MAGEA11 Antibody
-
中文名稱:MAGEA11兔多克隆抗體
-
貨號:CSB-PA939225
-
規格:¥1100
-
圖片:
-
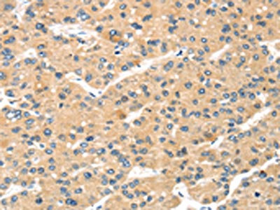
The image on the left is immunohistochemistry of paraffin-embedded Human liver cancer tissue using CSB-PA939225(MAGEA11 Antibody) at dilution 1/20, on the right is treated with synthetic peptide. (Original magnification: ×200)
-
Gel: 8%SDS-PAGE,Lysate: 40 μg,Lane 1-4: 293T cells, K562 cells, Lovo cells, Human bladder carcinoma tissue,Primary antibody: CSB-PA939225(MAGEA11 Antibody) at dilution 1/200 dilution,Secondary antibody: Goat anti rabbit IgG at 1/8000 dilution,Exposure time: 30 seconds
-
-
其他:
產品詳情
-
Uniprot No.:
-
基因名:MAGEA11
-
別名:MAGEA11 antibody; MAGE11Melanoma-associated antigen 11 antibody; Cancer/testis antigen 1.11 antibody; CT1.11 antibody; MAGE-11 antigen antibody
-
宿主:Rabbit
-
反應種屬:Human
-
免疫原:Synthetic peptide of Human MAGEA11
-
免疫原種屬:Homo sapiens (Human)
-
標記方式:Non-conjugated
-
抗體亞型:IgG
-
純化方式:Antigen affinity purification
-
濃度:It differs from different batches. Please contact us to confirm it.
-
保存緩沖液:-20°C, pH7.4 PBS, 0.05% NaN3, 40% Glycerol
-
產品提供形式:Liquid
-
應用范圍:ELISA,WB,IHC
-
推薦稀釋比:
Application Recommended Dilution ELISA 1:2000-1:5000 WB 1:500-1:2000 IHC 1:25-1:100 -
Protocols:
-
儲存條件:Upon receipt, store at -20°C or -80°C. Avoid repeated freeze.
-
貨期:Basically, we can dispatch the products out in 1-3 working days after receiving your orders. Delivery time maybe differs from different purchasing way or location, please kindly consult your local distributors for specific delivery time.
-
用途:For Research Use Only. Not for use in diagnostic or therapeutic procedures.
相關產品
靶點詳情
-
功能:Acts as androgen receptor coregulator that increases androgen receptor activity by modulating the receptors interdomain interaction. May play a role in embryonal development and tumor transformation or aspects of tumor progression.
-
基因功能參考文獻:
- SUV39H2 functioned cooperatively with MAGE-A11 to increase androgen-dependent AR transcriptional activity. PMID: 28042025
- direct interactions of MAGE-A11 with Skp2 and cyclin A regulate the substrate-specificity of Skp2-mediated protein degradation. PMID: 27720894
- MAGE-A11 and androgen receptor cooperate in the up-regulation of FSTL1 to promote the growth of prostate cancer. PMID: 27976415
- MAGE-A11 is an independent poor prognostic marker for esophageal squamous cell carcinoma (ESCC) patients. MAGE-A11 regulates various cell functions and directly increases the invasion and proliferation of ESCC cells. PMID: 27362547
- degradation of MAGE-A11 promoted by the human p14-ARF tumor suppressor contributes to low levels of MAGE-A11 in nontransformed cells PMID: 26330556
- MAGE-A11, similarly to HER-2 and ER-beta, may be an important diagnostic or prognostic indicator in breast cancer and potentially promotes tumor proliferation. PMID: 23064813
- MAGEA11 regulation is highly instructive for understanding mechanisms regulating CG antigen genes in human cancer. PMID: 23839233
- MAGE-A11 is a proto-oncogene whose increased expression in prostate cancer reverses retinoblastoma-related protein p107 from a transcriptional repressor to a transcriptional activator of the androgen receptor and E2F1. PMID: 23853093
- MAGE-A11 increases AR transcriptional activity by linking androgen receptor dimers. PMID: 23172223
- the functional defect associated with an AR exon 1 missense mutation. PMID: 22334658
- Gain in transcriptional activity by primate-specific coevolution of melanoma antigen-A11 and its interaction site in androgen receptor. PMID: 21730049
- MAGE-11 links NH(2)-terminal domains of AR and p300 to promote transcriptional synergy through a cadre of FXXLF-related interacting motifs PMID: 20448036
- Results suggest that MAGE-11 functions as a bridging factor to recruit androgen receptor coactivators through a novel FXX(L/I)F motif-F-box interaction paradigm. PMID: 19828458
- MAGE-11 is a unique AR coregulator that increases AR activity by modulating the AR interdomain interaction. PMID: 15684378
- The results suggest that MAGE-11 functions as a coregulator that increases AR transcriptional activity during the establishment of uterine receptivity in the human female. PMID: 18048459
- The time-dependent EGF-induced increase in AR transcriptional activity by MAGE-11 is mediated through AR activation functions 1 and 2 in association with the increased turnover of AR and MAGE-11. PMID: 18212060
- Knockdown of MAGE-11 by small interfering RNA results in decreased hypoxic induction of HIF-1alpha and its target genes. Inhibition of PHD by MAGE-11, and following activation of HIFs, is a novel tumor-associated HIF regulatory mechanism. PMID: 19147576
- Increased expression of the AR coregulator MAGE-11 through promoter DNA hypomethylation and cyclic AMP is associated with prostate cancer PMID: 19372581
顯示更多
收起更多
-
亞細胞定位:Nucleus. Cytoplasm.
-
組織特異性:Expressed in tumors of several types, such as melanoma, head and neck squamous cell carcinoma, lung carcinoma and breast carcinoma. Expressed in testis, ovary, prostate, cancerous prostate, breast and adrenal tissue.
-
數據庫鏈接:
Most popular with customers
-
-
Phospho-YAP1 (S127) Recombinant Monoclonal Antibody
Applications: ELISA, WB, IHC
Species Reactivity: Human
-
-
-
-
-
-















