MAPK13 Antibody
-
中文名稱:MAPK13兔多克隆抗體
-
貨號:CSB-PA584061
-
規格:¥1100
-
圖片:
-
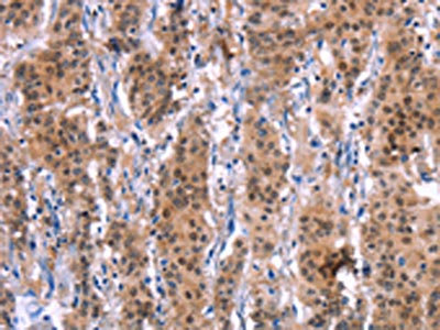
The image on the left is immunohistochemistry of paraffin-embedded Human colon cancer tissue using CSB-PA584061(MAPK13 Antibody) at dilution 1/15, on the right is treated with synthetic peptide. (Original magnification: ×200)
-
The image on the left is immunohistochemistry of paraffin-embedded Human gastric cancer tissue using CSB-PA584061(MAPK13 Antibody) at dilution 1/15, on the right is treated with synthetic peptide. (Original magnification: ×200)
-
Gel: 8%SDS-PAGE, Lysate: 40 μg, Lane: Mouse intestinum tenue tissue, Primary antibody: CSB-PA584061(MAPK13 Antibody) at dilution 1/200, Secondary antibody: Goat anti rabbit IgG at 1/8000 dilution, Exposure time: 1 minute
-
-
其他:
產品詳情
-
Uniprot No.:
-
基因名:
-
別名:MAP kinase 13 antibody; MAP kinase p38 delta antibody; MAPK 13 antibody; MAPK-13 antibody; Mapk13 antibody; MGC99536 antibody; Mitogen activated protein kinase 13 antibody; Mitogen-activated protein kinase 13 antibody; Mitogen-activated protein kinase p38 delta antibody; MK13_HUMAN antibody; OTTHUMP00000016282 antibody; OTTHUMP00000016283 antibody; p38 delta antibody; P38delta antibody; PRKM13 antibody; SAPK 4 antibody; SAPK4 antibody; Stress activated protein kinase 4 antibody; Stress-activated protein kinase 4 antibody
-
宿主:Rabbit
-
反應種屬:Human,Mouse,Rat
-
免疫原:Synthetic peptide of Human MAPK13
-
免疫原種屬:Homo sapiens (Human)
-
標記方式:Non-conjugated
-
抗體亞型:IgG
-
純化方式:Antigen affinity purification
-
濃度:It differs from different batches. Please contact us to confirm it.
-
保存緩沖液:-20°C, pH7.4 PBS, 0.05% NaN3, 40% Glycerol
-
產品提供形式:Liquid
-
應用范圍:ELISA,WB,IHC
-
推薦稀釋比:
Application Recommended Dilution ELISA 1:2000-1:5000 WB 1:500-1:2000 IHC 1:25-1:100 -
Protocols:
-
儲存條件:Upon receipt, store at -20°C or -80°C. Avoid repeated freeze.
-
貨期:Basically, we can dispatch the products out in 1-3 working days after receiving your orders. Delivery time maybe differs from different purchasing way or location, please kindly consult your local distributors for specific delivery time.
-
用途:For Research Use Only. Not for use in diagnostic or therapeutic procedures.
相關產品
靶點詳情
-
功能:Serine/threonine kinase which acts as an essential component of the MAP kinase signal transduction pathway. MAPK13 is one of the four p38 MAPKs which play an important role in the cascades of cellular responses evoked by extracellular stimuli such as proinflammatory cytokines or physical stress leading to direct activation of transcription factors such as ELK1 and ATF2. Accordingly, p38 MAPKs phosphorylate a broad range of proteins and it has been estimated that they may have approximately 200 to 300 substrates each. MAPK13 is one of the less studied p38 MAPK isoforms. Some of the targets are downstream kinases such as MAPKAPK2, which are activated through phosphorylation and further phosphorylate additional targets. Plays a role in the regulation of protein translation by phosphorylating and inactivating EEF2K. Involved in cytoskeletal remodeling through phosphorylation of MAPT and STMN1. Mediates UV irradiation induced up-regulation of the gene expression of CXCL14. Plays an important role in the regulation of epidermal keratinocyte differentiation, apoptosis and skin tumor development. Phosphorylates the transcriptional activator MYB in response to stress which leads to rapid MYB degradation via a proteasome-dependent pathway. MAPK13 also phosphorylates and down-regulates PRKD1 during regulation of insulin secretion in pancreatic beta cells.
-
基因功能參考文獻:
- The knockdown of MAPK13 also blocked the effect of miR23a5p in osteogenic differentiation of bone marrow-derived mesenchymal stem cells. PMID: 29344643
- expression of claudin-11 in cutaneous squamous cell carcinoma cells depended on the activity of p38delta MAPK PMID: 27992079
- Study proposes MAPK p38delta protein as a key factor in breast cancer. PMID: 28783172
- The p38delta mitogen-activated protein kinase was identified as a novel regulator of NLRP3 inflammasome activation in primary human macrophages, and thus, represents a potential target for modulation of atherosclerotic inflammation. PMID: 27417584
- p38delta expression was significantly higher in esophageal squamous cell carcinoma tissues compared with paired normal controls. No significant association was found for p38delta between its expression and other clinicopathological parameters. In Eca109 cells, p38delta can promote the cell growth and motility. p38delta overexpression promotes tumorigenesis in nude mice when p38delta was stably over-expressed and p38ga... PMID: 26666822
- MAPK13 gene knockdown using siRNA reduced the aldehyde dehydrogenase high cell population and abrogated the tumor-initiating ability. PMID: 26969274
- p38gamma and p38delta reprogram liver metabolism by modulating neutrophil infiltration and provide a potential target for NAFLD therapy PMID: 26843485
- MAPK13 undergoes a larger interlobe configurational rearrangement upon activation compared with MAPK14. PMID: 25849390
- PKCdelta activates a MEKK1/MEK3/p38delta MAPK cascade to increase p53 levels and p53 drives p21(Cip1) gene expression. PMID: 24599959
- esophageal squamous cell carcinoma cell lines which are p38delta-negative grew more quickly than cell lines which express endogenous p38delta. PMID: 23722928
- DNA methylation alterations are widespread in melanoma; epigenetic silencing of MAPK13 contributes to melanoma progression PMID: 23590314
- Data indicate that p38delta mediates oncogene-induced senescence through a p53- and p16(INK4A)-independent mechanism. PMID: 23878395
- GSK3alpha, GSK3beta, and MAPK13 were found to be the most active tau kinases, phosphorylating tau at all four epitopes. PMID: 23798682
- MAPK13 is responsible for IL-13-driven mucus production in human airway epithelial cells. PMID: 23187130
- Isoforms of p38MAPK gamma and delta contribute to differentiation of human AML cells induced by 1,25-dihydroxyvitamin D. PMID: 20804750
- Taken together, the data indicate that the respective stress-dependent action of p38 isoforms is responsible for the up-regulation of the gene expression of the chemokine BRAK/CXCL14. PMID: 20478268
- Function of p38delta in regulating of epidermal keratinocyte differentiation, apoptosis and skin tumor development, is discussed. PMID: 20090411
- results indicate that p38delta is important for motility and invasion of CC cells, suggesting that p38delta may play an important role in CC metastasis. PMID: 19816939
- Novel protein kinase C isoforms regulate human keratinocyte differentiation by activating a p38 delta mitogen-activated protein kinase cascade that targets CCAAT/enhancer-binding protein alpha PMID: 12080077
- p38 has a role in mediating induction of VEGF mRNA expression by sodium arsenite PMID: 12482858
- observations suggest that p38 delta is the major p38 isoform driving suprabasal hINV gene expression and that p38 delta directly regulates ERK1/2 activity via formation of a p38 delta-ERK1/2 complex PMID: 12810719
- sapk4 activation mediates apoptosis and neurodegeneration in infantile neuronal ceroid lipofuscinosis PMID: 16644870
- activation of p38 isoforms by hypertonicity does not contribute to activation of TonEBP/OREBP because of opposing effects of p38alpha and p38delta. PMID: 18367666
- These results suggest that, in SupT1-based cell lines, p38alpha, p38gamma and p38delta, but not p38beta, are implicated in both HIV-1 induced replication and apoptosis in infected and uninfected bystander cells. PMID: 18559936
顯示更多
收起更多
-
蛋白家族:Protein kinase superfamily, CMGC Ser/Thr protein kinase family, MAP kinase subfamily
-
組織特異性:Expressed in testes, pancreas, small intestine, lung and kidney. Abundant in macrophages, also present in neutrophils, CD4+ T-cells, and endothelial cells.
-
數據庫鏈接:
Most popular with customers
-
-
YWHAB Recombinant Monoclonal Antibody
Applications: ELISA, WB, IHC, IF, FC
Species Reactivity: Human, Mouse, Rat
-
Phospho-YAP1 (S127) Recombinant Monoclonal Antibody
Applications: ELISA, WB, IHC
Species Reactivity: Human
-
-
-
-
-















