MCCC2 Antibody
-
中文名稱:MCCC2兔多克隆抗體
-
貨號:CSB-PA867199ESR1HU
-
規格:¥440
-
圖片:
-
Western blot
All lanes: MCCC2 antibody at 6.85µg/ml
Lane 1: Mouse brain tissue
Lane 2: Hela whole cell lysate
Lane 3: MCF-7 whole cell lysate
Lane 4: K562 whole cell lysate
Lane 5: HepG2 whole cell lysate
Lane 6: A549 whole cell lysate
Secondary
Goat polyclonal to rabbit IgG at 1/10000 dilution
Predicted band size: 62, 58 kDa
Observed band size: 62 kDa -
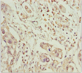
Immunohistochemistry of paraffin-embedded human pancreatic cancer using CSB-PA867199ESR1HU at dilution of 1:100
-
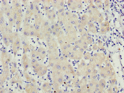
Immunohistochemistry of paraffin-embedded human liver cancer using CSB-PA867199ESR1HU at dilution of 1:100
-
-
其他:
產品詳情
-
產品名稱:Rabbit anti-Homo sapiens (Human) MCCC2 Polyclonal antibody
-
Uniprot No.:
-
基因名:MCCC2
-
別名:MCCC2 antibody; MCCBMethylcrotonoyl-CoA carboxylase beta chain antibody; mitochondrial antibody; MCCase subunit beta antibody; EC 6.4.1.4 antibody; 3-methylcrotonyl-CoA carboxylase 2 antibody; 3-methylcrotonyl-CoA carboxylase non-biotin-containing subunit antibody; 3-methylcrotonyl-CoA:carbon dioxide ligase subunit beta antibody
-
宿主:Rabbit
-
反應種屬:Human, Mouse
-
免疫原:Recombinant Human Methylcrotonoyl-CoA carboxylase beta chain, mitochondrial protein (284-563AA)
-
免疫原種屬:Homo sapiens (Human)
-
標記方式:Non-conjugated
-
克隆類型:Polyclonal
-
抗體亞型:IgG
-
純化方式:Antigen Affinity Purified
-
濃度:It differs from different batches. Please contact us to confirm it.
-
保存緩沖液:PBS with 0.02% sodium azide, 50% glycerol, pH7.3.
-
產品提供形式:Liquid
-
應用范圍:ELISA, WB, IHC
-
推薦稀釋比:
Application Recommended Dilution WB 1:1000-1:5000 IHC 1:20-1:200 -
Protocols:
-
儲存條件:Upon receipt, store at -20°C or -80°C. Avoid repeated freeze.
-
貨期:Basically, we can dispatch the products out in 1-3 working days after receiving your orders. Delivery time maybe differs from different purchasing way or location, please kindly consult your local distributors for specific delivery time.
-
用途:For Research Use Only. Not for use in diagnostic or therapeutic procedures.
相關產品
靶點詳情
-
功能:Carboxyltransferase subunit of the 3-methylcrotonyl-CoA carboxylase, an enzyme that catalyzes the conversion of 3-methylcrotonyl-CoA to 3-methylglutaconyl-CoA, a critical step for leucine and isovaleric acid catabolism.
-
基因功能參考文獻:
- Novel mutation in MCCC2 gene was identified in Chinese population. PMID: 25382614
- Mutation in 3-methylcrotonyl CoA carboxylase 2 gene is associated with 3-methylcrotonyl-CoA carboxylase deficiency. PMID: 22264772
- The amino-termini containing 20 amino acids (MCCbeta) were both necessary and sufficient for targeting. Structural requirements for mitochondrial import were defined by site-directed mutagenesis. PMID: 16023992
- The Kd value of soraphen A for the BC domains of human ACC1 and ACC2 is 1 nM. This high binding affinity is mainly due to the extensive interactions between soraphen A and the human biotin carboxylase domain PMID: 17876819
-
相關疾?。?/div>3-methylcrotonoyl-CoA carboxylase 2 deficiency (MCC2D)亞細胞定位:Mitochondrion matrix.蛋白家族:AccD/PCCB family數據庫鏈接:
Most popular with customers
-
Phospho-YAP1 (S127) Recombinant Monoclonal Antibody
Applications: ELISA, WB, IHC
Species Reactivity: Human
-
-
-
-
-
-
-















