LTB4R2 Antibody
-
中文名稱:LTB4R2兔多克隆抗體
-
貨號:CSB-PA074212
-
規格:¥1100
-
圖片:
-
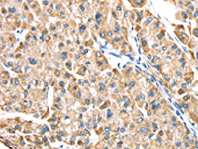
The image on the left is immunohistochemistry of paraffin-embedded Human liver cancer tissue using CSB-PA074212(LTB4R2 Antibody) at dilution 1/20, on the right is treated with synthetic peptide. (Original magnification: ×200)
-
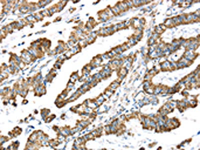
The image on the left is immunohistochemistry of paraffin-embedded Human esophagus cancer tissue using CSB-PA074212(LTB4R2 Antibody) at dilution 1/20, on the right is treated with synthetic peptide. (Original magnification: ×200)
-
-
其他:
產品詳情
-
Uniprot No.:
-
基因名:
-
別名:LTB4R2; BLT2R; BLTR2; Leukotriene B4 receptor 2; LTB4-R 2; LTB4-R2; LTB4 receptor JULF2; Leukotriene B4 receptor BLT2; Seven transmembrane receptor BLTR2
-
宿主:Rabbit
-
反應種屬:Human
-
免疫原:Synthetic peptide of Human LTB4R2
-
免疫原種屬:Homo sapiens (Human)
-
標記方式:Non-conjugated
-
抗體亞型:IgG
-
純化方式:Antigen affinity purification
-
濃度:It differs from different batches. Please contact us to confirm it.
-
保存緩沖液:-20°C, pH7.4 PBS, 0.05% NaN3, 40% Glycerol
-
產品提供形式:Liquid
-
應用范圍:ELISA,IHC
-
推薦稀釋比:
Application Recommended Dilution ELISA 1:2000-1:5000 IHC 1:20-1:100 -
Protocols:
-
儲存條件:Upon receipt, store at -20°C or -80°C. Avoid repeated freeze.
-
貨期:Basically, we can dispatch the products out in 1-3 working days after receiving your orders. Delivery time maybe differs from different purchasing way or location, please kindly consult your local distributors for specific delivery time.
-
用途:For Research Use Only. Not for use in diagnostic or therapeutic procedures.
相關產品
靶點詳情
-
功能:Low-affinity receptor for leukotrienes including leukotriene B4. Mediates chemotaxis of granulocytes and macrophages. The response is mediated via G-proteins that activate a phosphatidylinositol-calcium second messenger system. The rank order of affinities for the leukotrienes is LTB4 > 12-epi-LTB4 > LTB5 > LTB3.
-
基因功能參考文獻:
- In a group of 545 breast cancer patients with metastasis, authors observed that the high-BLT2 subgroup had a lower disease-free-survival rate than the low-BLT2 subgroup. PMID: 29898809
- BLT2 gene polymorphism (D196G) enhances ligand sensitivity, thereby increasing cell motility in response to low-dose ligand stimulation. PMID: 29170475
- Leukotriene B4 receptor type 2 protects against pneumolysin-dependent acute lung injury. PMID: 27703200
- BLT2 ligation facilitates F-actin assembly with the upregulated phosphorylation of MYPT1. PMID: 26896822
- Supernatants and lipids from stored red blood cells activate pulmonary microvascular endothelium through the BLT2 receptor PMID: 28880373
- RanBPM acts as a negative regulator of BLT2 and IL8, thus attenuating the invasiveness of aggressive breast cancer cells PMID: 28027932
- BLT2 inhibition induces apoptosis, inhibits proliferation, colony formation and self-renewal capacity of CD34(+) cells from tyrosine kinase inhibitor - resistant blast phase-chronic myeloid leukemia patients. PMID: 26966074
- Data show that signal transducer and activator of transcription-3 (STAT-3) activation occurs downstream of leukotriene B4 receptor-2 (BLT2) and mediates cisplatin resistance in SK-OV-3 cells. PMID: 26597704
- Authors demonstrated that MyD88 lies upstream of BLT2 in LPS-potentiated invasiveness and that this 'MyD88-BLT2' cascade mediates activation of NF-kappaB and the synthesis of IL-6 and IL-8 critical for the invasiveness and aggression of breast cancer cells. PMID: 25691060
- BLT1 and BLT2 are therefore potential targets for the development of novel drugs. PMID: 25480980
- searched BLT2 downstream components and identified reactive oxygen species and nuclear factor kappaB as critical components that contribute to epithelial-mesenchymal transition in mammary epithelial cells PMID: 24990945
- BLT2-NOX-ROS-NF-kappaB cascade induction during detachment confers a novel mechanism of anoikis resistance in prostate cancer cells and potentially contributes to prostate cancer progression. PMID: 23986446
- RanBPM acts as a negative regulator of BLT2 signaling to attenuate BLT2-mediated cell motility PMID: 23928309
- Findings indicate that BLT2 has a protective role in allergic airway inflammation and that diminished BLT2 expression in CD4(+) T cells may contribute to the pathophysiology of asthma. PMID: 23603839
- BLT2 is a novel therapeutic target that sensitises drug-resistant breast cancer cells to paclitaxel. PMID: 23799854
- Findings suggest that, in bronchial epithelial cells, cigarette smoke extracts (CSE) promote induction of pro-inflammatory BLT2 receptors and activate mechanisms leading to increased neutrophil adhesion. PMID: 23347335
- our study demonstrates that a BLT2 up-regulates IL-8 production , thereby contributing to the invasiveness of these aggressive breast cancer cells. PMID: 23145117
- LTB4R2 shows splice variation in the 5'-untranslated region and multiple promoter regions. LTB4R2 polymorphisms do not appear to be susceptibility markers for the development of asthma in Caucasian subjects. PMID: 23167751
- The results suggested that LTB4 receptors BLT1 and BLT2 are involved in IL-8 production in and secretion by human neutrophils induced by T. vaginalis. PMID: 22215047
- Leukotriene B4 receptor-2 promotes invasiveness and metastasis of ovarian cancer cells through signal transducer and activator of transcription 3 (STAT3)-dependent up-regulation of matrix metalloproteinase 2 PMID: 22396544
- these findings point to BLT2 as a key regulator of AR expression and will contribute to the development of novel therapies for AR-positive prostate cancers, including androgen-responsive and castration-resistant prostate cancers. PMID: 22426480
- BLT2 phosphorylation at Thr355 by Akt is necessary for BLT2-mediated chemotaxis PMID: 22044535
- Up-regulation of BLT2 is associated with bladder cancer. PMID: 21252614
- BLT2-Nox1-reactive oxygen species-dependent pathway plays a role in promoting the secretion of IL-8 from human mast cells in response to the proinflammatory cytokine IL-1beta, thus contributing to angiogenesis. PMID: 20194723
- a "BLT2-Nox1"-linked pathway has a crucial role in UVB-induced ROS generation and mediates apoptosis in human keratinocytes PMID: 20090768
- the 'BLT2-Nox1-ROS'-linked cascade is involved in the pro-survival signaling, especially in ER-negative breast cancer cells. PMID: 19748928
- BLT2 stimulates the purified G alpha(i2) beta(1) gamma(2) protein more efficiently than the dimer; assembly of two BLT2 protomers into a dimer results in the reduced ability to signal PMID: 20026606
- BLT2 plays a pivotal, mediatory role in the pathogenesis of asthma, acting through a "reactive oxygen species-NF-kappaB"-linked inflammatory signaling pathway. PMID: 19448154
- BLT2 is a low-affinity leucotriene B4 receptor; 358 amino acid sequence is 92.7% identical to the mouse receptor PMID: 12895595
- BLT2 (the low-affinity receptor for LTB4) showed stronger expression than BLT1 (the high-affinity receptor) in actively inflamed synovial tissue from patients with rheumatoid arthritis PMID: 12913925
- LTB4-BLT2-linked cascade plays a crucial mediatory role in the cell transformation induced by oncogenic Ha-Ras(V12), possibly acting downstream of Rac-cPLA2 PMID: 15489890
- Data indicate that expression of functional leukotriene B4 receptors (BLT1 and 2) may occur at the surface of endothelial cells in response to lipopolysaccharides, cytokines, and LTB4. PMID: 16624877
- demonstrates expression of functional Leukotriene B4 receptors, both BLT1 and BLT2, in murine and human mast cells and a regulatory role for stem cell factor in their expression PMID: 16920986
- BLT2-Nox1-linked cascade is responsible for the elevated ROS generation in Ras-transformed cells. PMID: 18082638
- Genetic variation in leukotriene pathway members and their receptors confer an increased risk of ischemic stroke in 2 independent populations PMID: 18323512
- BLT2 was expressed in 45% of ovarian neoplasms and correlated with advanced stage III/IV disease, suboptimal debulking, and platinum resistance. PMID: 18421027
- Upregulation of BLT2 is already evident in precursor lesions (PanINs, IPMNs). Overexpression of this receptor leads to significant growth stimulation PMID: 18781173
- LTB4 phosphorylates MAPKs and stimulates NF-kappaB-dependent inflammation via BLT1 and BLT2 receptors in cultured monocytic cells. The blockade of this pathway could be a novel and potential therapeutic target in atherothrombosis. PMID: 18852255
- the response of the pleural mesothelium to LTB4 is the result of a balance between the activation of receptors for LTB4 with a proinflammatory outcome (BLT2) and the activation of a different receptor for LTB4 with an anti-inflammatory outcome (PPAR). PMID: 18981151
- results suggest that the helix 8 region of hBLT2 plays an important role in transport-competent receptor folding. PMID: 19126593
- Findings indicate that BLT2 plays an essential role in mediating VEGF-induced angiogenesis. PMID: 19286633
顯示更多
收起更多
-
亞細胞定位:Cell membrane; Multi-pass membrane protein.
-
蛋白家族:G-protein coupled receptor 1 family
-
組織特異性:Widely expressed.
-
數據庫鏈接:
Most popular with customers
-
-
YWHAB Recombinant Monoclonal Antibody
Applications: ELISA, WB, IHC, IF, FC
Species Reactivity: Human, Mouse, Rat
-
Phospho-YAP1 (S127) Recombinant Monoclonal Antibody
Applications: ELISA, WB, IHC
Species Reactivity: Human
-
-
-
-
-















