MCTP2 Antibody
-
中文名稱:MCTP2兔多克隆抗體
-
貨號:CSB-PA738576LA01HU
-
規格:¥440
-
圖片:
-
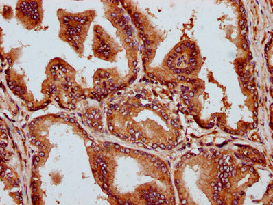
IHC image of CSB-PA738576LA01HU diluted at 1:300 and staining in paraffin-embedded human prostate tissue performed on a Leica BondTM system. After dewaxing and hydration, antigen retrieval was mediated by high pressure in a citrate buffer (pH 6.0). Section was blocked with 10% normal goat serum 30min at RT. Then primary antibody (1% BSA) was incubated at 4°C overnight. The primary is detected by a biotinylated secondary antibody and visualized using an HRP conjugated SP system.
-
Immunofluorescence staining of Hela cells with CSB-PA738576LA01HU at 1:100, counter-stained with DAPI. The cells were fixed in 4% formaldehyde, permeabilized using 0.2% Triton X-100 and blocked in 10% normal Goat Serum. The cells were then incubated with the antibody overnight at 4°C. The secondary antibody was Alexa Fluor 488-congugated AffiniPure Goat Anti-Rabbit IgG(H+L).
-
-
其他:
產品詳情
-
產品名稱:Rabbit anti-Homo sapiens (Human) MCTP2 Polyclonal antibody
-
Uniprot No.:
-
基因名:MCTP2
-
別名:MCTP2Multiple C2 and transmembrane domain-containing protein 2 antibody
-
宿主:Rabbit
-
反應種屬:Human
-
免疫原:Recombinant Human Multiple C2 and transmembrane domain-containing protein 2 protein (129-240AA)
-
免疫原種屬:Homo sapiens (Human)
-
標記方式:Non-conjugated
本頁面中的產品,MCTP2 Antibody (CSB-PA738576LA01HU),的標記方式是Non-conjugated。對于MCTP2 Antibody,我們還提供其他標記。見下表:
-
克隆類型:Polyclonal
-
抗體亞型:IgG
-
純化方式:>95%, Protein G purified
-
濃度:It differs from different batches. Please contact us to confirm it.
-
保存緩沖液:Preservative: 0.03% Proclin 300
Constituents: 50% Glycerol, 0.01M PBS, pH 7.4 -
產品提供形式:Liquid
-
應用范圍:ELISA, IHC, IF
-
推薦稀釋比:
Application Recommended Dilution IHC 1:200-1:500 IF 1:50-1:200 -
Protocols:
-
儲存條件:Upon receipt, store at -20°C or -80°C. Avoid repeated freeze.
-
貨期:Basically, we can dispatch the products out in 1-3 working days after receiving your orders. Delivery time maybe differs from different purchasing way or location, please kindly consult your local distributors for specific delivery time.
-
用途:For Research Use Only. Not for use in diagnostic or therapeutic procedures.
相關產品
靶點詳情
-
功能:Might play a role in the development of cardiac outflow tract.
-
基因功能參考文獻:
- Results identify MCTP2 as a novel genetic cause of coarctation of the aorta and related cardiac malformations. PMID: 23773997
- MCTPs are evolutionarily conserved C2 domain proteins that are unusual in that the C2 domains are anchored in the membrane by two closely spaced transmembrane regions and represent Ca(2+)-binding but not phospholipid-binding modules PMID: 15528213
- The present study suggested that MCPT2 gene as aputative susceptibility gene for schizophrenia of Scandinavian origin. PMID: 19223264
-
相關疾病:Heterozygosity for a 2.2-Mb deletion at chromosome 15q26.2, encompassing MCTP2, has been identified in a 10-year-old girl and her 3-year-old half brother, who had both coarctation of the aorta associated with dysmorphic features and ventricular septal defects. An intragenic MCTP2 duplication, leading to premature truncation (F697X) within the first transmembrane region of the protein, has also been observed in a male patient with a non-syndromic complex cardiac malformation involving coarctation, hypoplastic left heart, mitral atresia, bicuspid aortic valve and muscular ventricular septal defect. Although the link between left ventricular outflow tract malformations and MCTP2 could not be established, it has been proposed that defects in the MCTP2 gene may contribute to phenotype. This hypothesis is supported by the observation that Xenopus laevis embryos treated with MCTP2 morpholinos show no evidence of endocardial cushion formation at any level of the developing outflow tract (PubMed:23773997).
-
亞細胞定位:Membrane; Multi-pass membrane protein.
-
蛋白家族:MCTP family
-
數據庫鏈接:
Most popular with customers
-
-
YWHAB Recombinant Monoclonal Antibody
Applications: ELISA, WB, IHC, IF, FC
Species Reactivity: Human, Mouse, Rat
-
Phospho-YAP1 (S127) Recombinant Monoclonal Antibody
Applications: ELISA, WB, IHC
Species Reactivity: Human
-
-
-
-
-















