MFAP4 Antibody
-
中文名稱:MFAP4兔多克隆抗體
-
貨號:CSB-PA013749LA01HU
-
規格:¥440
-
圖片:
-
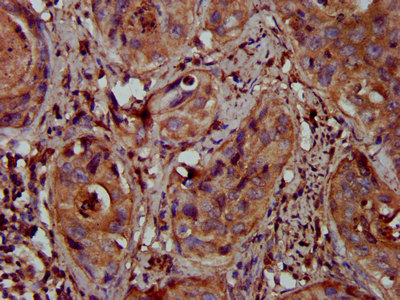
IHC image of CSB-PA013749LA01HU diluted at 1:300 and staining in paraffin-embedded human prostate cancer performed on a Leica BondTM system. After dewaxing and hydration, antigen retrieval was mediated by high pressure in a citrate buffer (pH 6.0). Section was blocked with 10% normal goat serum 30min at RT. Then primary antibody (1% BSA) was incubated at 4°C overnight. The primary is detected by a biotinylated secondary antibody and visualized using an HRP conjugated SP system.
-
IHC image of CSB-PA013749LA01HU diluted at 1:300 and staining in paraffin-embedded human cervical cancer performed on a Leica BondTM system. After dewaxing and hydration, antigen retrieval was mediated by high pressure in a citrate buffer (pH 6.0). Section was blocked with 10% normal goat serum 30min at RT. Then primary antibody (1% BSA) was incubated at 4°C overnight. The primary is detected by a biotinylated secondary antibody and visualized using an HRP conjugated SP system.
-
-
其他:
產品詳情
-
產品名稱:Rabbit anti-Homo sapiens (Human) MFAP4 Polyclonal antibody
-
Uniprot No.:
-
基因名:MFAP4
-
別名:MFAP4 antibody; MFAP4_HUMAN antibody; Microfibril-associated glycoprotein 4 antibody; Microfibrillar associated protein 4 antibody
-
宿主:Rabbit
-
反應種屬:Human
-
免疫原:Recombinant Human Microfibril-associated glycoprotein 4 protein (100-191AA)
-
免疫原種屬:Homo sapiens (Human)
-
標記方式:Non-conjugated
本頁面中的產品,MFAP4 Antibody (CSB-PA013749LA01HU),的標記方式是Non-conjugated。對于MFAP4 Antibody,我們還提供其他標記。見下表:
-
克隆類型:Polyclonal
-
抗體亞型:IgG
-
純化方式:>95%, Protein G purified
-
濃度:It differs from different batches. Please contact us to confirm it.
-
保存緩沖液:Preservative: 0.03% Proclin 300
Constituents: 50% Glycerol, 0.01M PBS, pH 7.4 -
產品提供形式:Liquid
-
應用范圍:ELISA, IHC
-
推薦稀釋比:
Application Recommended Dilution IHC 1:200-1:500 -
Protocols:
-
儲存條件:Upon receipt, store at -20°C or -80°C. Avoid repeated freeze.
-
貨期:Basically, we can dispatch the products out in 1-3 working days after receiving your orders. Delivery time maybe differs from different purchasing way or location, please kindly consult your local distributors for specific delivery time.
-
用途:For Research Use Only. Not for use in diagnostic or therapeutic procedures.
相關產品
靶點詳情
-
功能:Could be involved in calcium-dependent cell adhesion or intercellular interactions. May contribute to the elastic fiber assembly and/or maintenance.
-
基因功能參考文獻:
- the applicability of MFAP4 as a novel serum biomarker for assessment of hepatic fibrosis and identification of high-risk patients with severe fibrosis stages in hepatitis C, is reported. PMID: 27378383
- No association between pMFAP4 and macrovascular vascular complications was found. However, high levels of pMFAP4 correlated independently with diabetic neuropathy. PMID: 28039584
- These studies have identified and validated new factors enriched in juvenile chondrocytes as compared to adult chondrocytes including secreted extracellular matrix factors chordin-like 1 (CHRDL1) and microfibrillar-associated protein 4 (MFAP4). PMID: 26955889
- plasma MFAP4 was significantly increased among patients with a previous diagnosis of liver disease or congestive heart failure compared to patients with other diagnoses. PMID: 26460565
- Data suggest that MFAP4 specifically binds tropoelastin and fibrillin-1/-2, as well as elastin cross-linking amino acid desmosine; MFAP4 co-localizes with fibrillin-1-positive fibers; MFAP4 actively promotes tropoelastin self-assembly. PMID: 26601954
- MFAP4 regulates integrin alphaVbeta3-induced VSMC proliferation and migration, as well as monocyte chemotaxis, and accelerates neointimal hyperplasia after vascular injury. PMID: 26564819
- Serum MFAP4 varies in groups of patients with different cardiovascular conditions. PMID: 24349233
- The findings support the biomarker potential of systemic MFAP4, with elevated levels in the serum reflecting pathological processes involving ECM remodeling and degradation. PMID: 24324779
- skin with enhanced MFAP-4 expression was protected from UVB-induced photodamage/photoaging accompanied by the prevention of ECM degradation and aggravated elasticity PMID: 22355679
- Microfibrillar associated protein 4 binds pulmonary surfactant protein A (SP-A) and colocalizes with SP-A in the extracellular matrix of the lung. PMID: 16867155
顯示更多
收起更多
-
亞細胞定位:Secreted, extracellular space, extracellular matrix.
-
數據庫鏈接:
Most popular with customers
-
-
YWHAB Recombinant Monoclonal Antibody
Applications: ELISA, WB, IHC, IF, FC
Species Reactivity: Human, Mouse, Rat
-
Phospho-YAP1 (S127) Recombinant Monoclonal Antibody
Applications: ELISA, WB, IHC
Species Reactivity: Human
-
-
-
-
-















