MATN3 Antibody
-
中文名稱:MATN3兔多克隆抗體
-
貨號:CSB-PA044893
-
規格:¥1100
-
圖片:
-
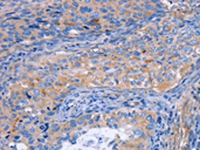
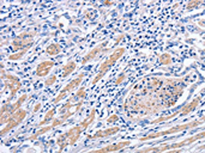
The image on the left is immunohistochemistry of paraffin-embedded Human cervical cancer tissue using CSB-PA044893(MATN3 Antibody) at dilution 1/30, on the right is treated with fusion protein. (Original magnification: ×200)
-
The image on the left is immunohistochemistry of paraffin-embedded Human gastric cancer tissue using CSB-PA044893(MATN3 Antibody) at dilution 1/30, on the right is treated with fusion protein. (Original magnification: ×200)
-
-
其他:
產品詳情
-
Uniprot No.:
-
基因名:MATN3
-
別名:AV009181 antibody; DIPOA antibody; EDM5 antibody; HOA antibody; MATN3 antibody; MATN3_HUMAN antibody; Matrilin 3 antibody; Matrilin-3 antibody; OADIP antibody; OS2 antibody
-
宿主:Rabbit
-
反應種屬:Human,Mouse
-
免疫原:Fusion protein of Human MATN3
-
免疫原種屬:Homo sapiens (Human)
-
標記方式:Non-conjugated
-
抗體亞型:IgG
-
純化方式:Antigen affinity purification
-
濃度:It differs from different batches. Please contact us to confirm it.
-
保存緩沖液:-20°C, pH7.4 PBS, 0.05% NaN3, 40% Glycerol
-
產品提供形式:Liquid
-
應用范圍:ELISA,IHC
-
推薦稀釋比:
Application Recommended Dilution ELISA 1:1000-1:5000 IHC 1:25-1:100 -
Protocols:
-
儲存條件:Upon receipt, store at -20°C or -80°C. Avoid repeated freeze.
-
貨期:Basically, we can dispatch the products out in 1-3 working days after receiving your orders. Delivery time maybe differs from different purchasing way or location, please kindly consult your local distributors for specific delivery time.
-
用途:For Research Use Only. Not for use in diagnostic or therapeutic procedures.
相關產品
靶點詳情
-
功能:Major component of the extracellular matrix of cartilage and may play a role in the formation of extracellular filamentous networks.
-
基因功能參考文獻:
- miR-448 contributed to the progression of osteoarthritis by directly targeting matrilin-3. PMID: 29483929
- Study confirmed that MATN3 protein was highly expressed in GAC patients, and MATN3 overexpression could be used as an independent predictor of poor prognosis in GAC patients. PMID: 29343680
- our results revealed miR-483-5p directly targeted to the cartilage matrix protein matrilin 3 (Matn3) and tissue inhibitor of metalloproteinase 2 (Timp2) to stimulate chondrocyte hypertrophy, extracellular matrix degradation, and cartilage angiogenesis, and it consequently initiated and accelerated the development of OA. PMID: 28139355
- The results of the study indicate a potential role for the MATN3 rs28598872 polymorphism in the pathogenesis of Temporomandibular Joint Internal Derangement. PMID: 27533128
- This report is the first to show the involvement of MATN3 in C-type natriuretic peptide/natriuretic peptide receptor-B signaling pathway during the process of transforming growth factor-beta induced chondrogenic differentiation of mesenchymal stem cells. PMID: 24934313
- MATN3 plays a regulatory role in cartilage homeostasis due to its capacity to induce IL-1Ra, upregulate gene expression of major cartilage matrix components, and downregulate the expression of OA-associated matrix-degrading proteinases in chondrocytes. PMID: 22967398
- MATN3 may have the inherent ability to inhibit premature chondrocyte hypertrophy by suppressing BMP-2/Smad1 activity PMID: 25331953
- The VWA1 domain of matrilin-3 is primarily responsible for the induction of IL-6 release from primary human chondrocytes. PMID: 23523902
- Polymorphism in the MATN3 gene might play a role in osteoarthritis in the Chinese Han population. PMID: 22973175
- Haplotype-4 of MATN3 is associated with vertebral fracture risk independent of bone mineral density in Chinese postmenopausal women. PMID: 22270056
- MATN3 mutations were identified in 13 multiple epiphyseal dysplasia patients and comprised predominantly of missense mutations. PMID: 21922596
- Radiographic findings in patients with COMP and MATN3 mutations showed marked abnormalities in hip and knee joints. PMID: 21965141
- a matrilin-3 mutation associated with osteoarthritis does not affect collagen affinity but promotes the formation of wider cartilage collagen fibrils PMID: 20077500
- increased expression of MATN3 in osteoarthritis might contribute to the degeneration of articular cartilage. PMID: 18759284
- potential of matrilin-3 to modulate gene expression profile of primary chondrocytes; tested matrilin3-dependent induction of pro-inflammatory cytokines, inducible nitric oxide synthetase & cyclooxygenase-2, MMP1, -3 & -13, & matrilin-3 itself PMID: 19840795
- Mutation in MATN3 had significant association for patients with osteoarthritis. PMID: 12736871
- Four novel missense mutations and one recurrent missense mutation were identified in MATN3 in seven families with multiple epiphyseal dysplasia. PMID: 14729835
- MATN3 mutations is associated with multiple epiphyseal dysplasia PMID: 14994237
- Contrary to the previous assumption that the MATN3 mutation in multiple epiphyseal dysplasia is confined to the beta-sheet regions, one novel mutation is located outside the beta-sheet region, within an alpha-helix region PMID: 15459972
- COMP, type IX collagen and MATN3 play important roles in matrix assembly PMID: 15694129
- mutations in matrilin-3 causing chondrodysplasias (R116W and C299S) interfere with intracellular protein trafficking and formation of filamentous extracellular structures PMID: 16199550
- Multiple epiphyseal dysplasia caused by MATN3 mutations is the result of an intracellular retention of the mutant protein. PMID: 16287128
- Patients carrying the T(303)M mutation in the gene for matrilin-3 express a form of HOA that is radiologically indistinguishable from idiopathic HOA in individual patients but they have more severe thumb-base involvement, particularly in the STT joint. PMID: 16641049
- We have demonstrated intergenic splicing between two sets of family genes, the matrilin-3 (MATN3) and lysosomal-associated protein transmembrane 4alpha (LAPTM4A). PMID: 16769693
- recombinant ADAMTS-4 effectively cleaved intact matrilin-3 at the predicted motif at Glu435/Ala436 generating two species of 45 and 5 kDa PMID: 17311924
- a matn3 mutation causes decreased chondrocyte proliferation and dysregulated apoptosis leading to epiphyseal dysplasia PMID: 17517694
- the matrilin-3 A-domain appears to bind exclusively to the COL3 domain of type IX collagen and this binding is abolished in the presence of a disease causing mutation in type IX collagen PMID: 17881354
- The characterization of two additional alpha-helical mutations (p.Ala173Asp and p.Lys231Asn) is described. Both p.Phe105Ser and pAla173Asp prevent the secretion of A-domain in vitro. PMID: 18205203
顯示更多
收起更多
-
相關疾病:Multiple epiphyseal dysplasia 5 (EDM5); Spondyloepimetaphyseal dysplasia MATN3-related (SEMD-MATN3); Osteoarthritis 2 (OS2)
-
亞細胞定位:Secreted.
-
組織特異性:Expressed only in cartilaginous tissues, such as vertebrae, ribs and shoulders.
-
數據庫鏈接:
Most popular with customers
-
-
YWHAB Recombinant Monoclonal Antibody
Applications: ELISA, WB, IHC, IF, FC
Species Reactivity: Human, Mouse, Rat
-
Phospho-YAP1 (S127) Recombinant Monoclonal Antibody
Applications: ELISA, WB, IHC
Species Reactivity: Human
-
-
-
-
-















