-
中文名稱:MAN2A1兔多克隆抗體
-
貨號:CSB-PA613697LA01HU
-
規格:¥440
-
圖片:
-
Western Blot
Positive WB detected in: HEK293 whole cell lysate, HepG2 whole cell lysate
All lanes: MAN2A1 antibody at 3.5μg/ml
Secondary
Goat polyclonal to rabbit IgG at 1/50000 dilution
Predicted band size: 132 kDa
Observed band size: 150 kDa -
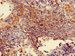
Immunohistochemistry of paraffin-embedded human lung cancer using CSB-PA613697LA01HU at dilution of 1:100
-
Immunohistochemistry of paraffin-embedded human cervical cancer using CSB-PA613697LA01HU at dilution of 1:100
-
Immunofluorescent analysis of Hela cells using CSB-PA613697LA01HU at dilution of 1:100 and Alexa Fluor 488-congugated AffiniPure Goat Anti-Rabbit IgG(H+L)
-
-
其他:
產品詳情
-
產品名稱:Rabbit anti-Homo sapiens (Human) MAN2A1 Polyclonal antibody
-
Uniprot No.:
-
基因名:MAN2A1
-
別名:3-1 antibody; 6-alpha-mannosidase antibody; Alpha mannosidase 2 antibody; alpha Mannosidase II antibody; Alpha-mannosidase 2 antibody; AMAN II antibody; Golgi alpha mannosidase II antibody; Golgi alpha-mannosidase II antibody; Golgi integral membrane protein 7 antibody; GOLIM7 antibody; MA2A1_HUMAN antibody; MAN II antibody; Man2a1 antibody; MANA 2 antibody; MANA2 antibody; MANII antibody; Mann II antibody; Mannosidase alpha class 2A member 1 antibody; Mannosidase Two antibody; Mannosidase; alpha type II antibody; Mannosidase; alpha; II antibody; Mannosyl oligosaccharide 1 3 1 6 alpha mannosidase antibody; Mannosyl oligosaccharide 1,3 1,6 alpha mannosidase antibody; Mannosyl-oligosaccharide 1 antibody
-
宿主:Rabbit
-
反應種屬:Human
-
免疫原:Recombinant Human Alpha-mannosidase 2 protein (31-181AA)
-
免疫原種屬:Homo sapiens (Human)
-
標記方式:Non-conjugated
本頁面中的產品,MAN2A1 Antibody (CSB-PA613697LA01HU),的標記方式是Non-conjugated。對于MAN2A1 Antibody,我們還提供其他標記。見下表:
-
克隆類型:Polyclonal
-
抗體亞型:IgG
-
純化方式:>95%, Protein G purified
-
濃度:It differs from different batches. Please contact us to confirm it.
-
保存緩沖液:Preservative: 0.03% Proclin 300
Constituents: 50% Glycerol, 0.01M PBS, pH 7.4 -
產品提供形式:Liquid
-
應用范圍:ELISA, WB, IHC, IF
-
推薦稀釋比:
Application Recommended Dilution WB 1:500-1:5000 IHC 1:20-1:200 IF 1:50-1:200 -
Protocols:
-
儲存條件:Upon receipt, store at -20°C or -80°C. Avoid repeated freeze.
-
貨期:Basically, we can dispatch the products out in 1-3 working days after receiving your orders. Delivery time maybe differs from different purchasing way or location, please kindly consult your local distributors for specific delivery time.
-
用途:For Research Use Only. Not for use in diagnostic or therapeutic procedures.
引用文獻
- Global Mapping of circRNA-Target RNA Interactions Reveals P-Body-Mediated Translational Repression P Li, H Zhang, Z Cai, Y Zhang, R Yang, R Ye, J Li,bioRxiv,2025
相關產品
靶點詳情
-
功能:Catalyzes the first committed step in the biosynthesis of complex N-glycans. It controls conversion of high mannose to complex N-glycans; the final hydrolytic step in the N-glycan maturation pathway.
-
基因功能參考文獻:
- he QSAR models with the fragmented QM-DFT descriptors may find a useful application in structure-based drug design where pure empirical and force field methods reached their limits and where quantum mechanics effects are critical for ligand-receptor interactions. The optimized models will apply in lead optimization processes for GMII drug developments. PMID: 27035259
- Many human tumor types and cancer cell lines express the MAN2A1-FER fusion, which increases proliferation and invasiveness of cancer cell lines and has liver oncogenic activity in mice. PMID: 28245430
- The disruption of Golgi alpha-mannosidase II activity by swainsonine in human embryonic kidney cells is capable of inducing a novel class of hybrid-type glycosylation containing a partially processed mannose moiety. PMID: 17466984
- This article discribes experiments in which the MAN2A1 homologue in mouse was deleted, resulting in a systemic autoimmune disease in the mice which is similar to human systemic lupus erythematosus. PMID: 11158608
-
亞細胞定位:Golgi apparatus membrane; Single-pass type II membrane protein.
-
蛋白家族:Glycosyl hydrolase 38 family
-
數據庫鏈接:
Most popular with customers
-
-
YWHAB Recombinant Monoclonal Antibody
Applications: ELISA, WB, IHC, IF, FC
Species Reactivity: Human, Mouse, Rat
-
Phospho-YAP1 (S127) Recombinant Monoclonal Antibody
Applications: ELISA, WB, IHC
Species Reactivity: Human
-
-
-
-
-















