METTL7A Antibody
-
中文名稱:METTL7A兔多克隆抗體
-
貨號:CSB-PA862041LA01HU
-
規格:¥440
-
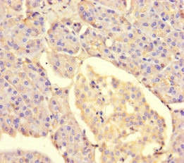
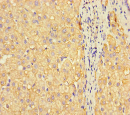
圖片:
-
其他:
產品詳情
-
產品名稱:Rabbit anti-Homo sapiens (Human) METTL7A Polyclonal antibody
-
Uniprot No.:
-
基因名:METTL7A
-
別名:AAM B antibody; AAMB antibody; DKFZP586A0522 antibody; MET7A_HUMAN antibody; Methyltransferase like 7A antibody; Methyltransferase-like protein 7A antibody; METTL 7A antibody; METTL7A antibody; METTL7A methlytransferase like 7A antibody; Protein AAM-B antibody; Protein AAMB antibody
-
宿主:Rabbit
-
反應種屬:Human
-
免疫原:Recombinant Human Methyltransferase-like protein 7A protein (30-244AA)
-
免疫原種屬:Homo sapiens (Human)
-
標記方式:Non-conjugated
本頁面中的產品,METTL7A Antibody (CSB-PA862041LA01HU),的標記方式是Non-conjugated。對于METTL7A Antibody,我們還提供其他標記。見下表:
-
克隆類型:Polyclonal
-
抗體亞型:IgG
-
純化方式:>95%, Protein G purified
-
濃度:It differs from different batches. Please contact us to confirm it.
-
保存緩沖液:Preservative: 0.03% Proclin 300
Constituents: 50% Glycerol, 0.01M PBS, PH 7.4 -
產品提供形式:Liquid
-
應用范圍:ELISA, IHC
-
推薦稀釋比:
Application Recommended Dilution IHC 1:20-1:200 -
Protocols:
-
儲存條件:Upon receipt, store at -20°C or -80°C. Avoid repeated freeze.
-
貨期:Basically, we can dispatch the products out in 1-3 working days after receiving your orders. Delivery time maybe differs from different purchasing way or location, please kindly consult your local distributors for specific delivery time.
-
用途:For Research Use Only. Not for use in diagnostic or therapeutic procedures.
相關產品
靶點詳情
-
功能:Probable methyltransferase.
-
基因功能參考文獻:
- Results revealed that the methylation level of METTL7A was downregulated in thyroid cancer, and determined the methylation level of one CpG site at the exon of the METTL7A gene body impacted the transcriptional activity. PMID: 28416772
- AAM-B is predominantly localized in lipid droplets and may be involved in recruitment of NS4B protein in the proximity of lipid droplets. PMID: 26185986
-
亞細胞定位:Lipid droplet. Endoplasmic reticulum. Membrane.
-
蛋白家族:Methyltransferase superfamily
-
數據庫鏈接:
Most popular with customers
-
-
YWHAB Recombinant Monoclonal Antibody
Applications: ELISA, WB, IHC, IF, FC
Species Reactivity: Human, Mouse, Rat
-
Phospho-YAP1 (S127) Recombinant Monoclonal Antibody
Applications: ELISA, WB, IHC
Species Reactivity: Human
-
-
-
-
-















