MAP2K5 Antibody
-
中文名稱:MAP2K5兔多克隆抗體
-
貨號:CSB-PA975112
-
規格:¥1100
-
圖片:
-
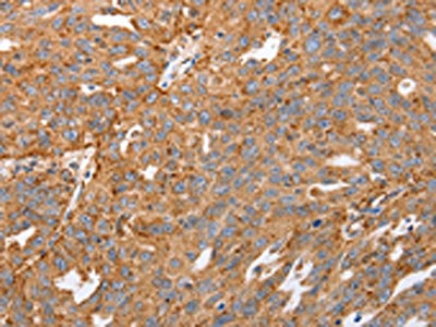
The image on the left is immunohistochemistry of paraffin-embedded Human colon cancer tissue using CSB-PA975112(MAP2K5 Antibody) at dilution 1/40, on the right is treated with fusion protein. (Original magnification: ×200)
-
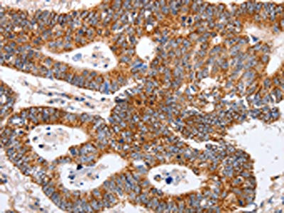
The image on the left is immunohistochemistry of paraffin-embedded Human ovarian cancer tissue using CSB-PA975112(MAP2K5 Antibody) at dilution 1/40, on the right is treated with fusion protein. (Original magnification: ×200)
-
-
其他:
產品詳情
-
Uniprot No.:
-
基因名:
-
別名:Dual specificity mitogen activated protein kinase kinase 5 antibody; Dual specificity mitogen-activated protein kinase kinase 5 antibody; EC 2.7.12.2 antibody; HsT17454 antibody; MAP kinase kinase 5 antibody; MAP kinase kinase MEK5b antibody; MAP2K5 antibody; MAPK/ERK kinase 5 antibody; MAPKK 5 antibody; MAPKK5 antibody; MEK 5 antibody; mitogen-activated protein kinase kinase 5 antibody; MKK5 antibody; MP2K5_HUMAN antibody; PRKMK5 antibody; Protein kinase, mitogen-activated, kinase 5 antibody; SAPKK5 antibody; SKK5 antibody
-
宿主:Rabbit
-
反應種屬:Human,Mouse,Rat
-
免疫原:Fusion protein of Human MAP2K5
-
免疫原種屬:Homo sapiens (Human)
-
標記方式:Non-conjugated
-
抗體亞型:IgG
-
純化方式:Antigen affinity purification
-
濃度:It differs from different batches. Please contact us to confirm it.
-
保存緩沖液:-20°C, pH7.4 PBS, 0.05% NaN3, 40% Glycerol
-
產品提供形式:Liquid
-
應用范圍:ELISA,IHC
-
推薦稀釋比:
Application Recommended Dilution ELISA 1:2000-1:5000 IHC 1:50-1:200 -
Protocols:
-
儲存條件:Upon receipt, store at -20°C or -80°C. Avoid repeated freeze.
-
貨期:Basically, we can dispatch the products out in 1-3 working days after receiving your orders. Delivery time maybe differs from different purchasing way or location, please kindly consult your local distributors for specific delivery time.
-
用途:For Research Use Only. Not for use in diagnostic or therapeutic procedures.
相關產品
靶點詳情
-
功能:Acts as a scaffold for the formation of a ternary MAP3K2/MAP3K3-MAP3K5-MAPK7 signaling complex. Activation of this pathway appears to play a critical role in protecting cells from stress-induced apoptosis, neuronal survival and cardiac development and angiogenesis.
-
基因功能參考文獻:
- When yeast genetic interaction partners held in common between human OPTN and ANG were validated in mammalian cells and zebrafish, MAP2K5 kinase emerged as a potential drug target for amyotrophic lateral sclerosis therapy PMID: 28596290
- results confirmed the association of BTBD9 and MAP2K5/SKOR1 with primary Restless Legs Syndrome in Chinese population PMID: 28329290
- Results revealed the expression of MEK5 was higher in tumor tissues and provide evidence that MEK5 plays an important role in colorectal cancer progression. PMID: 27160304
- Insights into a molecular mechanism by which MEK5 transcriptionally upregulated by Stat3 augments breast cancer cell EMT, which subsequently enhances cancer cell invasion and metastasis. This finding may suggest that Stat3 and MEK5/Erk5 pathways could be an effective therapeutic target for inhibition of breast cancer invasion and metastasis. PMID: 27878304
- Our findings confirm an association between the BTBD9, MEIS1, and MAP2K5/SKOR1 SNPs and periodic limb movements of sleep in an elderly cohort. PMID: 26498236
- Specifically, CKS1B and MAP2K5 significantly inhibited hepatitis C viral RNA replication. PACSIN1, by contrast, inhibited hepatitis C virus infection by decreasing the level of viral protein p7. PMID: 24205826
- High MEK5 expression is associated with colorectal cancer. PMID: 25662172
- SEC16B, MC4R, MAP2K5 and KCTD15 (rs17782313, rs543874, rs2241423 and rs11084753) polymorphisms are associated with the risk for children obesity in China. PMID: 25637721
- Periodic leg movements during sleep are associated with polymorphisms in BTBD9, TOX3/BC034767, MEIS1, MAP2K5/SKOR1, and PTPRD PMID: 25142570
- MiR-330-3p and MAP2K5 are potentially important contributors to mood and anxiety-related traits PMID: 24436253
- Single nucleotide polymorphism in the MAP2K5 gene is associated with BMI and obesity. PMID: 22594783
- data indicate that the rs3743354 polymorphism in the MEK5 promoter may affect the risk of developing colorectal cancer PMID: 21861603
- Variants in MEIS1, BTBD9, and MAP2K5/SKOR1 confer a significant risk of restless legs syndrome in a United States population. PMID: 21925394
- Genistein can affect the ERK5 MAPK signaling transduction pathway and induce the expressions of apoptosis related proteins to inhibit the proliferation of MDA-MB-231 cells. PMID: 16758967
- overexpression of MEK5 in APO- MCF-7 breast carcinoma cells shows that this MAPK signaling protein represents a potent survival molecule. PMID: 12219026
- MEK5 overexpression is associated with metastatic prostate cancer, and stimulates proliferation, MMP-9 expression and invasion. MEK5 is a key signalling molecule associated with prostate carcinogenesis. PMID: 12618764
- alternative splicing of MEK5alpha and MEK5beta may play a critical role in BMK1 activation and subsequent cell proliferation PMID: 14583600
- nuclear localization of MEK5 and ERK5 is different from that of ERK1/2 and MEK1/2 in resting cells, indicating that each MAPK cascade uses distinct mechanisms PMID: 15075238
- MEK5 may be one of the Stat3-regulated genes and plays its essential roles in oncogenesis PMID: 15378007
- Data suggest that HGF-induced effects in some mesothelioma cells are mediated via activation of a novel PI3K/ERK5/Fra-1 feedback pathway PMID: 17872495
- ERK5 nuclear staining has been shown to be an independent marker of prognosis in CaP, and may prove useful as a stratification tool to identify a more aggressive/metastatic phenotype PMID: 18071319
顯示更多
收起更多
-
蛋白家族:Protein kinase superfamily, STE Ser/Thr protein kinase family, MAP kinase kinase subfamily
-
組織特異性:Expressed in many adult tissues. Abundant in heart and skeletal muscle.
-
數據庫鏈接:
Most popular with customers
-
-
Phospho-YAP1 (S127) Recombinant Monoclonal Antibody
Applications: ELISA, WB, IHC
Species Reactivity: Human
-
-
-
-
-
-















