MED26 Antibody
-
中文名稱:MED26兔多克隆抗體
-
貨號:CSB-PA013659LA01HU
-
規格:¥440
-
圖片:
-
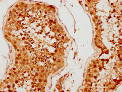
IHC image of CSB-PA013659LA01HU diluted at 1:500 and staining in paraffin-embedded human testis tissue performed on a Leica BondTM system. After dewaxing and hydration, antigen retrieval was mediated by high pressure in a citrate buffer (pH 6.0). Section was blocked with 10% normal goat serum 30min at RT. Then primary antibody (1% BSA) was incubated at 4°C overnight. The primary is detected by a biotinylated secondary antibody and visualized using an HRP conjugated SP system.
-
-
其他:
產品詳情
-
產品名稱:Rabbit anti-Homo sapiens (Human) MED26 Polyclonal antibody
-
Uniprot No.:
-
基因名:MED26
-
別名:Activator recruited cofactor 70 kDa component antibody; Activator-recruited cofactor 70 kDa component antibody; ARC 70 antibody; ARC70 antibody; Cofactor required for Sp1 transcriptional activation subunit 7 antibody; Cofactor required for Sp1 transcriptional activation, subunit 7 (70kD) antibody; Cofactor required for Sp1 transcriptional activation, subunit 7, 70kDa antibody; CRSP 7 antibody; CRSP complex subunit 7 antibody; CRSP70 antibody; MED 26 antibody; Med26 antibody; MED26_HUMAN antibody; Mediator complex subunit 26 antibody; Mediator of RNA polymerase II transcription subunit 26 antibody; Transcriptional coactivator CRSP70 antibody
-
宿主:Rabbit
-
反應種屬:Human
-
免疫原:Recombinant Human Mediator of RNA polymerase II transcription subunit 26 protein (372-523AA)
-
免疫原種屬:Homo sapiens (Human)
-
標記方式:Non-conjugated
本頁面中的產品,MED26 Antibody (CSB-PA013659LA01HU),的標記方式是Non-conjugated。對于MED26 Antibody,我們還提供其他標記。見下表:
-
克隆類型:Polyclonal
-
抗體亞型:IgG
-
純化方式:>95%, Protein G purified
-
濃度:It differs from different batches. Please contact us to confirm it.
-
保存緩沖液:Preservative: 0.03% Proclin 300
Constituents: 50% Glycerol, 0.01M PBS, pH 7.4 -
產品提供形式:Liquid
-
應用范圍:ELISA, IHC
-
推薦稀釋比:
Application Recommended Dilution IHC 1:500-1:1000 -
Protocols:
-
儲存條件:Upon receipt, store at -20°C or -80°C. Avoid repeated freeze.
-
貨期:Basically, we can dispatch the products out in 1-3 working days after receiving your orders. Delivery time maybe differs from different purchasing way or location, please kindly consult your local distributors for specific delivery time.
-
用途:For Research Use Only. Not for use in diagnostic or therapeutic procedures.
相關產品
靶點詳情
-
功能:Component of the Mediator complex, a coactivator involved in the regulated transcription of nearly all RNA polymerase II-dependent genes. Mediator functions as a bridge to convey information from gene-specific regulatory proteins to the basal RNA polymerase II transcription machinery. Mediator is recruited to promoters by direct interactions with regulatory proteins and serves as a scaffold for the assembly of a functional pre-initiation complex with RNA polymerase II and the general transcription factors.
-
基因功能參考文獻:
- EAF1 (239-268) and TAF7 (205-235) peptide interactions were both mapped to the same groove formed by H3 and H4 helices of MED26 N-terminal domain. PMID: 28893534
- the MED26-NTD functions as a molecular switch in the exchange of TBP-associated factor 7 (TAF7) for LEC to facilitate the transition from initiation to elongation during transcription of a subset of snRNA genes PMID: 25575120
- MED26 can function as a molecular switch that interacts first with TFIID in the Pol II initiation complex and then exchanges TFIID for complexes containing ELL/EAF and P-TEFb to facilitate transition of Pol II into the elongation stage of transcription. PMID: 21729782
- Human CRSP interacts with RNA polymerase II CTD and adopts a specific CTD-bound conformation PMID: 12050112
- findings identify MED19/MED26 as a probable composite REST interface in Mediator and further clarify the mechanistic basis by which Mediator facilitates REST-imposed epigenetic restrictions on neuronal gene expression PMID: 19049968
顯示更多
收起更多
-
亞細胞定位:Nucleus.
-
蛋白家族:Mediator complex subunit 26 family
-
數據庫鏈接:
Most popular with customers
-
-
Phospho-YAP1 (S127) Recombinant Monoclonal Antibody
Applications: ELISA, WB, IHC
Species Reactivity: Human
-
-
-
-
-
-















