LY86 Antibody
-
中文名稱:LY86兔多克隆抗體
-
貨號:CSB-PA013252ESR1HU
-
規格:¥440
-
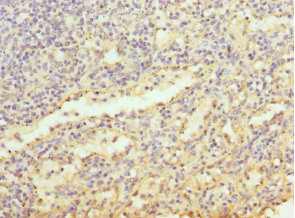
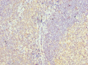
圖片:
-
其他:
產品詳情
-
產品名稱:Rabbit anti-Homo sapiens (Human) LY86 Polyclonal antibody
-
Uniprot No.:
-
基因名:LY86
-
別名:BPAD antibody; dJ80N2.1 antibody; Ly 86 antibody; Ly-86 antibody; Ly86 antibody; LY86_HUMAN antibody; Lymphocyte antigen 86 antibody; Lymphocyte antigen 86 precursor antibody; Major affective disorder 1 antibody; MD 1 antibody; MD-1 antibody; MD1 protein antibody; MD1 RP105 associated antibody; MMD 1 antibody; MMD-1 antibody; Protein MD 1 antibody; Protein MD-1 antibody; RP1-80N2.1 antibody
-
宿主:Rabbit
-
反應種屬:Human
-
免疫原:Recombinant Human Lymphocyte antigen 86 protein (21-162AA)
-
免疫原種屬:Homo sapiens (Human)
-
標記方式:Non-conjugated
-
克隆類型:Polyclonal
-
抗體亞型:IgG
-
純化方式:Antigen Affinity Purified
-
濃度:It differs from different batches. Please contact us to confirm it.
-
保存緩沖液:PBS with 0.02% sodium azide, 50% glycerol, pH7.3.
-
產品提供形式:Liquid
-
應用范圍:ELISA, IHC
-
推薦稀釋比:
Application Recommended Dilution IHC 1:20-1:200 -
Protocols:
-
儲存條件:Upon receipt, store at -20°C or -80°C. Avoid repeated freeze.
-
貨期:Basically, we can dispatch the products out in 1-3 working days after receiving your orders. Delivery time maybe differs from different purchasing way or location, please kindly consult your local distributors for specific delivery time.
-
用途:For Research Use Only. Not for use in diagnostic or therapeutic procedures.
相關產品
靶點詳情
-
功能:May cooperate with CD180 and TLR4 to mediate the innate immune response to bacterial lipopolysaccharide (LPS) and cytokine production. Important for efficient CD180 cell surface expression.
-
基因功能參考文獻:
- our results reveal that MD-1 deficiency is of critical importance in down-regulating induction and progression of colitis, thereby suggesting that MD-1 might be a target for future interventional therapies of inflammatory bowel disease. PMID: 27209086
- DNA methylation of the LY86 gene is associated with obesity, insulin resistance, and inflammation. PMID: 24735745
- MD-1 may be a disease susceptibility gene for adult asthma in a Southern Han population in China. PMID: 21426727
- Both mouse and human RP105/MD-1 exhibit dimerization of the 1:1 RP105/MD-1 complex, demonstrating a novel organization. PMID: 21959264
- In this study, we produced variants of MD-1 and MD-2 in Pichia pastoris. Contrary to previous reports, this study suggests that MD-1 can bind to LPS. PMID: 21130168
- in the promoter region we identified 3 SNPs, rs1334710, rs4959389 and rs977785 that are associated with mite-sensitive allergy in Taiwanese children; results suggested that MD-1 could be a susceptible gene for mite-sensitive allergy in Taiwanese children PMID: 18001295
- Identified MD-1 SNP (rs7740529) association with asthma in Taiwanese children and adults. PMID: 19255686
顯示更多
收起更多
-
亞細胞定位:Secreted, extracellular space. Note=Associated with CD180 at the cell surface.
-
組織特異性:Highly expressed in B-cells, monocytes and tonsil.
-
數據庫鏈接:
Most popular with customers
-
-
YWHAB Recombinant Monoclonal Antibody
Applications: ELISA, WB, IHC, IF, FC
Species Reactivity: Human, Mouse, Rat
-
Phospho-YAP1 (S127) Recombinant Monoclonal Antibody
Applications: ELISA, WB, IHC
Species Reactivity: Human
-
-
-
-
-















