MCM3AP Antibody
-
中文名稱:MCM3AP兔多克隆抗體
-
貨號:CSB-PA013592LA01HU
-
規格:¥440
-
圖片:
-
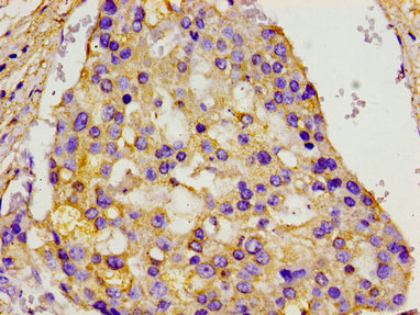
Immunohistochemistry of paraffin-embedded human breast cancer using CSB-PA013592LA01HU at dilution of 1:100
-
Immunofluorescence staining of Hela cells with CSB-PA013592LA01HU at 1:133, counter-stained with DAPI. The cells were fixed in 4% formaldehyde, permeabilized using 0.2% Triton X-100 and blocked in 10% normal Goat Serum. The cells were then incubated with the antibody overnight at 4°C. The secondary antibody was Alexa Fluor 488-congugated AffiniPure Goat Anti-Rabbit IgG(H+L).
-
-
其他:
產品詳情
-
產品名稱:Rabbit anti-Homo sapiens (Human) MCM3AP Polyclonal antibody
-
Uniprot No.:
-
基因名:MCM3AP
-
別名:80 kDa MCM3 associated protein antibody; 80 kDa MCM3-associated protein antibody; FLJ44336 antibody; FLJ45306 antibody; Germinal center associated nuclear protein antibody; KIAA0572 antibody; MAP80 antibody; MCM3 import protein antibody; MCM3 minichromosome maintenance deficient 3 associated protein antibody; MCM3A antibody; MCM3A_HUMAN antibody; Mcm3ap antibody; Minichromosome maintenance complex component 3 associated protein antibody; Minichromosome maintenance deficient 3 associated protein antibody; Minichromosome maintenance protein 3 associated protein antibody; Protein GANP antibody; SAC3 antibody
-
宿主:Rabbit
-
反應種屬:Human
-
免疫原:Recombinant Human Germinal-center associated nuclear protein (292-435AA)
-
免疫原種屬:Homo sapiens (Human)
-
標記方式:Non-conjugated
本頁面中的產品,MCM3AP Antibody (CSB-PA013592LA01HU),的標記方式是Non-conjugated。對于MCM3AP Antibody,我們還提供其他標記。見下表:
-
克隆類型:Polyclonal
-
抗體亞型:IgG
-
純化方式:>95%, Protein G purified
-
濃度:It differs from different batches. Please contact us to confirm it.
-
保存緩沖液:Preservative: 0.03% Proclin 300
Constituents: 50% Glycerol, 0.01M PBS, pH 7.4 -
產品提供形式:Liquid
-
應用范圍:ELISA, IHC, IF
-
推薦稀釋比:
Application Recommended Dilution IHC 1:20-1:200 IF 1:50-1:200 -
Protocols:
-
儲存條件:Upon receipt, store at -20°C or -80°C. Avoid repeated freeze.
-
貨期:Basically, we can dispatch the products out in 1-3 working days after receiving your orders. Delivery time maybe differs from different purchasing way or location, please kindly consult your local distributors for specific delivery time.
-
用途:For Research Use Only. Not for use in diagnostic or therapeutic procedures.
相關產品
靶點詳情
-
功能:As a component of the TREX-2 complex, involved in the export of mRNAs to the cytoplasm through the nuclear pores. Through the acetylation of histones, affects the assembly of nucleosomes at immunoglobulin variable region genes and promotes the recruitment and positioning of transcription complex to favor DNA cytosine deaminase AICDA/AID targeting, hence promoting somatic hypermutations.; Binds to and acetylates the replication protein MCM3. Plays a role in the initiation of DNA replication and participates in controls that ensure that DNA replication initiates only once per cell cycle. Through the acetylation of histones, affects the assembly of nucleosomes at immunoglobulin variable region genes and promotes the recruitment and positioning of transcription complex to favor DNA cytosine deaminase AICDA/AID targeting, hence promoting somatic hypermutations.
-
基因功能參考文獻:
- The identification of MCM3AP variants in affected individuals from multiple centres establishes it as a disease gene for childhood-onset recessively inherited Charcot-Marie-Tooth neuropathy with intellectual disability. PMID: 28633435
- MCM3AP and POMP Mutations Cause a DNA-Repair and DNA-Damage-Signaling Defect in an Immunodeficient Child PMID: 26615982
- These results indicated that the GANP protein is associated with breast cancer resistance. PMID: 26749495
- GANP is induced in activated T4 cells & physically interacts with A3G. GANP is encapsidated in HIV-1 virions & modulates A3G packaging into the cores. Upregulation increases A3G-catalyzed viral G-->A hypermutation, suppressing infectivity. PMID: 24198285
- A homozygous potentially pathogenic variant (c.2743G>A) was identified, which encodes amino acid Lys, instead of conserved Glu, at the position 915, in patients with mild intellectual disability. PMID: 24123876
- GANP-mediated chromatin modification promotes transcription complex recruitment and positioning at immunoglobulin variable loci to favour AID targeting. PMID: 23652018
- The cellular protein MCM3AP is required for inhibition of cellular DNA synthesis by the IE86 protein of human cytomegalovirus. PMID: 23094019
- HBV DNA integration sites into human genome were random, and MCM3AP was a new site. PMID: 20714864
- GANP, a homologue of yeast Sac3 that is involved in mRNA export, is indispensable for ensuring the stability of human genomic DNA and GANP knockdown causes apoptosis and necrosis of p53-insufficient cancer cells. PMID: 22395445
- GANP transgene may play a critical role in Lyn tyrosine-protein kinase-mediated signaling during selection of high-affinity B cells in peripheral lymphoid organs. PMID: 22942428
- MCM3AP and GANP are different proteins, occupying different locations in the cell and transcribed from different promoters PMID: 21195085
- Data show that human germinal center-associated nuclear protein (GANP) is critically involved in cell proliferation at the mitotic phase through its selective support of shugoshin-1 mRNA export. PMID: 20384790
- GANP may serve as an essential link required to transport AID to B-cell nuclei and to target AID to actively transcribed IgV regions PMID: 20507984
- GANP depletion inhibits mRNA export, with retention of mRNPs and NXF1 in punctate foci within the nucleus. PMID: 20005110
- inhibits initiation of DNA replication via binding to MCM3 PMID: 12226073
- plays a certain important role in the maturation of immunoglobulin or selection of B cells in germinal centers during the immune response to TD-Ag. A selective function of GANP molecule on B cell proliferation and differentiation might exist. PMID: 12885157
- abnormal over-expression of GANP together with AID might be associated with rigorous DNA damage, potentially causing the malignant development of Cholangiocarcinoma (CCAs) during long-term inflammation. PMID: 19578742
- GANP protects cells from cellular senescence caused by DNA damage and that a significant decrease in GANP expression leads to malignancy by generating hyperploidy and chromosomal instability (CIN). PMID: 19686285
顯示更多
收起更多
-
亞細胞定位:[Isoform GANP]: Nucleus envelope. Nucleus, nuclear pore complex. Nucleus, nucleoplasm. Chromosome.; [Isoform MCM3AP]: Cytoplasm. Nucleus.
-
蛋白家族:SAC3 family
-
組織特異性:Widely expressed. Up-regulated in germinal center B-cells in tonsils (at protein level).
-
數據庫鏈接:
Most popular with customers
-
-
YWHAB Recombinant Monoclonal Antibody
Applications: ELISA, WB, IHC, IF, FC
Species Reactivity: Human, Mouse, Rat
-
Phospho-YAP1 (S127) Recombinant Monoclonal Antibody
Applications: ELISA, WB, IHC
Species Reactivity: Human
-
-
-
-
-















