MDFIC Antibody
-
中文名稱:MDFIC兔多克隆抗體
-
貨號:CSB-PA889174OA01HU
-
規格:¥440
-
圖片:
-
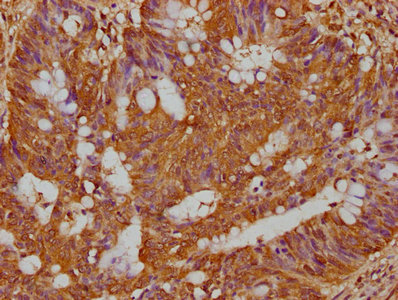
IHC image of CSB-PA889174OA01HU diluted at 1:300 and staining in paraffin-embedded human colon cancer performed on a Leica BondTM system. After dewaxing and hydration, antigen retrieval was mediated by high pressure in a citrate buffer (pH 6.0). Section was blocked with 10% normal goat serum 30min at RT. Then primary antibody (1% BSA) was incubated at 4°C overnight. The primary is detected by a biotinylated secondary antibody and visualized using an HRP conjugated SP system.
-
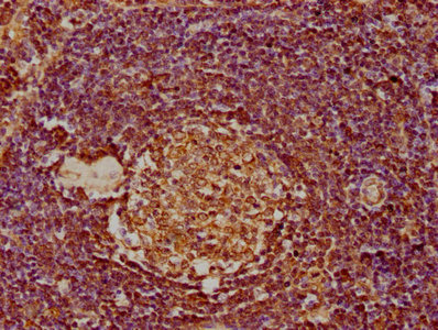
IHC image of CSB-PA889174OA01HU diluted at 1:300 and staining in paraffin-embedded human lymph node tissue performed on a Leica BondTM system. After dewaxing and hydration, antigen retrieval was mediated by high pressure in a citrate buffer (pH 6.0). Section was blocked with 10% normal goat serum 30min at RT. Then primary antibody (1% BSA) was incubated at 4°C overnight. The primary is detected by a biotinylated secondary antibody and visualized using an HRP conjugated SP system.
-
Immunofluorescence staining of U251 cells with CSB-PA889174OA01HU at 1:100, counter-stained with DAPI. The cells were fixed in 4% formaldehyde, permeabilized using 0.2% Triton X-100 and blocked in 10% normal Goat Serum. The cells were then incubated with the antibody overnight at 4°C. The secondary antibody was Alexa Fluor 488-congugated AffiniPure Goat Anti-Rabbit IgG(H+L).
-
-
其他:
產品詳情
-
產品名稱:Rabbit anti-Homo sapiens (Human) MDFIC Polyclonal antibody
-
Uniprot No.:
-
基因名:MDFIC
-
別名:MDFIC antibody; MyoD family inhibitor domain-containing protein antibody; I-mfa domain-containing protein antibody; hIC antibody
-
宿主:Rabbit
-
反應種屬:Human
-
免疫原:Peptide sequence from Human MyoD family inhibitor domain-containing protein (35-53AA)
-
免疫原種屬:Homo sapiens (Human)
-
標記方式:Non-conjugated
本頁面中的產品,MDFIC Antibody (CSB-PA889174OA01HU),的標記方式是Non-conjugated。對于MDFIC Antibody,我們還提供其他標記。見下表:
-
克隆類型:Polyclonal
-
抗體亞型:IgG
-
純化方式:>95%, Protein G purified
-
濃度:It differs from different batches. Please contact us to confirm it.
-
保存緩沖液:Preservative: 0.03% Proclin 300
Constituents: 50% Glycerol, 0.01M PBS, pH 7.4 -
產品提供形式:Liquid
-
應用范圍:ELISA, IHC, IF
-
推薦稀釋比:
Application Recommended Dilution IHC 1:200-1:500 IF 1:50-1:200 -
Protocols:
-
儲存條件:Upon receipt, store at -20°C or -80°C. Avoid repeated freeze.
-
貨期:Basically, we can dispatch the products out in 1-3 working days after receiving your orders. Delivery time maybe differs from different purchasing way or location, please kindly consult your local distributors for specific delivery time.
-
用途:For Research Use Only. Not for use in diagnostic or therapeutic procedures.
相關產品
靶點詳情
-
功能:Acts as a transcriptional activator or repressor. Inhibits the transcriptional activation of Zic family proteins ZIC1, ZIC2 and ZIC3. Retains nuclear Zic proteins ZIC1, ZIC2 and ZIC3 in the cytoplasm. Modulates the expression from both cellular and viral promoters. Down-regulates Tat-dependent transcription of the human immunodeficiency virus type 1 (HIV-1) LTR by interacting with HIV-1 Tat and Rev and impairing their nuclear import, probably by rendering the NLS domains inaccessible to importin-beta. Also stimulates activation of human T-cell leukemia virus type I (HTLV-I) LTR. Binds to the axin complex, resulting in an increase in the level of free beta-catenin. Affects axin regulation of the WNT and JNK signaling pathways.
-
基因功能參考文獻:
- GR directly represses the MDFIC gene, revealing a negative feedback loop by which glucocorticoids limit MDFIC activity. These findings identify a new binding partner for cytoplasmic GR that modulates the receptor transcriptome and contributes to the tissue-specific actions of glucocorticoids. PMID: 28223352
- HIC specifically interacts with HTLV-1 Tax and negatively regulates Tax transactivational activity by altering its subcellular distribution and stability. PMID: 26469549
- We demonstrate that HIC selectively interferes with Rev NLS interaction with importin beta and impedes its nuclear import and function, but does not affect Rev nuclear import mediated by transportin. PMID: 21401918
- These data reveal for the first time that I-mfa domain proteins interact with LANA and negatively regulate LANA-mediated activation of Wnt signaling-dependent transcription by inhibiting the formation of the LANA.GSK-3beta complex. PMID: 20417616
- This study describes that the immune expression of HIC is cell-specific, dynamic, and identifies the HIC gene as an IL-2 responsive gene. PMID: 19428567
- strict regulation of HIC expression at the levels of mRNA stability, translation efficiency and protein stability suggests that expression of the HIC protein and its involvement in the various pathways is required only under specific cellular conditions PMID: 19582149
- Two isoforms, resulting from the use of a non-AUG (GUG) and a downstream in-frame AUG translation initiation codon, have different subcellular localization. PMID: 10671520
顯示更多
收起更多
-
亞細胞定位:[Isoform 1]: Nucleus, nucleolus. Note=Also shows a granular distribution in the cytoplasm.; [Isoform 2]: Cytoplasm. Note=Weak expression in the nucleus.
-
蛋白家族:MDFI family
-
組織特異性:Expressed in lymphoid organs (spleen, thymus, peripheral blood leukocytes) as well as prostate, uterus and small intestine.
-
數據庫鏈接:
Most popular with customers
-
YWHAB Recombinant Monoclonal Antibody
Applications: ELISA, WB, IHC, IF, FC
Species Reactivity: Human, Mouse, Rat
-
Phospho-YAP1 (S127) Recombinant Monoclonal Antibody
Applications: ELISA, WB, IHC
Species Reactivity: Human
-
-
-
-
-
-















