MAGEA6 Antibody
-
中文名稱:MAGEA6兔多克隆抗體
-
貨號:CSB-PA583147
-
規格:¥1100
-
圖片:
-
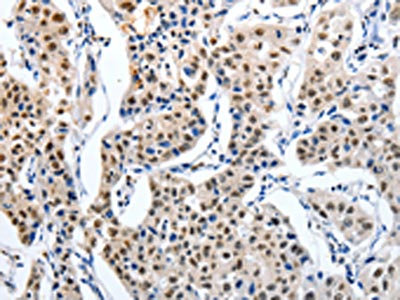
The image on the left is immunohistochemistry of paraffin-embedded Human liver cancer tissue using CSB-PA583147(MAGEA6 Antibody) at dilution 1/120, on the right is treated with synthetic peptide. (Original magnification: ×200)
-
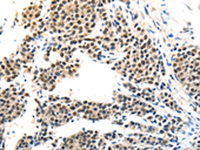
The image on the left is immunohistochemistry of paraffin-embedded Human lung cancer tissue using CSB-PA583147(MAGEA6 Antibody) at dilution 1/120, on the right is treated with synthetic peptide. (Original magnification: ×200)
-
-
其他:
產品詳情
-
Uniprot No.:
-
基因名:
-
別名:MAGEA6 antibody; MAGE6 antibody; Melanoma-associated antigen 6 antibody; Cancer/testis antigen 1.6 antibody; CT1.6 antibody; MAGE-6 antigen antibody; MAGE3B antigen antibody
-
宿主:Rabbit
-
反應種屬:Human
-
免疫原:Synthetic peptide of Human MAGEA6
-
免疫原種屬:Homo sapiens (Human)
-
標記方式:Non-conjugated
-
抗體亞型:IgG
-
純化方式:Antigen affinity purification
-
濃度:It differs from different batches. Please contact us to confirm it.
-
保存緩沖液:-20°C, pH7.4 PBS, 0.05% NaN3, 40% Glycerol
-
產品提供形式:Liquid
-
應用范圍:ELISA,IHC
-
推薦稀釋比:
Application Recommended Dilution ELISA 1:2000-1:10000 IHC 1:50-1:200 -
Protocols:
-
儲存條件:Upon receipt, store at -20°C or -80°C. Avoid repeated freeze.
-
貨期:Basically, we can dispatch the products out in 1-3 working days after receiving your orders. Delivery time maybe differs from different purchasing way or location, please kindly consult your local distributors for specific delivery time.
-
用途:For Research Use Only. Not for use in diagnostic or therapeutic procedures.
相關產品
靶點詳情
-
功能:Activator of ubiquitin ligase activity of RING-type zinc finger-containing E3 ubiquitin-protein ligases that acts as a as repressor of autophagy. May enhance ubiquitin ligase activity of TRIM28 and stimulate p53/TP53 ubiquitination by TRIM28. Proposed to act through recruitment and/or stabilization of the Ubl-conjugating enzyme (E2) at the E3:substrate complex. May play a role in tumor transformation or aspects of tumor progression. In vitro promotes cell viability in melanoma cell lines.
-
基因功能參考文獻:
- MAGEA6 knockdown by targeted-shRNA induced AMPK stabilization and activation, which led to mTOR complex 1 (mTORC1) in-activation and RCC cell death/apoptosis. PMID: 29448247
- MAGEA6 promotes glioma cell survival possibly via targeting AMPKalpha1. PMID: 29024810
- MageA6 and MageA11 form a protein complex resulting in the stabilization of MageA11 and consequently the enhancement of androgen receptor activity. PMID: 28542476
- To identify novel CTL epitopes from MAGE-A6 and MAGE-A12 antigens. PMID: 22707303
- Disease-associated bias in T helper type 1 (Th1)/Th2 CD4(+) T cell responses against MAGE-6 in HLA-DRB10401(+) patients with renal cell carcinoma or melanoma. PMID: 12208877
- MAGE-6 encodes HLA-DRbeta1*0401-presented epitopes recognized by CD4+ T cells from patients with melanoma or renal cell carcinoma PMID: 12631591
顯示更多
收起更多
-
組織特異性:Expressed in many tumors of several types, such as melanoma, head and neck squamous cell carcinoma, lung carcinoma and breast carcinoma, but not in normal tissues except for testes.
-
數據庫鏈接:
Most popular with customers
-
Phospho-YAP1 (S127) Recombinant Monoclonal Antibody
Applications: ELISA, WB, IHC
Species Reactivity: Human
-
-
-
-
-
-
-















