MAP3K4 Antibody
-
中文名稱:MAP3K4兔多克隆抗體
-
貨號:CSB-PA013426LA01HU
-
規格:¥440
-
圖片:
-
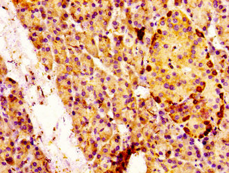
IHC image of CSB-PA013426LA01HU diluted at 1:100 and staining in paraffin-embedded human pancreatic tissue performed on a Leica BondTM system. After dewaxing and hydration, antigen retrieval was mediated by high pressure in a citrate buffer (pH 6.0). Section was blocked with 10% normal goat serum 30min at RT. Then primary antibody (1% BSA) was incubated at 4°C overnight. The primary is detected by a biotinylated secondary antibody and visualized using an HRP conjugated SP system.
-
IHC image of CSB-PA013426LA01HU diluted at 1:100 and staining in paraffin-embedded human heart tissue performed on a Leica BondTM system. After dewaxing and hydration, antigen retrieval was mediated by high pressure in a citrate buffer (pH 6.0). Section was blocked with 10% normal goat serum 30min at RT. Then primary antibody (1% BSA) was incubated at 4°C overnight. The primary is detected by a biotinylated secondary antibody and visualized using an HRP conjugated ABC system.
-
-
其他:
產品詳情
-
產品名稱:Rabbit anti-Homo sapiens (Human) MAP3K4 Polyclonal antibody
-
Uniprot No.:
-
基因名:
-
別名:dJ473J16.1 (mitogen-activated protein kinase kinase kinase 4) antibody; FLJ42439 antibody; KIAA0213 antibody; M3K4_HUMAN antibody; MAP three kinase 1 antibody; MAP/ERK kinase kinase 4 antibody; MAP3K4 antibody; MAPK/ERK kinase kinase 4 antibody; MAPKKK4 antibody; MEK kinase 4 antibody; MEKK 4 antibody; MEKK4 antibody; Mitogen-activated protein kinase kinase kinase 4 antibody; MTK1 antibody; predicted protein of HQ0412 antibody; PRO0412 antibody; RP3-473J16.4 antibody; SSK2/SSK22 MAP kinase kinase kinase; yeast; homolog of antibody
-
宿主:Rabbit
-
反應種屬:Human
-
免疫原:Recombinant Human Mitogen-activated protein kinase kinase kinase 4 protein (53-145AA)
-
免疫原種屬:Homo sapiens (Human)
-
標記方式:Non-conjugated
本頁面中的產品,MAP3K4 Antibody (CSB-PA013426LA01HU),的標記方式是Non-conjugated。對于MAP3K4 Antibody,我們還提供其他標記。見下表:
-
克隆類型:Polyclonal
-
抗體亞型:IgG
-
純化方式:>95%, Protein G purified
-
濃度:It differs from different batches. Please contact us to confirm it.
-
保存緩沖液:Preservative: 0.03% Proclin 300
Constituents: 50% Glycerol, 0.01M PBS, pH 7.4 -
產品提供形式:Liquid
-
應用范圍:ELISA, IHC
-
推薦稀釋比:
Application Recommended Dilution IHC 1:20-1:200 -
Protocols:
-
儲存條件:Upon receipt, store at -20°C or -80°C. Avoid repeated freeze.
-
貨期:Basically, we can dispatch the products out in 1-3 working days after receiving your orders. Delivery time maybe differs from different purchasing way or location, please kindly consult your local distributors for specific delivery time.
-
用途:For Research Use Only. Not for use in diagnostic or therapeutic procedures.
相關產品
靶點詳情
-
功能:Component of a protein kinase signal transduction cascade. Activates the CSBP2, P38 and JNK MAPK pathways, but not the ERK pathway. Specifically phosphorylates and activates MAP2K4 and MAP2K6.
-
基因功能參考文獻:
- IL-21 expression is promoted by MEKK4 in malignant T cells and is associated with progression risk in cutaneous T-cell lymphoma PMID: 26802931
- Mutations in genes such as AKT2, CCNA1, MAP3K4, and TGFBR1, were associated significantly with Epstein-Barr-positive gastric tumors, compared with EBV-negative tumors. PMID: 25173755
- Map3k4 haploinsufficiency is the cause of T-associated sex reversal. PMID: 24452333
- MTK1 was identified in the HER2/HER3-HRG mediated extracellular acidification and cell migration pathway in breast cancer cells. PMID: 24036211
- MAP3K4 is sufficiently mediate the TGFbeta-induced phosphorylation of p38 MAPK in MEFs and HaCaT cells. PMID: 23760366
- we have identified a reduced IL-1A response, related to a low MAP3K4 expression and high expression of its inhibitor GSK3beta, identifying a novel key player in Crohn's disease. PMID: 22732089
- For the first time we report a significant association between nicotine dependence and DRD5, NPY1R MAP3K4 single nucleotide polymorphism. PMID: 22309839
- CIN85 binding to a C-terminal motif within hTTP leads to the increased phosphorylation of hTTP, possibly through enhanced association with MEKK4 PMID: 20221403
- MEKK4 is the MAPK kinase kinase for TRAF4 regulation of the JNK pathway PMID: 16157600
- Taken together, these results indicate a novel role for CIN85 in the regulation of cellular stress response via the MAPK pathways. PMID: 16256071
- In this review, the role of MKK4 in cancer development appears complex, as some studies support a pro-oncogenic role for MKK4, while others suggest it may have tumor suppressor functions. PMID: 17496914
顯示更多
收起更多
-
亞細胞定位:Cytoplasm, perinuclear region.
-
蛋白家族:Protein kinase superfamily, STE Ser/Thr protein kinase family, MAP kinase kinase kinase subfamily
-
組織特異性:Expressed at high levels in heart, placenta, skeletal muscle and pancreas, and at lower levels in other tissues.
-
數據庫鏈接:
Most popular with customers
-
-
YWHAB Recombinant Monoclonal Antibody
Applications: ELISA, WB, IHC, IF, FC
Species Reactivity: Human, Mouse, Rat
-
Phospho-YAP1 (S127) Recombinant Monoclonal Antibody
Applications: ELISA, WB, IHC
Species Reactivity: Human
-
-
-
-
-















