MAP2K3 Antibody
-
中文名稱:MAP2K3兔多克隆抗體
-
貨號:CSB-PA211696
-
規格:¥1090
-
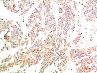
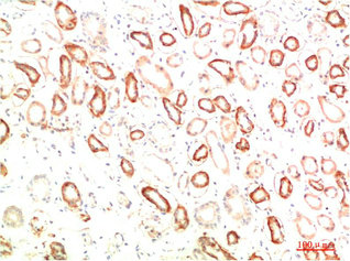
圖片:
-
其他:
產品詳情
-
Uniprot No.:
-
基因名:
-
別名:AW212142 antibody; dual specificity mitogen activated protein kinase kinase 3 antibody; Dual specificity mitogen-activated protein kinase kinase 3 antibody; MAP kinase kinase 3 antibody; map2k3 antibody; MAPK ERK kinase 3 antibody; MAPK/ERK kinase 3 antibody; MAPKK 3 antibody; MAPKK3 antibody; MEK 3 antibody; MEK3 antibody; Mitogen activated protein kinase kinase 3 antibody; MKK 3 antibody; MKK3 antibody; mMKK3b antibody; MP2K3_HUMAN antibody; PRKMK 3 antibody; PRKMK3 antibody; protein kinase, mitogen-activated, kinase 3 antibody; SAPK kinase 2 antibody; SAPKK 2 antibody; SAPKK2 antibody; Stress activated protein kinase kinase 2 antibody
-
宿主:Rabbit
-
反應種屬:Human,Mouse,Rat
-
免疫原:Recombinant Protein
-
免疫原種屬:Homo sapiens (Human)
-
標記方式:Non-conjugated
-
純化方式:The antibody was affinity-purified from rabbit serum by affinity-chromatography using specific immunogen.
-
濃度:It differs from different batches. Please contact us to confirm it.
-
保存緩沖液:Liquid in PBS containing 50% glycerol, 0.5% BSA and 0.02% sodium azide.
-
產品提供形式:Liquid
-
應用范圍:IHC, ELISA
-
推薦稀釋比:
Application Recommended Dilution IHC 1:50-1:200 ELISA 1:10000 -
Protocols:
-
儲存條件:Upon receipt, store at -20°C or -80°C. Avoid repeated freeze.
-
貨期:Basically, we can dispatch the products out in 1-3 working days after receiving your orders. Delivery time maybe differs from different purchasing way or location, please kindly consult your local distributors for specific delivery time.
-
用途:For Research Use Only. Not for use in diagnostic or therapeutic procedures.
相關產品
靶點詳情
-
功能:Dual specificity kinase. Is activated by cytokines and environmental stress in vivo. Catalyzes the concomitant phosphorylation of a threonine and a tyrosine residue in the MAP kinase p38. Part of a signaling cascade that begins with the activation of the adrenergic receptor ADRA1B and leads to the activation of MAPK14.
-
基因功能參考文獻:
- Advanced glycation end products significantly activated ASK1, MKK3, and MKK6, which led to activation of p38 MAPK, resulting in upregulated fibrotic response in human coronary smooth muscle cells. PMID: 30305582
- The study identifies MKK3 as a negative regulator of mitochondrial function and inflammatory responses to cigarette smoke and suggests that MKK3 could be a therapeutic target. PMID: 27717867
- High MKK3 expression is associated with lung cancer. PMID: 28628118
- miR-21 targets MKK3 in vivo and in vitro, inhibiting the downstream factors IL-6 and TNF-alpha, in ischemia pretreatment protection from ischemia-reperfusion induced kidney injury. PMID: 26149640
- MKK3 overexpression upregulated the cyclin-dependent kinase inhibitors, p16 INK4A and p15 INK4B in hepatocellular carcinoma cells was Bim1, was downregulated following MKK3 overexpression. PMID: 26573508
- Our results suggest that asthma is associated with MKK3 over-expression in CD8+ cells; we have also demonstrated that MKK3 may be critical for airway neutrophilia PMID: 24480516
- MicroRNA-21 promotes hepatocellular carcinoma HepG2 cell proliferation through repression of mitogen-activated protein kinase-kinase 3. PMID: 24112539
- study detected higher MKK3 activation in isolated peripheral blood mononuclear cells from septic patients compared with nonseptic controls PMID: 24487387
- study concludes MAP2K3 is a reproducible obesity locus that may affect body weight via complex mechanisms involving appetite regulation and hypothalamic inflammation PMID: 23825110
- miR-20a acts in a feedback loop to repress the expression of MKK3 and to negatively regulate the p38 pathway-mediated VEGF-induced endothelial cell migration and angiogenesis PMID: 22696064
- the balance between MKK6 and MKK3 mediates p38 MAPK associated resistance to cisplatin in NSCLC PMID: 22164285
- LFA-1-induced stabilization of ARE-containing mRNAs in T cells is dependent on HuR, and occurs through the Vav-1, Rac1/2, MKK3 and p38MAPK signaling cascade PMID: 21206905
- MAP2K3 is identified as a protein to promote senescence in human breast epithelial cells. PMID: 21137025
- Data provide evidence that p38 Map kinase (MAPK) pathway is activated leading to increased upregulation of mixed lineage kinase 3, MKK3/6, MSK1, and Mapkapk2, upon treatment of BCR/ABL expressing cells with dasatinib. PMID: 19672773
- role in activating Mirk protein kinase PMID: 11980910
- interacts with phospholipase c-beta 2 PMID: 12054652
- role in pathway that promotes urokinase plasminogen activator mRNA stability in invasive breast cancer cells PMID: 12377770
- TAK1- and MKK3-mediated activation of p38 are facilitated by Smad7 PMID: 12589052
- MKK3 is selectively activated by the new subfamily of Ste20-like kinases. PMID: 13679851
- a specific requirement for p150(Glued)/dynein/functional microtubules in activation of MKK3/6 and p38 MAPKs in vivo. PMID: 15375157
- MAP kinase kinase3- and 6-dependent activation of the alpha-isoform of p38 MAP kinase is required for the cytoskeletal changes induced by neutrophil adherence and influences subsequent neutrophil migration toward endothelial cell junctions PMID: 15516490
- H-Ras-specific activation of Rac-MKK3/6-p38 pathway has a role in invasion and migration of breast epithelial cells PMID: 15677464
- MKK3 and MKK6 make individual contributions to p38 activation in fibroblast-like synoviocytes after cytokine stimulation PMID: 15778394
- p38 mediates EGF receptor activation after oxidant injury; Src activates MMK3, which, in turn, activates p38; and the EGF receptor signaling pathway plays a critical role in renal epithelial cell dedifferentiation PMID: 15797859
- Bax is phosphorylated by stress-activated JNK and/or p38 kinase and phosphorylation of Bax leads to mitochondrial translocation prior to apoptosis PMID: 16709574
- Mitogen-activated protein kinase (MAPK) kinase 3 (MKK3) is a key activator of p38 MAPK in glioma; MKK3 activation is strongly correlated with p38 activation in vitro and in vivo. PMID: 17406030
- Cytokine activation of MAPK14 and apoptosis is opposed by ACTN4 targeting of protein phosphatase 2A for site-specific dephosphorylation of MEK3. PMID: 17438131
- as a mediator of SF- and Src-stimulated NF-kappaB activity. Finally, the Src/Rac1/MKK3/6/p38 and Src/TAK1/NF-kappaB-inducing kinase pathways exhibited cross-talk at the level of MKK3. PMID: 19047046
顯示更多
收起更多
-
相關疾病:Defects in MAP2K3 may be involved in colon cancer.
-
蛋白家族:Protein kinase superfamily, STE Ser/Thr protein kinase family, MAP kinase kinase subfamily
-
組織特異性:Abundant expression is seen in the skeletal muscle. It is also widely expressed in other tissues.
-
數據庫鏈接:
Most popular with customers
-
-
YWHAB Recombinant Monoclonal Antibody
Applications: ELISA, WB, IHC, IF, FC
Species Reactivity: Human, Mouse, Rat
-
Phospho-YAP1 (S127) Recombinant Monoclonal Antibody
Applications: ELISA, WB, IHC
Species Reactivity: Human
-
-
-
-
-















