MBNL3 Antibody
-
中文名稱:MBNL3兔多克隆抗體
-
貨號:CSB-PA868322LA01HU
-
規格:¥440
-
圖片:
-
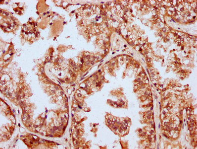
IHC image of CSB-PA868322LA01HU diluted at 1:400 and staining in paraffin-embedded human prostate cancer performed on a Leica BondTM system. After dewaxing and hydration, antigen retrieval was mediated by high pressure in a citrate buffer (pH 6.0). Section was blocked with 10% normal goat serum 30min at RT. Then primary antibody (1% BSA) was incubated at 4°C overnight. The primary is detected by a biotinylated secondary antibody and visualized using an HRP conjugated SP system.
-
Immunofluorescence staining of HepG2 cells with CSB-PA868322LA01HU at 1:133, counter-stained with DAPI. The cells were fixed in 4% formaldehyde, permeabilized using 0.2% Triton X-100 and blocked in 10% normal Goat Serum. The cells were then incubated with the antibody overnight at 4°C. The secondary antibody was Alexa Fluor 488-congugated AffiniPure Goat Anti-Rabbit IgG(H+L).
-
-
其他:
產品詳情
-
產品名稱:Rabbit anti-Homo sapiens (Human) MBNL3 Polyclonal antibody
-
Uniprot No.:
-
基因名:MBNL3
-
別名:A530038J18Rik antibody; AI661274 antibody; CHCR antibody; Cys3His CCG1 required protein antibody; Cys3His CCG1-required protein antibody; E430034C16Rik antibody; MBLX antibody; MBLX39 antibody; MBNL 3 antibody; Mbnl3 antibody; MBNL3_HUMAN antibody; MBXL antibody; Muscleblind like 3 antibody; Muscleblind like protein 3 antibody; Muscleblind like splicing regulator 3 antibody; Muscleblind like X linked protein antibody; Muscleblind-like protein 3 antibody; Muscleblind-like X-linked protein antibody; OTTMUSP00000019072 antibody; OTTMUSP00000019073 antibody; OTTMUSP00000019074 antibody; Protein HCHCR antibody; RP23-98P13.1 antibody
-
宿主:Rabbit
-
反應種屬:Human
-
免疫原:Recombinant Human Muscleblind-like protein 3 protein (116-211AA)
-
免疫原種屬:Homo sapiens (Human)
-
標記方式:Non-conjugated
本頁面中的產品,MBNL3 Antibody (CSB-PA868322LA01HU),的標記方式是Non-conjugated。對于MBNL3 Antibody,我們還提供其他標記。見下表:
-
克隆類型:Polyclonal
-
抗體亞型:IgG
-
純化方式:>95%, Protein G purified
-
濃度:It differs from different batches. Please contact us to confirm it.
-
保存緩沖液:Preservative: 0.03% Proclin 300
Constituents: 50% Glycerol, 0.01M PBS, pH 7.4 -
產品提供形式:Liquid
-
應用范圍:ELISA, IHC, IF
-
推薦稀釋比:
Application Recommended Dilution IHC 1:200-1:500 IF 1:50-1:200 -
Protocols:
-
儲存條件:Upon receipt, store at -20°C or -80°C. Avoid repeated freeze.
-
貨期:Basically, we can dispatch the products out in 1-3 working days after receiving your orders. Delivery time maybe differs from different purchasing way or location, please kindly consult your local distributors for specific delivery time.
-
用途:For Research Use Only. Not for use in diagnostic or therapeutic procedures.
相關產品
靶點詳情
-
功能:Mediates pre-mRNA alternative splicing regulation. Acts either as activator or repressor of splicing on specific pre-mRNA targets. Inhibits cardiac troponin-T (TNNT2) pre-mRNA exon inclusion but induces insulin receptor (IR) pre-mRNA exon inclusion in muscle. Antagonizes the alternative splicing activity pattern of CELF proteins. May play a role in myotonic dystrophy pathophysiology (DM). Could inhibit terminal muscle differentiation, acting at approximately the time of myogenin induction.
-
基因功能參考文獻:
- The MBNL3 splicing factor promotes hepatocellular carcinoma by increasing pacillin expression through the alternative splicing of lncRNA-PXN-AS1. PMID: 28553938
- results suggest that CHCR is an inhibitor of myogenesis PMID: 12297108
- MBNL proteins promote opposite splicing patterns for cardiac troponin T and insulin receptor alternative exons PMID: 15257297
- We exclude MBNL3 as the causative gene in this family. PMID: 17102799
- MBNL3 was not found in human samples. PMID: 19095965
顯示更多
收起更多
-
亞細胞定位:Nucleus. Cytoplasm. Note=Greater concentration in the nucleus. In both DM1 and DM2 patients, colocalizes with nuclear foci of retained expanded-repeat transcripts.
-
蛋白家族:Muscleblind family
-
組織特異性:Highly expressed in the placenta.
-
數據庫鏈接:
Most popular with customers
-
-
YWHAB Recombinant Monoclonal Antibody
Applications: ELISA, WB, IHC, IF, FC
Species Reactivity: Human, Mouse, Rat
-
Phospho-YAP1 (S127) Recombinant Monoclonal Antibody
Applications: ELISA, WB, IHC
Species Reactivity: Human
-
-
-
-
-















