MED28 Antibody
-
中文名稱:MED28兔多克隆抗體
-
貨號:CSB-PA922141
-
規格:¥1100
-
圖片:
-
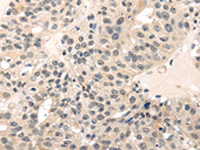
The image on the left is immunohistochemistry of paraffin-embedded Human prostate cancer tissue using CSB-PA922141(MED28 Antibody) at dilution 1/30, on the right is treated with fusion protein. (Original magnification: ×200)
-
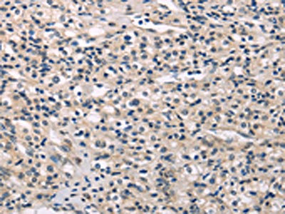
The image on the left is immunohistochemistry of paraffin-embedded Human breast cancer tissue using CSB-PA922141(MED28 Antibody) at dilution 1/30, on the right is treated with fusion protein. (Original magnification: ×200)
-
Gel: 12%SDS-PAGE, Lysate: 40 μg, Lane: Human placenta tissue, Primary antibody: CSB-PA922141(MED28 Antibody) at dilution 1/400 dilution, Secondary antibody: Goat anti rabbit IgG at 1/8000 dilution, Exposure time: 30 seconds
-
-
其他:
產品詳情
-
Uniprot No.:
-
基因名:MED28
-
別名:EG1 antibody; Endothelial-derived protein 1 antibody; FKSG20 antibody; Magicin antibody; med28 antibody; MED28_HUMAN antibody; Mediator complex subunit 28 antibody; Mediator of RNA polymerase II transcription subunit 28 antibody; Merlin and Grb2-interacting cytoskeletal protein antibody; Tumor angiogenesis marker EG-1 antibody
-
宿主:Rabbit
-
反應種屬:Human,Mouse,Rat
-
免疫原:Full length fusion protein
-
免疫原種屬:Homo sapiens (Human)
-
標記方式:Non-conjugated
-
抗體亞型:IgG
-
純化方式:Antigen affinity purification
-
濃度:It differs from different batches. Please contact us to confirm it.
-
保存緩沖液:-20°C, pH7.4 PBS, 0.05% NaN3, 40% Glycerol
-
產品提供形式:Liquid
-
應用范圍:ELISA,WB,IHC
-
推薦稀釋比:
Application Recommended Dilution ELISA 1:2000-1:5000 WB 1:500-1:2000 IHC 1:25-1:100 -
Protocols:
-
儲存條件:Upon receipt, store at -20°C or -80°C. Avoid repeated freeze.
-
貨期:Basically, we can dispatch the products out in 1-3 working days after receiving your orders. Delivery time maybe differs from different purchasing way or location, please kindly consult your local distributors for specific delivery time.
-
用途:For Research Use Only. Not for use in diagnostic or therapeutic procedures.
相關產品
靶點詳情
-
功能:Component of the Mediator complex, a coactivator involved in the regulated transcription of nearly all RNA polymerase II-dependent genes. Mediator functions as a bridge to convey information from gene-specific regulatory proteins to the basal RNA polymerase II transcription machinery. Mediator is recruited to promoters by direct interactions with regulatory proteins and serves as a scaffold for the assembly of a functional preinitiation complex with RNA polymerase II and the general transcription factors. May be part of a complex containing NF2/merlin that participates in cellular signaling to the actin cytoskeleton downstream of tyrosine kinase signaling pathways.
-
基因功能參考文獻:
- MED28 modulates the development of epithelial-mesenchymal transition through NFkappaB in human breast cancer cells. PMID: 27662245
- All trans-retinoic acid can reverse the suppressive effect of MED28 on HBP1 and E-cadherin and inactivate the Wnt/beta-catenin pathway in colorectal cancer, suggesting a protective effect of ATRA against colorectal cancer. PMID: 26660958
- This paper describes a link between Med23 and IFN-lambda3, provides evidence for the crucial role of IFN-lambda in HSV-1 immune control. PMID: 23950709
- These data indicate that MED28 regulates cellular migration in a MEK1-dependent manner in human breast cancer cells, reinforcing the important cellular roles of MED28. PMID: 22495818
- High MED28 is associated with breast cancer. PMID: 20584319
- demonstrate an interaction between Grb2 and magicin. In addition, merlin is capable of forming a ternary complex with magicin and Grb2 PMID: 15467741
- EG-1 is a positive stimulator of cellular proliferation, and may possibly be involved in signaling pathways involving Src and MAPK activation. PMID: 16024617
- May serve as a multi-faceted adaptor/scaffold to relay cellular signaling to the cytoskeleton and from the cytoskeleton to the nucleus. PMID: 16899217
- EG-1 may be involved in signaling pathways including c-Src activation. PMID: 16964398
- EG-1 has a role in breast tumor growth PMID: 17568184
- Study reports that down-regulation of human Med28 expression in NIH3T3 cells results in a significant induction of several genes associated with smooth muscle cell (SMC)differentiation; conversely, overexpression of MED28 represses SMC gene expression. PMID: 17848560
顯示更多
收起更多
-
亞細胞定位:Nucleus. Cytoplasm. Membrane; Peripheral membrane protein. Note=According to PubMed:15467741, it is cytoplasmic and mainly membrane-associated.
-
蛋白家族:Mediator complex subunit 28 family
-
組織特異性:Widely expressed. Highly expressed in vascular tissues such as placenta, testis and liver.
-
數據庫鏈接:
Most popular with customers
-
-
YWHAB Recombinant Monoclonal Antibody
Applications: ELISA, WB, IHC, IF, FC
Species Reactivity: Human, Mouse, Rat
-
Phospho-YAP1 (S127) Recombinant Monoclonal Antibody
Applications: ELISA, WB, IHC
Species Reactivity: Human
-
-
-
-
-















