MAP3K12 Antibody
-
中文名稱:MAP3K12兔多克隆抗體
-
貨號:CSB-PA143673
-
規格:¥1100
-
圖片:
-
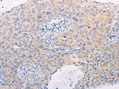
The image on the left is immunohistochemistry of paraffin-embedded Human cervical cancer tissue using CSB-PA143673(MAP3K12 Antibody) at dilution 1/25, on the right is treated with fusion protein. (Original magnification: ×200)
-
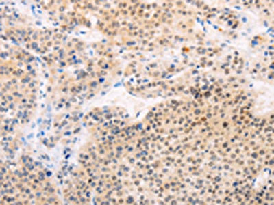
The image on the left is immunohistochemistry of paraffin-embedded Human liver cancer tissue using CSB-PA143673(MAP3K12 Antibody) at dilution 1/25, on the right is treated with fusion protein. (Original magnification: ×200)
-
-
其他:
產品詳情
-
Uniprot No.:
-
基因名:
-
別名:Dlk antibody; Dual leucine zipper bearing kinase antibody; Dual leucine zipper kinase DLK antibody; Leucine-zipper protein kinase antibody; M3K12_HUMAN antibody; Map3k12 antibody; MAPK-upstream kinase antibody; MEKK12 antibody; Mitogen-activated protein kinase kinase kinase 12 antibody; Mixed lineage kinase antibody; MUK antibody; Protein kinase MUK antibody; ZPK antibody; ZPKP1 antibody
-
宿主:Rabbit
-
反應種屬:Human,Mouse,Rat
-
免疫原:Fusion protein of Human MAP3K12
-
免疫原種屬:Homo sapiens (Human)
-
標記方式:Non-conjugated
-
抗體亞型:IgG
-
純化方式:Antigen affinity purification
-
濃度:It differs from different batches. Please contact us to confirm it.
-
保存緩沖液:-20°C, pH7.4 PBS, 0.05% NaN3, 40% Glycerol
-
產品提供形式:Liquid
-
應用范圍:ELISA,IHC
-
推薦稀釋比:
Application Recommended Dilution ELISA 1:1000-1:5000 IHC 1:15-1:50 -
Protocols:
-
儲存條件:Upon receipt, store at -20°C or -80°C. Avoid repeated freeze.
-
貨期:Basically, we can dispatch the products out in 1-3 working days after receiving your orders. Delivery time maybe differs from different purchasing way or location, please kindly consult your local distributors for specific delivery time.
-
用途:For Research Use Only. Not for use in diagnostic or therapeutic procedures.
相關產品
靶點詳情
-
功能:Part of a non-canonical MAPK signaling pathway. Activated by APOE, enhances the AP-1-mediated transcription of APP, via a MAP kinase signal transduction pathway composed of MAP2K7 and MAPK1/ERK2 and MAPK3/ERK1. May be an activator of the JNK/SAPK pathway.
-
基因功能參考文獻:
- LZK cooperates with DLK to promote retinal ganglion cell death in response to axon injury. PMID: 28641113
- REVIEW: Regulation of Beta-Cell Function and Mass by the Dual Leucine Zipper Kinase PMID: 27100796
- miR-130a inhibited the JNK pathway by targeting MAP3K12, contributing to its anti-apoptotic effect and the maintenance of diabetic endothelial progenitor cell function. PMID: 25999017
- Data suggest that specific pharmacological inhibition of dual leucine zipper kinase (DLK, MAP3K12) may have therapeutic potential in multiple indications of neuronal degeneration. PMID: 25341110
- these findings indicate that DLK participates in cell proliferation and/or survival, at least in part, by modulating the expression of cell cycle regulatory proteins. PMID: 21893036
- The results confirm the significance of apoptosis deregulation in CLL, and suggest a possible relationship between ZIPK expression and the clinical course of the disease. PMID: 21526495
- the DLK-ERK signaling pathway may act as a regulator of the interaction that occurs between Hsp27 and the cytoskeleton during the formation of the cornified cell envelope, a process conferring to the skin its crucial barrier function PMID: 19675578
- for the selective expression of ZPK gene, cell-specific negative regulatory element(s) which locate outside of the core promoter region repress the potent basic promoter activity PMID: 14697235
- ZIPK is positively regulated by phosphorylation within its kinase domain and contains an inhibitory C-terminal domain that controls enzyme activity. PMID: 15611134
- DLK is a signaling molecule implicated in the regulation of keratinocyte terminal differentiation and cornification PMID: 15695824
- DAPK-ZIPK-L13a axis forms a unique regulatory module that first represses, then repermits inflammatory gene expression. PMID: 18995835
- Src-dependent tyrosine phosphorylation recombinant human DLK was important for regulation of its activity. DLK may have a role in PDGF signaling. PMID: 19146952
顯示更多
收起更多
-
亞細胞定位:Cytoplasm. Cell membrane.
-
蛋白家族:Protein kinase superfamily, STE Ser/Thr protein kinase family, MAP kinase kinase kinase subfamily
-
組織特異性:Highly expressed in brain and kidney.
-
數據庫鏈接:
Most popular with customers
-
-
YWHAB Recombinant Monoclonal Antibody
Applications: ELISA, WB, IHC, IF, FC
Species Reactivity: Human, Mouse, Rat
-
Phospho-YAP1 (S127) Recombinant Monoclonal Antibody
Applications: ELISA, WB, IHC
Species Reactivity: Human
-
-
-
-
-















