MCM7 Antibody
-
中文名稱:MCM7兔多克隆抗體
-
貨號:CSB-PA135119
-
規格:¥1100
-
圖片:
-
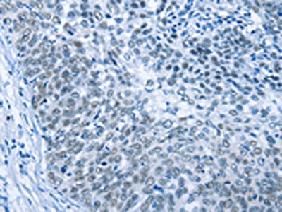
The image on the left is immunohistochemistry of paraffin-embedded Human thyroid cancer tissue using CSB-PA135119(MCM7 Antibody) at dilution 1/40, on the right is treated with fusion protein. (Original magnification: ×200)
-
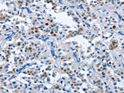
The image on the left is immunohistochemistry of paraffin-embedded Human cervical cancer tissue using CSB-PA135119(MCM7 Antibody) at dilution 1/40, on the right is treated with fusion protein. (Original magnification: ×200)
-
-
其他:
產品詳情
-
Uniprot No.:
-
基因名:
-
別名:CDABP0042 antibody; CDC 47 antibody; CDC47 antibody; CDC47 homolog antibody; Cdc47; S. cerevisiae; homolog of antibody; DNA replication licensing factor MCM7 antibody; Homolog of S. cerevisiae Cdc47 antibody; MCM 2 antibody; MCM 7 antibody; MCM2 antibody; MCM2; formerly antibody; Mcm7 antibody; MCM7 minichromosome maintenance deficient 7 antibody; MCM7_HUMAN antibody; Minichromosome Maintainence 7 antibody; Minichromosome maintainence; S. cerevisiae; homolog of antibody; Minichromosome maintenance complex component 7 antibody; Minichromosome maintenance deficient 7 antibody; Minichromosome maintenance protein 7 antibody; P1.1 MCM3 antibody; P1.1-MCM3 antibody; P1CDC47 antibody; P85MCM antibody; PNAS 146 antibody; PNAS146 antibody; PPP1R104 antibody; Protein phosphatase 1; regulatory subunit 104 antibody
-
宿主:Rabbit
-
反應種屬:Human
-
免疫原:Fusion protein of Human MCM7
-
免疫原種屬:Homo sapiens (Human)
-
標記方式:Non-conjugated
-
抗體亞型:IgG
-
純化方式:Antigen affinity purification
-
濃度:It differs from different batches. Please contact us to confirm it.
-
保存緩沖液:-20°C, pH7.4 PBS, 0.05% NaN3, 40% Glycerol
-
產品提供形式:Liquid
-
應用范圍:ELISA,IHC
-
推薦稀釋比:
Application Recommended Dilution ELISA 1:2000-1:5000 IHC 1:25-1:100 -
Protocols:
-
儲存條件:Upon receipt, store at -20°C or -80°C. Avoid repeated freeze.
-
貨期:Basically, we can dispatch the products out in 1-3 working days after receiving your orders. Delivery time maybe differs from different purchasing way or location, please kindly consult your local distributors for specific delivery time.
-
用途:For Research Use Only. Not for use in diagnostic or therapeutic procedures.
相關產品
靶點詳情
-
功能:Acts as component of the MCM2-7 complex (MCM complex) which is the putative replicative helicase essential for 'once per cell cycle' DNA replication initiation and elongation in eukaryotic cells. The active ATPase sites in the MCM2-7 ring are formed through the interaction surfaces of two neighboring subunits such that a critical structure of a conserved arginine finger motif is provided in trans relative to the ATP-binding site of the Walker A box of the adjacent subunit. The six ATPase active sites, however, are likely to contribute differentially to the complex helicase activity. Required for S-phase checkpoint activation upon UV-induced damage.
-
基因功能參考文獻:
- Our results indicate that MCM7 may exert certain functions on spindle formation to prevent cytokinesis during early mitosis by regulating CDK1 activity. PMID: 28588300
- MCM7 is helpful for us to make differential diagnosis in pathological grade, MCM7 combination of Ki67 may serve as more sensitive proliferation markers for evaluation of gastric carcinoma and precancerous lesions PMID: 28540486
- CDT1, MCM7, and NUDT1 were shown to be up-regulated in hepatocellular carcinoma tissues and provide a more accurate diagnosis than alpha-fetal protein alone. PMID: 29442275
- High expression of MCM-7 was reduced in BVP-treated cancer cells. PMID: 28628830
- Data indicate that RACK1 increases interactions between Akt and MCM7 and promotes Akt-dependent MCM7 phosphorylation, which in turn increases MCM7 binding to chromatin and miniature chromosome maintenance (MCM) complex formation. PMID: 28465488
- our findings suggested that MCM7 promoted tumor cell proliferation, colony formation and migration of ESCC cells via activating AKT1/mTOR signaling pathway PMID: 28498460
- Results proved that MCM7 proliferative index is a better method for identifying patients with risk of recurrence in patients surgically resected for meningiomas compared with the traditional methods used in the current clinical practice. PMID: 27868157
- MCM7-cyclin D1 pathway may participate in cancer progression. PMID: 28182015
- The MCM7 directly binds to the centrosomal linker protein Cep68 in vitro and complexes with Cep68 and VHL in vivo. PMID: 28578000
- The results clearly demonstrate 7q21-22 amplification, MCM7, and its intronic miR-25 are the major molecular switches involved in the complex oncogenic circuits of gastric cancer. PMID: 28059478
- High MCM7 expression is associated with non-small cell lung cancer. PMID: 27797825
- Results show that the expression of MCM7 gene and its microRNA, miR-106b-25 cluster is reduced under hypoxia. PMID: 28668890
- Authors found that MCM7 highly expressed in K562 cells rather than that in normal neutrophils. Thus, lentivirus-mediated shRNA targeting MCM7 was used to suppress its endogenous expression in K562 cells and develop a novel therapeutic strategy for leukemia. PMID: 28058629
- MCM7 polymorphisms were associated with survival rate and prognosis in acute myeloid leukemia patients. PMID: 27837251
- The BCL2, MCM7, and CCNE1 genes might play distinctive roles in cisplatin resistance in bladder cancer. PMID: 26966728
- High MCM-7 expression correlated with Cutaneous T-cell Lymphomas. PMID: 26504025
- KCTD5 is not involved in polyubiquitylation of MCM7 replication factor.Formation of trimeric complexes of KCTD5/cullin3 with MCM7, ZNF711 and FAM193B. PMID: 26188516
- MCM7 and G9a may serve as effective prognostic factors and could also be used as biomarkers for predicting various clinical outcomes of oesophageal squamous cell carcinoma PMID: 24805087
- MCM7 is essential for RNA splicing of epidermal growth factor receptor, c-Met, and platelet-derived growth factor receptor PMID: 25425645
- MCM7 expression may be a useful prognosis indicator in patients with diffuse-type gastric adenocarcinoma and its knockdown by RNA interference quenches its oncogenic property in gastric cancer PMID: 24647462
- We observed that lower levels of MCM7 correlate with reduced cell proliferation, lower autophagic capacity, and higher intracellular protein abundance phenotypes of aged and systemic sclerosis cells. PMID: 24496236
- Knockdown of MCM7 expression reduces glioblastoma multiforme cell proliferation and inhibits xenograft tumor growth in mice. PMID: 24166506
- expression of MCM7 is an independent risk factor for recurrence-free survival in patients with Dukes C colorectal cancer PMID: 25075101
- The A to G base change in SNP rs999885 of MCM7 may provide a protective effect on the prognosis of intermediate or advanced hepatocellular carcinoma in the Chinese. PMID: 24416400
- MCM 7, geminin and topo IIalpha can be reliable tools for the differential diagnosis of reactive mesothelial cells and malignant mesothelioma cells. PMID: 23860238
- MCM7 is a substrate of cyclin E/Cdk2 and can be phosphorylated on Ser-121. PMID: 23720738
- EGFR enhances MCM7 phosphorylation and DNA replication through Lyn phosphorylation in human cancer cells. PMID: 23764002
- MCM7 interacts with the receptor for activated protein kinase C 1 (RACK1), a protein kinase C (PKC) adaptor, in vivo and in vitro. PMID: 23313748
- Protein levels of MCM7 and p63 were associated significantly with high-grade cervical lesion, and aberrant p63 protein level may distinguish different histopathologic types of cervical carcinoma. PMID: 23318911
- the expression of cyclin D1, MCM7, TRIM29, and UBE2C was found to be significantly associated with progression to muscle-invasive bladder cancer. PMID: 23201130
- MCM7 expression may be a useful predictor of prognosis in patients with hepatocellular carcinoma after resection. PMID: 22784096
- MCM7 and Ki67 in tumor tissues may be potential markers of a poor prognosis for non-small cell lung cancer patients PMID: 22456526
- elevated expression of MCM7 to be associated with poor prognosis for patients with non-small cell lung cancer PMID: 21619671
- low level of MCM7 of proteins expression which may explain commonly known low mitotic activity of desmoid tumour cells PMID: 21478101
- MCM7 expression was significantly higher in high-grade serous carcinomas than in serous borderline tumors or other histological subtypes of ovarian cancer. PMID: 21076460
- Results demonstrate that interaction with Mcm7 is essential for the function of cyclin A in promoting S-phase entry. PMID: 21078875
- distribution pattern is similar to Ki-67;can be used as proliferation marker in experimental neoplasms PMID: 20048674
- Transcriptional activation of Mcm7 is mediated by HAT recruitment to the promoter region upon C. sinensis excretory-secretory products treatment. PMID: 20236609
- uncovered a proto-oncogenic miRNA-dependent network for PTEN regulation and defined the MCM7 locus as a critical factor in initiating prostate tumorigenesis PMID: 20388916
- MCM7 , critical for cell proliferation and maintenance of genome stability, are markedly down-regulated, Data hypothesized that their DNA-related functions could be partially limited in TRAIL-resistant HL-60 cells. PMID: 19834905
- Minichromosome maintenance protein MCM7 is a direct target of the MYCN transcription factor in neuroblastoma. PMID: 11861392
- Overexpressed MCM7 protein supports efficient DNA replication of Epstein-Barr virus oriP and rapid formation of tumors in nude mice without altering the activity of cellular DNA replication. PMID: 14550576
- MCM7 may be a highly informative biomarker for cervical cancer. PMID: 14678972
- hMCM7 plays a direct role in the transmission of DNA damage signals from active replication forks to the S-phase checkpoint machinery in human cells. PMID: 15538388
- interaction between endogenous Plk1 and Mcm7 was detected in a soluble chromatin fraction. These findings suggest a new function for Plk1 in coordination of DNA replication and mitotic events. PMID: 15654075
- MCM7 was found to be a more reliable and useful marker than Ki67 in assessing tumour proliferation and in the prognosis of patients. PMID: 15720416
- MCM7 amplification is responsible for markedly increased DNA synthesis, cell proliferation and an increased cell invasion in prostate cancer. PMID: 16247466
- p27Kip1 binds the conserved minichromosome maintenance domain of MCM7 proteins in a growth factor-dependent manner, such that the carboxyl terminal domain of p27Kip1 inhibits DNA replication independent of its function as a cyclin-dependent kinase PMID: 16289477
- MCM7, the c-myc-regulated gene is involved in genotype-C-HBV-related HCC, suggesting that c-myc is related to the hepatocarcinogenic activity of genotype-C HBV. PMID: 16703398
- Increase of the MCM7 is associated with tumor aggressiveness in astrocytoma PMID: 17094475
顯示更多
收起更多
-
亞細胞定位:Nucleus. Chromosome.
-
蛋白家族:MCM family
-
數據庫鏈接:
Most popular with customers
-
-
YWHAB Recombinant Monoclonal Antibody
Applications: ELISA, WB, IHC, IF, FC
Species Reactivity: Human, Mouse, Rat
-
Phospho-YAP1 (S127) Recombinant Monoclonal Antibody
Applications: ELISA, WB, IHC
Species Reactivity: Human
-
-
-
-
-















