲存條件:Upon receipt, store at -20°C or -80°C. Avoid repeated freeze.
-
貨期:Basically, we can dispatch the products out in 1-3 working days after receiving your orders. Delivery time maybe differs from different purchasing way or location, please kindly consult your local distributors for specific delivery time.
-
用途:For Research Use Only. Not for use in diagnostic or therapeutic procedures.
相關產品
靶點詳情
-
功能:Associates with the organic matrix of bone and cartilage. Thought to act as an inhibitor of bone formation.
-
基因功能參考文獻:
- Dp-ucMGP was high preoperatively, and further increased postoperatively in cardiovascular risk patients. PMID: 29303985
- Study found an association between diastolic left ventricular function with circulating inactive desphospho-uncarboxylated MGP in two cohorts; undertook histological studies confirming the presence of MGP in the heart and determining its exact localization in healthy and diseased hearts, using conformation-specific MGP antibodies. PMID: 29529056
- Studied serum levels of bone morphogenic protein-4 (BMP-4) and matrix Gla protein (MGP) in patients who were admitted to emergency department with the diagnosis of acute coronary syndrome (ACS) and underwent primary percutaneous coronary intervention. MGP and BMP-4 levels were significantly elevated when compared to subjects with normal coronary arteries. PMID: 28605143
- genetic association studies in population in Greece: Data suggest that an SNP in promoter region of matrix Gla protein (rs1,800,802; T-138C) is associated with diabetic angiopathy (as indicated by carotid intima media thickness) in patients with type 2 diabetes and diabetic nephropathy. PMID: 28734846
- This study concluded that diabetes coexisting with renal disease leads to extreme vascular calcification expressed by elevated MGP levels, resulting in higher frequency of cardiovascular disease in comparison to CKD patients without diabetes. PMID: 28654853
- Increased desphospho-uncarboxylated matrix Gla protein, which is a circulating biomarker of vitamin K status and vascular calcification, is independently associated with aortic stiffness, but not with stiffness of distal muscular-type arteries. PMID: 26016598
- Our results indicate that the association between the matrix Gla protein variant and increased risk for hand Osteoarthritis is caused by a lower expression of matrix Gla protein, which may increase the burden of hand Osteoarthritis by decreased inhibition of cartilage calcification. PMID: 28855172
- Genetic variability in the MGP gene was associated with vascular recurrence in the Spanish population. PMID: 28411264
- MGP is significantly repressed by miR-155 in breast cancer MCF-7 cells, and concomitantly there is a stimulation of cell proliferation and cell invasiveness. PMID: 27009385
- ectopic expression of Mgp in murine and human osteosarcoma cells led to a marked increase in lung metastasis. Abrogation of Mgp prevented lung metastatic activity, an effect that was rescued by forced expression. Mgp levels dramatically altered endothelial adhesion, trans-endothelial migration in vitro and tumour cell extravasation ability in vivo PMID: 27172275
- MGP rs4236 [A/G] gene polymorphism was not to be associated with subgingival dental calculus. Also, that GCF MGP levels were detected higher in patients with subgingival dental calculus than those without subgingival dental calculus independently of polymorphism, may be the effect of adaptive mechanism to inhibit calculus formation. PMID: 27348051
- The substitution of threonine by alanine due to MGP exon 4 Thr83Ala polymorphism is related to a decrease in the likelihood of arterial calcification in female persons in the Ukrainian population PMID: 27119839
- Correlations of plasma desphosphorylated uncarboxylated matrix Gla protein (dp-ucMGP) with vascular calcification and vascular stiffness in chronic kidney disease. Plasma dp-ucMGP was positively associated with vascular calcification and might be utilized as an early marker for vascular calcification in CKD patients. PMID: 27951533
- circulating dp-ucMGP and dp-cMGP may have a role in increasing risk of all-cause and cardiovascular mortality PMID: 24835435
- It is assumed that Lp-PLA2 is involved in vascular calcification and that dp-ucMGP is a more appropriate biomarker of residual risk than Lp-PLA2 itself. PMID: 25458708
- Data shoed increased GAS6 and decreased MGP levels in hemodialysis patients, as mediators of induction or prevention of vascular calcification. PMID: 25957430
- Altering NOTCH1 levels affected MGP mRNA and protein. PMID: 25871831
- Uncarboxylated MGP in synovial fluid might serve as a novel biomarker for assessing knee osteoarthritis progression. PMID: 26771974
- MGP expression is significantly lower in diseased relative to normal aortic valve interstitial cells. Lack of this important "anti-calcification" protein may contribute to calcification of the aortic valve. PMID: 25990696
- Higher plasma dephosphorylated uncarboxylated MGP (reflective of lower vitamin K status) was associated with higher odds of meniscus damage, osteophytes, bone marrow lesions, and subarticular cysts. PMID: 25528106
- High levels of desphospho-uncarboxylated MGP are independently and positively associated with arterial stiffness after adjustment for common cardiovascular risk factors, renal function, and age. PMID: 25987667
- The association has been found between the ischemic atherothrombotic stroke and polymorphic variants of genes MGP and VKORC1. PMID: 26040031
- MGP expression is impaired in patients with ankylosing spondylitis PMID: 25974989
- The concentration of dephosphorylated-uncarboxylated Matrix Gla protein was higher in hemodialysis patients treated with vitamin K. PMID: 25190488
- the findings of this prospective study among type 2 diabetic patients shows that high circulating dpucMGP levels are associated with increased cardiovascular diseases risk, especially with peripheral arterial disease and heart failure. PMID: 23877986
- Matrix Gla protein gene functional polymorphisms is associated with loss of bone mineral density and progression of aortic calcification. PMID: 24281054
- Inactive nonphosphorylated and uncarboxylated matrix Gla protein levels were followed in a Flemish population. They correlated causally with non-cancer mortality and coronary events but not total cardiovascular mortality. PMID: 25421980
- Both mutations predict complete loss of MGP function. PMID: 24458983
- High matrix Gla protein levels are associated with below-knee arterial calcification score in type 2 diabetes mellitus patients. PMID: 24762216
- Vitamin K insufficiency, as assessed by high plasma matrix Gla protein concentrations, is associated with increased risk for cardiovascular disease independent of classical risk factors and vitamin D status. PMID: 24210635
- Based on the study results, the MGP protein did not play an important role in the development of stenosis of coronary arteries. PMID: 24445527
- The MGP-138CC genotype may be associated with slower progression of vascular calcification in maintenance hemodialysis patients PMID: 23504408
- High MGP concentrations may be associated with more vascular calcification. PMID: 24029658
- Higher circulating MGP levels could help identify minor carotid stenosis with calcification in a relatively homogenous risk population (i.e., postmenopausal women), regardless of underlying cardiovascular risk factors PMID: 22992285
- The A/A-variant of MGP gene is associated with an increased risk of ischemic atherothrombotic stroke in the Ukrainian women. PMID: 24228496
- rs1800802 (T > C) polymorphism within the MGP promoter is not related to stenosis of the coronary artery. PMID: 23563003
- Genetic variants of MGP are associated with calcification on the arterial wall. PMID: 23677904
- Circulating dp-ucMGP and t-ucMGP may serve as markers for the extent of coronary artery calcification, but these findings need to be confirmed PMID: 22819559
- MGP is a multi-functional inhibitor of normal and abnormal angiogenesis that may function by coordinating with both Notch and BMP signaling pathways PMID: 23110920
- MGP carboxylation remained much less in pseudoxanthoma elasticum fibroblasts. PMID: 23223140
- Menaquinone supplementation dose-dependently decreases dephospho-uncarboxylated MGP concentrations, but does not affect other MGP species. PMID: 23062766
- Increased risk of myocardial infarction associated with MGP ThrAla83 genotype observed elsewhere may be related to faster progression of subclinical coronary atherosclerosis. PMID: 23307874
- findings showed that SNPrs4236 of the MGP gene is associated with kidney stones in the Chinese Han population, and influences the genetic susceptibility to kidney stones PMID: 23046575
- the A/A-variant of MGP gene promotor is associated with an increased risk of ischemic atherothrombotic stroke in female persons in the Ukrainian population. PMID: 23233942
- The change in serum fetuin-A, matrix Gla protein (MGP), and osteopontin (OPN) levels after intracerebral hemorrhage (ICH) indicates that these parameters play a role in the pathophysiological processes leading to an ICH. PMID: 22115341
- Angiotensin II exacerbates vascular calcification through activation of transcription factors, and regulation of MGP and inflammatory cytokine expression in vascular smooth muscle cells. PMID: 22796540
- There may be an association between hand osteoarthritis and genetic polymorphism at the matrix Gla protein (MGP) locus that is not reflected by total MGP serum concentrations. PMID: 21724703
- MGP level correlated negatively with proinflammatory cytokines & acute phase proteins in acute pancreatitis, & positively with lipase, fetuin A, & albumin, indicating a possible role in calcium & phosphate metabolism disturbances in AP. PMID: 22239033
- a dysregulated MGP system could be involved in left ventricular dysfunction in patients with chronic heart failure PMID: 21294711
- Mgp gene deletion may have a role in arteriovenous malformations PMID: 21765215
顯示更多
收起更多
-
相關疾病:Keutel syndrome (KTLS)
-
亞細胞定位:Secreted.
-
蛋白家族:Osteocalcin/matrix Gla protein family
-
數據庫鏈接:
Most popular with customers
-
-
YWHAB Recombinant Monoclonal Antibody
Applications: ELISA, WB, IHC, IF, FC
Species Reactivity: Human, Mouse, Rat
-
Phospho-YAP1 (S127) Recombinant Monoclonal Antibody
Applications: ELISA, WB, IHC
Species Reactivity: Human
-
-
-
-
-















