MCM4 Antibody
-
中文名稱:MCM4兔多克隆抗體
-
貨號:CSB-PA013594LA01HU
-
規格:¥440
-
圖片:
-
Western Blot
Positive WB detected in: Hela whole cell lysate, 293 whole cell lysate, Rat heart tissue
All lanes: MCM4 antibody at 2.7µg/ml
Secondary
Goat polyclonal to rabbit IgG at 1/50000 dilution
Predicted band size: 97 kDa
Observed band size: 97 kDa -
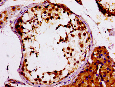
IHC image of CSB-PA013594LA01HU diluted at 1:100 and staining in paraffin-embedded human testis tissue performed on a Leica BondTM system. After dewaxing and hydration, antigen retrieval was mediated by high pressure in a citrate buffer (pH 6.0). Section was blocked with 10% normal goat serum 30min at RT. Then primary antibody (1% BSA) was incubated at 4°C overnight. The primary is detected by a biotinylated secondary antibody and visualized using an HRP conjugated SP system.
-
Immunofluorescence staining of A549 cells with CSB-PA013594LA01HU at 1:100, counter-stained with DAPI. The cells were fixed in 4% formaldehyde, permeabilized using 0.2% Triton X-100 and blocked in 10% normal Goat Serum. The cells were then incubated with the antibody overnight at 4°C. The secondary antibody was Alexa Fluor 488-congugated AffiniPure Goat Anti-Rabbit IgG(H+L).
-
-
其他:
產品詳情
-
產品名稱:Rabbit anti-Homo sapiens (Human) MCM4 Polyclonal antibody
-
Uniprot No.:
-
基因名:
-
別名:19G antibody; AI325074 antibody; AU045576 antibody; CDC 21 antibody; CDC 54 antibody; CDC21 antibody; CDC21 homolog antibody; CDC21, S. pombe, homolog of antibody; CDC54 antibody; Cell division cycle 21, S. pombe, homolog of antibody; DNA replication licensing factor MCM 4 antibody; DNA replication licensing factor MCM4 antibody; hCdc 21 antibody; hCdc21 antibody; Homolog of S. pombe cell devision cycle 21 antibody; KIAA4003 antibody; mcdc21 antibody; MCM 4 antibody; MCM 4 minichromosome maintenance deficient 4 antibody; mcm4 antibody; MCM4 minichromosome maintenance deficient 4 antibody; MCM4 minichromosome maintenance deficient 4, mitotin (S. cerevisiae) antibody; MCM4_HUMAN antibody; Mcmd4 antibody; MGC33310 antibody; Minichromosome maintenance 4 antibody; Minichromosome maintenance complex component 4 antibody; Minichromosome maintenance deficient (S. cerevisiae) 4 antibody; Minichromosome maintenance deficient 4 antibody; Minichromosome maintenance deficient 4 homolog (S. cerevisiae) antibody; Minichromosome maintenance, S. cerevisiae, homolog of, 4 antibody; mKIAA4003 antibody; NKCD antibody; NKGCD antibody; P1 CDC21 antibody; P1-CDC21 antibody; P1CDC21 antibody
-
宿主:Rabbit
-
反應種屬:Human, Rat
-
免疫原:Recombinant Human DNA replication licensing factor MCM4 protein (2-141AA)
-
免疫原種屬:Homo sapiens (Human)
-
標記方式:Non-conjugated
本頁面中的產品,MCM4 Antibody (CSB-PA013594LA01HU),的標記方式是Non-conjugated。對于MCM4 Antibody,我們還提供其他標記。見下表:
-
克隆類型:Polyclonal
-
抗體亞型:IgG
-
純化方式:>95%, Protein G purified
-
濃度:It differs from different batches. Please contact us to confirm it.
-
保存緩沖液:Preservative: 0.03% Proclin 300
Constituents: 50% Glycerol, 0.01M PBS, pH 7.4 -
產品提供形式:Liquid
-
應用范圍:ELISA, WB, IHC, IF
-
推薦稀釋比:
Application Recommended Dilution WB 1:500-1:5000 IHC 1:20-1:200 IF 1:50-1:200 -
Protocols:
-
儲存條件:Upon receipt, store at -20°C or -80°C. Avoid repeated freeze.
-
貨期:Basically, we can dispatch the products out in 1-3 working days after receiving your orders. Delivery time maybe differs from different purchasing way or location, please kindly consult your local distributors for specific delivery time.
-
用途:For Research Use Only. Not for use in diagnostic or therapeutic procedures.
相關產品
靶點詳情
-
功能:Acts as component of the MCM2-7 complex (MCM complex) which is the putative replicative helicase essential for 'once per cell cycle' DNA replication initiation and elongation in eukaryotic cells. The active ATPase sites in the MCM2-7 ring are formed through the interaction surfaces of two neighboring subunits such that a critical structure of a conserved arginine finger motif is provided in trans relative to the ATP-binding site of the Walker A box of the adjacent subunit. The six ATPase active sites, however, are likely to contribute differentially to the complex helicase activity.
-
基因功能參考文獻:
- MCM4 and MCM7 expression is significantly correlated with Ki-67, Bmi1, and cyclin E expression in esophageal adenocarcinoma, squamous cell carcinoma and precancerous lesions. PMID: 27476776
- This MCM4 mutation affected human MCM4/6/7 complex formation, since the complex containing the mutant MCM4 protein is unstable and the mutant MCM4 protein is tend to be degraded. PMID: 27794528
- We did not find any evidence of augmented response to a short-term (48 h) cisplatin treatment in these MCM4-deficient cells. However, MCM4-/HPV16+ SiHa cells cannot withstand a prolonged treatment (up to 5 days) of even a sublethal dosage of cisplatin PMID: 26188903
- Purified MCM4/6/7 complex containing the G364R MCM4 exhibited similar levels of single-stranded DNA binding and ATPase activities to the complex containing wild-type MCM4 PMID: 25661590
- Mutant p53 depletion profoundly influenced PARP1 localization and increased the level of PCNA and MCM4 proteins. PMID: 25733866
- Peroxisome proliferator-activated receptor gamma coactivator 1beta (PGC-1beta) protein attenuates vascular lesion formation by inhibition of chromatin loading of minichromosome maintenance complex in smooth muscle cells PMID: 23264620
- point mutation of MCM4 perturbs proper interaction with MCM6 to affect complex formation of MCM4/6/7 that is a core structure of MCM2-7 complex PMID: 22668557
- Mutations in MCM4/PRKDC represent a novel cause of DNA breakage and NK cell deficiency. PMID: 22499342
- Widdrol breaks DNA directly in HT29 cells, resulting in checkpoint activation via Chk2-p53-Cdc25A-p21-MCM4 pathway and finally cells go to G1-phase cell cycle arrest and apoptosis. PMID: 22160829
- partial MCM4 deficiency results in a genetic syndrome of growth retardation with adrenal insufficiency and selective NK deficiency PMID: 22354167
- MCM4 mutation may have a role in adrenal failure, short stature, and natural killer cell deficiency PMID: 22354170
- higher expression in non-small cell lung cancer PMID: 20884074
- MCM4 did not predict patient survival in this series of cutaneous melanomas. PMID: 20398247
- the phosphorylation of MCM4 in the checkpoint control inhibits DNA replication, which includes blockage of DNA fork progression, through inactivation of the MCM complex PMID: 12714602
- HU- or UV irradiation-stimulated phosphorylation of MCM4 at several CDK sites led to inhibition of MCM4 helicase activity, consistent with the notion that the phosphorylation of MCM4 is involved in regulation of DNA synthesis in the checkpoint control. PMID: 15037254
- These results suggest that phosphorylation of MCM4 has several distinct and site-specific roles in the function of MCM during the mammalian cell cycle. PMID: 16519687
- Expression of EBV-protein kinase caused phosphorylation of Thr-19 & Thr-110 on MCM4 PMID: 17005684
- MCM4 phosphorylation by Cdc7 kinase facilitates its interaction with Cdc45 on chromatin PMID: 17046832
- The positive rate of MCM4 was significantly higher in stage T3 than in stage T1 esophageal cancer. PMID: 17222376
- Data show that two fragments (148-441 and 442-676) from the central region of MCM2 were mainly responsible for the interaction between MCM2 and MCM4, and this was revealed by a pulldown analysis using MCM4 protein beads. PMID: 18190532
- Sequence alignment of archaeal MCMs and MCM4 from Homo sapiens and Saccharomyces cerevisiae shows that Aeropyrum pernix MCM shares 32% identity with human and yeast MCM4. PMID: 19053250
顯示更多
收起更多
-
相關疾病:Natural killer cell and glucocorticoid deficiency with DNA repair defect (NKGCD)
-
亞細胞定位:Nucleus. Chromosome.
-
蛋白家族:MCM family
-
數據庫鏈接:
Most popular with customers
-
-
YWHAB Recombinant Monoclonal Antibody
Applications: ELISA, WB, IHC, IF, FC
Species Reactivity: Human, Mouse, Rat
-
Phospho-YAP1 (S127) Recombinant Monoclonal Antibody
Applications: ELISA, WB, IHC
Species Reactivity: Human
-
-
-
-
-















