LYRM4 Antibody
-
中文名稱:LYRM4兔多克隆抗體
-
貨號:CSB-PA875729LA01HU
-
規格:¥440
-
圖片:
-
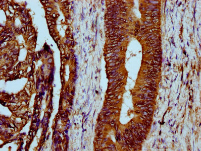
IHC image of CSB-PA875729LA01HU diluted at 1:300 and staining in paraffin-embedded human colon cancer performed on a Leica BondTM system. After dewaxing and hydration, antigen retrieval was mediated by high pressure in a citrate buffer (pH 6.0). Section was blocked with 10% normal goat serum 30min at RT. Then primary antibody (1% BSA) was incubated at 4°C overnight. The primary is detected by a biotinylated secondary antibody and visualized using an HRP conjugated SP system.
-
IHC image of CSB-PA875729LA01HU diluted at 1:300 and staining in paraffin-embedded human skeletal muscle tissue performed on a Leica BondTM system. After dewaxing and hydration, antigen retrieval was mediated by high pressure in a citrate buffer (pH 6.0). Section was blocked with 10% normal goat serum 30min at RT. Then primary antibody (1% BSA) was incubated at 4°C overnight. The primary is detected by a biotinylated secondary antibody and visualized using an HRP conjugated SP system.
-
-
其他:
產品詳情
-
產品名稱:Rabbit anti-Homo sapiens (Human) LYRM4 Polyclonal antibody
-
Uniprot No.:
-
基因名:LYRM4
-
別名:BC034664 antibody; C6orf149 antibody; CGI 203 antibody; Chromosome 6 open reading frame 149 antibody; Gm903 antibody; Homolog of yeast Isd11 antibody; ISD11 antibody; LYR motif containing 4 antibody; LYR motif-containing protein 4 antibody; LYRM4 antibody; LYRM4_HUMAN antibody; MGC38622 antibody; Mitochondrial matrix Nfs1 interacting protein antibody
-
宿主:Rabbit
-
反應種屬:Human
-
免疫原:Recombinant Human LYR motif-containing protein 4 protein (1-91AA)
-
免疫原種屬:Homo sapiens (Human)
-
標記方式:Non-conjugated
本頁面中的產品,LYRM4 Antibody (CSB-PA875729LA01HU),的標記方式是Non-conjugated。對于LYRM4 Antibody,我們還提供其他標記。見下表:
-
克隆類型:Polyclonal
-
抗體亞型:IgG
-
純化方式:>95%, Protein G purified
-
濃度:It differs from different batches. Please contact us to confirm it.
-
保存緩沖液:Preservative: 0.03% Proclin 300
Constituents: 50% Glycerol, 0.01M PBS, pH 7.4 -
產品提供形式:Liquid
-
應用范圍:ELISA, IHC
-
推薦稀釋比:
Application Recommended Dilution IHC 1:200-1:500 -
Protocols:
-
儲存條件:Upon receipt, store at -20°C or -80°C. Avoid repeated freeze.
-
貨期:Basically, we can dispatch the products out in 1-3 working days after receiving your orders. Delivery time maybe differs from different purchasing way or location, please kindly consult your local distributors for specific delivery time.
-
用途:For Research Use Only. Not for use in diagnostic or therapeutic procedures.
相關產品
靶點詳情
-
功能:Required for nuclear and mitochondrial iron-sulfur protein biosynthesis.
-
基因功能參考文獻:
- analysis of the NFS1-ISD11-ACP (SDA) complex forms the core of the iron-sulfur (Fe-S) assembly complex and associates with assembly proteins ISCU2, frataxin (FXN), and ferredoxin to synthesize Fe-S clusters PMID: 28634302
- Human Isd11 (ISD11) is a helical protein which exists in solution as an equilibrium between monomer, dimeric and tetrameric species when in the absence of human Nfs1 (NFS1). Recombinant ISD11 expressed in E. coli co-purifies with the bacterial orthologue of NFS1, IscS. PMID: 27427956
- The NFS1/ISD11 complex further interacts with scaffold protein ISCU and regulator protein frataxin, thereby forming a quaternary complex for Fe-S cluster formation. PMID: 28271877
- Molecular dynamics flexible fitting of protein structures docked into the EM map of the model revealed a [FXN(42-210)]24.[NFS1]24.[ISD11]24.[ISCU]24 complex, consistent with the measured 1:1:1:1 stoichiometry of its four components. PMID: 27519411
- Our findings highlight that the ISD11 R68A/R68L mutation display reduced affinity to form a stable subcomplex with NFS1, and thereby fails to prevent NFS1 aggregation resulting in impairment of the Fe-S cluster biogenesis PMID: 26342079
- Homozygous mutation in LYRM4 was reported in two patients with combined oxidative phosphorylation deficiency. PMID: 23814038
- LYRM4 downregulation may be one of the mechanisms involved in inefficient oxidative phosphorylation and oxidative stress, increasingly recognised as contributors to schizophrenia pathogenesis. PMID: 21968932
- Strong candidate gene for mitochondrial disease, based on recessive mutations detected in infantile patients PMID: 22277967
- Frataxin interacts with ISD11 and multiple mitochondrial chaperones. PMID: 17331979
- ISD11 is important in the biogenesis of Fe-S clusters in mammalian cells. PMID: 19454487
顯示更多
收起更多
-
相關疾病:Combined oxidative phosphorylation deficiency 19 (COXPD19)
-
亞細胞定位:Mitochondrion. Nucleus.
-
蛋白家族:Complex I LYR family
-
組織特異性:Reduced mRNA levels in Friedreich ataxia patients.
-
數據庫鏈接:
Most popular with customers
-
-
Phospho-YAP1 (S127) Recombinant Monoclonal Antibody
Applications: ELISA, WB, IHC
Species Reactivity: Human
-
-
-
-
-
-















