MGEA5 Antibody
-
中文名稱:MGEA5兔多克隆抗體
-
貨號:CSB-PA797342
-
規格:¥1100
-
圖片:
-
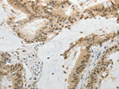
The image on the left is immunohistochemistry of paraffin-embedded Human colon cancer tissue using CSB-PA797342(MGEA5 Antibody) at dilution 1/20, on the right is treated with fusion protein. (Original magnification: ×200)
-
The image on the left is immunohistochemistry of paraffin-embedded Human ovarian cancer tissue using CSB-PA797342(MGEA5 Antibody) at dilution 1/20, on the right is treated with fusion protein. (Original magnification: ×200)
-
Gel: 8%SDS-PAGE, Lysate: 40 μg, Lane: Human fetal liver tissue, Primary antibody: CSB-PA797342(MGEA5 Antibody) at dilution 1/300, Secondary antibody: Goat anti rabbit IgG at 1/8000 dilution, Exposure time: 30 seconds
-
-
其他:
產品詳情
-
Uniprot No.:
-
基因名:MGEA5
-
別名:Beta-hexosaminidase antibody; Beta-N-acetylglucosaminidase antibody; Beta-N-acetylhexosaminidase antibody; Bifunctional protein NCOAT antibody; HEXC antibody; Hyaluronidase in meningioma antibody; KIAA0679 antibody; MEA5 antibody; Meningioma expressed antigen 5 antibody; Meningioma-expressed antigen 5 antibody; MGEA 5 antibody; Mgea5 antibody; N-acetyl-beta-D-glucosaminidase antibody; N-acetyl-beta-glucosaminidase antibody; NCOAT antibody; Nuclear cytoplasmic O GlcNAcase and acetyltransferase antibody; Nuclear cytoplasmic O-GlcNAcase and acetyltransferase antibody; OGA antibody; OGA_HUMAN antibody; Protein O-GlcNAcase antibody
-
宿主:Rabbit
-
反應種屬:Human,Mouse,Rat
-
免疫原:Fusion protein of Human MGEA5
-
免疫原種屬:Homo sapiens (Human)
-
標記方式:Non-conjugated
-
抗體亞型:IgG
-
純化方式:Antigen affinity purification
-
濃度:It differs from different batches. Please contact us to confirm it.
-
保存緩沖液:-20°C, pH7.4 PBS, 0.05% NaN3, 40% Glycerol
-
產品提供形式:Liquid
-
應用范圍:ELISA,WB,IHC
-
推薦稀釋比:
Application Recommended Dilution ELISA 1:1000-1:2000 WB 1:200-1:1000 IHC 1:25-1:100 -
Protocols:
-
儲存條件:Upon receipt, store at -20°C or -80°C. Avoid repeated freeze.
-
貨期:Basically, we can dispatch the products out in 1-3 working days after receiving your orders. Delivery time maybe differs from different purchasing way or location, please kindly consult your local distributors for specific delivery time.
-
用途:For Research Use Only. Not for use in diagnostic or therapeutic procedures.
相關產品
靶點詳情
-
功能:Cleaves GlcNAc but not GalNAc from O-glycosylated proteins. Can use p-nitrophenyl-beta-GlcNAc and 4-methylumbelliferone-GlcNAc as substrates but not p-nitrophenyl-beta-GalNAc or p-nitrophenyl-alpha-GlcNAc (in vitro). Does not bind acetyl-CoA and does not have histone acetyltransferase activity.; Cleaves GlcNAc but not GalNAc from O-glycosylated proteins. Can use p-nitrophenyl-beta-GlcNAc as substrate but not p-nitrophenyl-beta-GalNAc or p-nitrophenyl-alpha-GlcNAc (in vitro), but has about six times lower specific activity than isoform 1.
-
基因功能參考文獻:
- Beta-N-acetylhexosaminidase substrate recognition and specificity PMID: 28939839
- Tax interacts with the host OGT/OGA complex and inhibits the activity of OGT-bound OGA. PMID: 28742148
- TGFBR3 and/or MGEA5 rearrangements are much more common in hybrid hemosiderotic fibrolipomatous tumor-myxoinflammatory fibroblastic sarcomas than in classical myxoinflammatory fibroblastic sarcomas. PMID: 26980036
- Data suggest that the substrate specificity of O-GlcNAcase/OGA does not extend to proteins/peptides modified with S-GlcNAc (an analog of O-GlcNAc); proteins modified with S-GlcNAc appear to be stable against O-GlcNAcase/OGA hydrolysis. PMID: 28627871
- hOGA forms an unusual arm-in-arm homodimer in which the catalytic domain of one monomer is covered by the stalk domain of the sister monomer to create a substrate-binding cleft. PMID: 28319083
- the O-linked N-acetylglucosamine (O-GlcNAc) processing enzymes, O-GlcNAc-transferase (OGT) and O-GlcNAcase (OGA), interact with the (A)gamma-globin promoter at the -566 GATA repressor site PMID: 27231347
- E2F1 negatively regulates both Ogt and Mgea5 expression in an Rb1 protein-dependent manner. PMID: 26527687
- OGA overexpression in endothelial cells improves endothelial function and may have a beneficial effect on coronary vascular complications in diabetes. PMID: 26269457
- Amino acid composition of splice variants, post-translational modifications, and stable associations with regulatory proteins influence subcellular distribution/substrate specificity of OGA and OGT (O-linked N-acetylglucosamine transferase). [REVIEW] PMID: 25173736
- This work identifies the first target of miR-539 in the heart and the first miRNA that regulates OGA. PMID: 25183011
- Report the presence of TGFBR3 and/or MGEA5 rearrangements in pleomorphic hyalinizing angiectatic tumors and the spectrum of related neoplasms. PMID: 24705316
- Estrogen replacement therapy and plyometric training influence muscle OGT and OGA gene expression, which may be one of the mechanisms by which HRT and PT prevent aging-related loss of muscle mass. PMID: 24365779
- O-linked beta-N-acetylglucosaminylation (O-GlcNAcylation) in primary and metastatic colorectal cancer clones and effect of N-acetyl-beta-D-glucosaminidase silencing on cell phenotype and transcriptome. PMID: 22730328
- Data show that the interplay between O-GlcNAc and phosphorylation on proteins and indicate that these effects can be mediated by changes in hOGT and hOGA kinetic activity. PMID: 22311971
- Analysis of urinary content of MGEA5 and OGT may be useful for bladder cancer diagnostics. PMID: 22783592
- Decrease in MGEA5 and increase in O-GlcNAc transferease expression in higher grade tumors suggests that increased O-GlcNAc modification may be implicated in breast tumor progression and metastasis. PMID: 21567137
- Chromosomal translocation t(1;10) is consistent with rearrangements of TGFBR3 and MGEA5 in both myxoinflammatory fibroblastic sarcoma and hemosiderotic fibrolipomatous tumor. PMID: 21717526
- Reducing ChREBP(OG) levels via OGA overexpression decreased lipogenic protein content (ACC, FAS), prevented hepatic steatosis, and improved the lipidic profile of OGA-treated db/db mice. PMID: 21471514
- Direct evidence links muscle atrophy and the disruption of O-GlcNAcase activity in male bitransgenic mice. PMID: 21178104
- Results provide evidence that OGA may possess a substrate-recognition mechanism tinvolving interactions with O-GlcNAcylated proteins beyond the GlcNAc-binding site. PMID: 20863279
- N-terminal region of OGA contains the catalytic site and the C-terminal region stabilizes the protein structure and affects substrate affinity. PMID: 20673219
- This study analyzes the activity of the enzyme involved in the removal of these sugar residues, i.e. beta-N-acetylglucosaminidase (O-GlcNAcase) as well as the level of N-acetylglucosamine in benign and malignant thyroid lesions. PMID: 20198314
- Investigated this locus in Pima Indians who have the world's highest prevalence of NIDDM. Concluded that mutations in MGEA5 are unlikely to contribute to NIDDM in this population PMID: 12359146
- In type 2 Diabetes patients in Mexico City, the frequency of the T allele of MGEAT5 was higher (2.6%) in the cases than in controls (1.8%), but not a significant deviation from Hardy_Weinberg proportions. PMID: 17546623
- review of modifications, phosphorylation and a specific form of glycosylation, O-linked -N-acetylglucosaminylation by O-GlcNAc, relevant to pathological tau phosphorylation PMID: 18641620
- the short nuclear variant of O-GlcNAcase, which has the identical catalytic domain as the full-length enzyme, has similar trends in a pH-rate profile and Taft linear free energy analysis as the full-length enzyme PMID: 19423084
- characterization of O-GlcNAcase transition states using several series of substrates to generate multiple simultaneous free-energy relationships PMID: 19715310
- This protein is a cytosolic, neutral, O-GlcNAc specific hexosaminidase termed O-GlcNAcase. PMID: 11148210
顯示更多
收起更多
-
亞細胞定位:[Isoform 3]: Nucleus.; [Isoform 1]: Cytoplasm.
-
蛋白家族:Glycosyl hydrolase 84 family
-
組織特異性:Ubiquitous. Shows highest expression in the brain, placenta and pancreas.
-
數據庫鏈接:
Most popular with customers
-
-
Phospho-YAP1 (S127) Recombinant Monoclonal Antibody
Applications: ELISA, WB, IHC
Species Reactivity: Human
-
-
-
-
-
-















