MAP4K1 Antibody
-
中文名稱:MAP4K1兔多克隆抗體
-
貨號:CSB-PA900670
-
規格:¥1100
-
圖片:
-
The image on the left is immunohistochemistry of paraffin-embedded Human brain tissue using CSB-PA900670(MAP4K1 Antibody) at dilution 1/30, on the right is treated with synthetic peptide. (Original magnification: ×200)
-
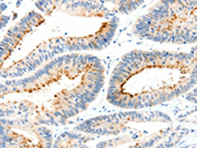
The image on the left is immunohistochemistry of paraffin-embedded Human colon cancer tissue using CSB-PA900670(MAP4K1 Antibody) at dilution 1/30, on the right is treated with synthetic peptide. (Original magnification: ×200)
-
-
其他:
產品詳情
-
Uniprot No.:
-
基因名:
-
別名:Hematopoietic progenitor kinase 1 antibody; Hematopoietic progenitor kinase antibody; HPK1 antibody; Human Hematopoietic Progenitor Kinase antibody; M4K1_HUMAN antibody; Map4k1 antibody; MAPK/ERK kinase kinase kinase 1 antibody; MEK kinase kinase 1 antibody; MEKKK 1 antibody; Mitogen activated protein kinase kinase kinase kinase 1 antibody; Mitogen-activated protein kinase kinase kinase kinase 1 antibody
-
宿主:Rabbit
-
反應種屬:Human
-
免疫原:Synthetic peptide of Human MAP4K1
-
免疫原種屬:Homo sapiens (Human)
-
標記方式:Non-conjugated
-
抗體亞型:IgG
-
純化方式:Antigen affinity purification
-
濃度:It differs from different batches. Please contact us to confirm it.
-
保存緩沖液:-20°C, pH7.4 PBS, 0.05% NaN3, 40% Glycerol
-
產品提供形式:Liquid
-
應用范圍:ELISA,IHC
-
推薦稀釋比:
Application Recommended Dilution ELISA 1:1000-1:5000 IHC 1:25-1:100 -
Protocols:
-
儲存條件:Upon receipt, store at -20°C or -80°C. Avoid repeated freeze.
-
貨期:Basically, we can dispatch the products out in 1-3 working days after receiving your orders. Delivery time maybe differs from different purchasing way or location, please kindly consult your local distributors for specific delivery time.
-
用途:For Research Use Only. Not for use in diagnostic or therapeutic procedures.
相關產品
靶點詳情
-
功能:Serine/threonine-protein kinase, which may play a role in the response to environmental stress. Appears to act upstream of the JUN N-terminal pathway. May play a role in hematopoietic lineage decisions and growth regulation. Able to autophosphorylate. Together with CLNK, it enhances CD3-triggered activation of T-cells and subsequent IL2 production.
-
基因功能參考文獻:
- Interactions between HPK1 and its adaptor proteins related to immunity has been discussed (Review). PMID: 28901492
- HPK1 protein expression, which is expressed at significantly higher levels in NATs compared with paired IDC-NOS tissues, is significantly negatively associated with ER positivity and is positively associated with OS duration, suggesting that HPK1 may exhibit anticancer activities. PMID: 28765906
- CUL7/Fbxw8 ubiquitin ligase-mediated HPK1 degradation revealed a direct link and novel role of CUL7/Fbxw8 ubiquitin ligase in the MAPK pathway, which plays a critical role in cell proliferation and differentiation. PMID: 24362026
- HPK1 is critically involved in LFA-1-mediated polymorphonuclear neutrophils trafficking during acute inflammation. PMID: 23460610
- results indicate that uncleaved HPK1 is a positive regulator of vitamin D-induced differentiation in acute myeloid leukemia cells, but the cleaved HPK1 fragment inhibits differentiation PMID: 22421156
- Pdcd4 knockdown up-regulates MAP kinase kinase kinase kinase 1 (MAP4K1) expression and increases phosphorylation of c-Jun. PMID: 22801218
- QVD and 1,25D-induced differentiation was accompanied by increased signaling by Hematopoietic Progenitor Kinase 1(HPK1), and the expression of transcription factors known to be involved in monocytic differentiation was increased. PMID: 22541691
- HPK1 negatively regulates T cell activation by reducing the persistence of signaling microclusters. PMID: 22105350
- The purpose of the study was to investigate the potential contribution of HPK1, MEKK1, TAK1, p-MKK4 to the development of extramammary Paget disease PMID: 21915030
- The catalytic activity of a hematopoietic cell-restricted, Ste20-related S/TPK, HPK1, is positively regulated by exposure to physiological concentrations of PGE2. HPK1 is a negative regulator of PGE2-induced FOS gene transcription. PMID: 12522005
- PP4 is a positive regulator for HPK1 and the HPK1-JNK signaling pathway PMID: 15364934
- Full activation of HPK1 is dependent on autophosphorylation of threonine 165 and phosphorylation of serine 171, which is a target site for protein kinase D (PKD) in vitro. PMID: 15743830
- suppression or activation of NFkappaB by HPK1 determines sensitivity to activation-induced cell death PMID: 16341093
- Pdcd4 suppresses tumor progression in colon carcinoma cells by the novel mechanism of down-regulating MAP4K1 transcription, with consequent inhibition of c-Jun activation and AP-1-dependent transcription. PMID: 16449643
- Our work explains growth factor-independent survival during monocytic differentiation by caspase-mediated processing of HPK1 towards HPK1-N. PMID: 17024227
- A novel negative feedback loop involves HPK-1-dependent serine phosphorylation of SLP-76 and 14-3-3 protein recruitment, which tunes T cell activation. PMID: 17353368
- HPK1-C as a suppressor of antiapoptotic Bcl-2 proteins and provide a molecular basis for our understanding of CD95L-independent activation-induced cell death of lymphocytes. PMID: 17712048
- Prostaglandin E2 activates HPK1 kinase activity via a PKA-dependent pathway PMID: 17895239
- Restoring wild-type HPK1 protein in pancreatic cancer cells led to the increase in p21 and p27 protein expression and cell cycle arrest. HPK1 may function as a novel tumor suppressor and its loss plays a critical role in pancreatic cancer. PMID: 19141650
- Results suggest HPK1-mediated phosphorylation of CARMA1 as an additional regulatory mechanism tuning the NF-kappaB response upon TCR stimulation. PMID: 19706536
顯示更多
收起更多
-
蛋白家族:Protein kinase superfamily, STE Ser/Thr protein kinase family, STE20 subfamily
-
組織特異性:Expressed primarily in hematopoietic organs, including bone marrow, spleen and thymus. Also expressed at very low levels in lung, kidney, mammary glands and small intestine.
-
數據庫鏈接:
Most popular with customers
-
-
YWHAB Recombinant Monoclonal Antibody
Applications: ELISA, WB, IHC, IF, FC
Species Reactivity: Human, Mouse, Rat
-
Phospho-YAP1 (S127) Recombinant Monoclonal Antibody
Applications: ELISA, WB, IHC
Species Reactivity: Human
-
-
-
-
-















