LTA Antibody
-
中文名稱:LTA兔多克隆抗體
-
貨號:CSB-PA863040
-
規格:¥1100
-
圖片:
-
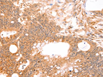
The image on the left is immunohistochemistry of paraffin-embedded Human colon cancer tissue using CSB-PA863040(LTA Antibody) at dilution 1/50, on the right is treated with fusion protein. (Original magnification: ×200)
-
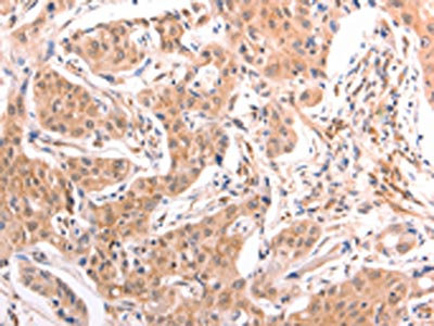
The image on the left is immunohistochemistry of paraffin-embedded Human lung cancer tissue using CSB-PA863040(LTA Antibody) at dilution 1/50, on the right is treated with fusion protein. (Original magnification: ×200)
-
-
其他:
產品詳情
-
Uniprot No.:
-
基因名:
-
別名:LTalpha antibody; DAMA-25N12.13-004 antibody; DIF antibody; LT alpha antibody; LT antibody; LT-alpha antibody; Lta antibody; Lymphotoxin alpha (TNF superfamily, member 1) antibody; Lymphotoxin alpha antibody; Lymphotoxin-alpha antibody; MGC117668 antibody; OTTHUMP00000037612 antibody; OTTHUMP00000037613 antibody; TNF B antibody; TNF superfamily member 1 antibody; TNF, lymphocyte-derived antibody; TNF-beta antibody; TNFB antibody; TNFB_HUMAN antibody; TNFbeta antibody; TNFSF 1 antibody; TNFSF1 antibody; TNLG1E antibody; Tumor necrosis factor beta antibody; tumor necrosis factor ligand 1E antibody; Tumor necrosis factor ligand superfamily member 1 antibody; tumor necrosis factor superfamily member 1 antibody
-
宿主:Rabbit
-
反應種屬:Human
-
免疫原:Fusion protein of Human LTA
-
免疫原種屬:Homo sapiens (Human)
-
標記方式:Non-conjugated
-
抗體亞型:IgG
-
純化方式:Antigen affinity purification
-
濃度:It differs from different batches. Please contact us to confirm it.
-
保存緩沖液:-20°C, pH7.4 PBS, 0.05% NaN3, 40% Glycerol
-
產品提供形式:Liquid
-
應用范圍:ELISA,IHC
-
推薦稀釋比:
Application Recommended Dilution ELISA 1:2000-1:10000 IHC 1:50-1:200 -
Protocols:
-
儲存條件:Upon receipt, store at -20°C or -80°C. Avoid repeated freeze.
-
貨期:Basically, we can dispatch the products out in 1-3 working days after receiving your orders. Delivery time maybe differs from different purchasing way or location, please kindly consult your local distributors for specific delivery time.
-
用途:For Research Use Only. Not for use in diagnostic or therapeutic procedures.
相關產品
靶點詳情
-
功能:Cytokine that in its homotrimeric form binds to TNFRSF1A/TNFR1, TNFRSF1B/TNFBR and TNFRSF14/HVEM. In its heterotrimeric form with LTB binds to TNFRSF3/LTBR. Lymphotoxin is produced by lymphocytes and is cytotoxic for a wide range of tumor cells in vitro and in vivo.
-
基因功能參考文獻:
- The LTA were significantly increased in SZ patients, but no significant difference in the mRNA levels of LTA was observed between SZ patients and NC subjects. PMID: 28476335
- There are independent and additive interactions between LTalpha +252 G/G genotype, chronic viral hepatitis, and habits of substance use on risk of hepatocellular carcinoma. PMID: 28738973
- Independent and additive interaction between polymorphisms of TNFalpha -308 and lymphotoxin alpha +252 on risk of hepatocellular carcinoma related to hepatitis B has been reported. PMID: 28865603
- The C allele for rs1042522 in p53 was genetically associated with a higher risk for RD but not for PVR in this cohort. This is the first association study attempting replication of PVR-associated risk alleles in a nonwhite population. PMID: 28106707
- The results of this study showed that neither -252 G/A nor -804 C/A polymorphism of the LTA gene was found to be associated with overall stroke as well as any subtype of IS excluding SVD in North Indian population. PMID: 26707826
- this study found an association between the single nucleotide polymorphism LTA +252 with the development of sepsis in Colombian patients PMID: 27592234
- Fequencies of polymorphic allele and genotypes for the lymphotoxin-alpha gene, position +252 (rs909253), in Brazilian women with preeclampsia PMID: 26561241
- The allelic frequencies of LTA SNPs were found to be significantly associated with the risk of oral cancer and precancerous lesions PMID: 27312561
- rs909253 in LTA was identified to be significantly associated with ankylosing spondylitis susceptibility in this study population, but no significant association was found between ankylosing spondylitis risk and LTA rs2239704 or rs2229094 PMID: 28489756
- study showed that heterozygous variant (AG) genotype of TNF-beta was associated with persistent primary immune thrombocytopenia, when compared with controls PMID: 26761582
- a positive correlation of HLA-DRB1*12 and a negative correlation of HLA-DRB1*13 with younger patientsTNFb4 allele's negative association with older patients displaying higher PSA levels, higher GS and positive surrounding tissue involvement; positive association of TNFb5 allele for both older and younger patients PMID: 27102235
- the present study suggests LTa +252G as a risk alleles for disease susceptibility associated with higher serum levels of LTa and concomitant discrete clinical features among Indian systemic lupus erythematosus patients in India PMID: 27838362
- this study shows that TNF-b is elevated in wound exudates of patients with hidradenitis suppurativa PMID: 27819528
- LTA -804C/A gene polymorphism is not found to be associated with the susceptibility of ischemic stroke in both Asian as well as in Caucasian population. PMID: 27411794
- After multivariable analysis TNF-alpha polymorphism showed no consistent association with leukemia. CONCLUSIONS: This meta-analysis suggests that the LT-alpha +252 AA polymorphism is associated with the risk of leukemia PMID: 27647233
- Tumor Necrosis Factor and Lymphotoxin in Regulation of Intestinal Inflammation. PMID: 27914457
- joint effects of these CRP, TNF-alpha, and LTA risk alleles with physical inactivity in elders were observed, suggesting that physical activity may modulate effects of genotypes on handgrip strength. PMID: 27056089
- No association was found between two promoter variants of TNF and LTA, and diabetic retinopathy in a large cohort of Caucasian patients with type 1 diabetes and type 2 diabetes PMID: 26821796
- Polymorphism +252 LT gene did not show any significant association with COPD. PMID: 26932696
- TNFB+252G/A was associated with presence of immune thrombocytopenia. PMID: 26076780
- LTalpha plays a role in malignant angiogenesis and disease progression in Cutaneous T cell lymphoma and may serve as a therapeutic target in this disease. PMID: 25915535
- LTA polymorphism is associated with genetic susceptibility of systemic lupus in Asians, but not in rheumatoid arthritis. PMID: 25931031
- Studied the association between immuno-modulatory gene polymorphisms (including LTA) and risk for nasal NK/T-cell lymphoma in a Chinese population. Found The LTA +252 GA + AA genotypes were associated with increased risk for NK/T-cell lymphoma. PMID: 26108796
- TNF-beta NcoI polymorphism, by itself, was not associated with increased stroke susceptibility. But the homozygous genotype for the allele TNFB2 was associated with higher expression of classical inflammatory and metabolic markers of stroke. PMID: 25063351
- These results support an association between ANKK1 and LTA genetic markers and vulnerability to schizophrenia and show the potential influence of just one copy of the mutant C or G allele in the Egyptian population. PMID: 26114114
- Studied six SNP loci: (rs2279115 of BCL2 gene, rs804270 of NEIL2 gene, rs909253 of LTA gene, rs2294008 of PSCA gene, rs3765524 and rs10509670 of PLCE1 gene) to evaluate gastric cancer risk using magnetic nanoparticles and universal tagged arrays. PMID: 26554163
- TNF-alpha (-308G/A), TNF-beta (+252A/G) and IL-10 (-1082G/A, -819C/T and -592C/A) polymorphisms are associated with the susceptibility of oral lichen planus. PMID: 26221924
- Elite controllers of HIV infection present marginal zone-like B-cell populations which IL-10 and LT-alpha expression profiles may favour homeostasis of immune responses and lymphoid microenvironments. PMID: 25003989
- Biotin-pulldown assay showed that HuR specifically interacts with the 3'-untranslated region (3'-UTR) of the LTalpha mRNA PMID: 25980610
- The AA genotype of LT-alpha + 252 was significantly associated with shortened overall or leukemia-free survival in patients with myelodysplastic syndrome with excess blasts. PMID: 23931336
- MTHFR, TGFbeta1, and TNFB polymorphisms are not significantly associated with the risk of osteoporosis in rheumatoid arthritis. PMID: 25981594
- statistical evidence for the interactions between 1) TNF/LTA SNP rs2229094 and depression symptoms for average pain intensity and duration and 2) IL1B two SNP diplotype and kinesiophobia for average shoulder pain intensity PMID: 24598699
- The TNFB2/B2 genotype of TNF-beta NcoI polymorphism was associated with increased inflammatory and metabolic markers and this association was different according to sex of MS patients. PMID: 25173940
- Review/Meta-analysis: Suggest lymphotoxin-alpha +252A/G gene polymorphism is a risk factor for NHL in North Americans, and this polymorphism may contribute to diffuse large B cell lymphoma susceptibility. PMID: 24610621
- Combinations of cytokine gene network polymorphic markers as potential predictors of myocardial infarction PMID: 25735143
- The findings appear to support the hypothesis that genetic variability of 252A>G polymorphism in TNF-beta region may modulate risk of migraine in the population of Asian ancestry. PMID: 24959879
- Studies indicate that tumor necrosis factors TNF-alpha/TNF-beta and their receptor TNFR1 and TNFR2 play a regulatory role of different immune cells. PMID: 24896334
- This indicates an association between polymorphism of the TNF-beta gene and post-operative sepsis, suggesting the TNFB2/B2 genotype as a high-risk factor for the development of sepsis after elective surgery. PMID: 24796628
- IL-6-174 SNP is rare or not seen in the Han population in Guangzhou, so SNP at this locus cannot be selected for disease association analysis. PMID: 25140780
- Our findings suggest that Hodgkin and Reed Sternberg cell-derived LTalpha is an important mediator that contributes to T cell recruitment into lesional lymph nodes in Hodgkin lymphoma. PMID: 25139349
- TNFB2 allele was associated with the presence of multiple sclerosis independently of HLA-DRB1 in white patients and the TNFB2/B2 genotype was associated with increased TNF-alpha levels in white and brown patients. PMID: 24696164
- TNFB +252A/G and exon 3 C/A polymorphisms are associated with vitiligo susceptibility PMID: 24312346
- A significant association was detected between LT-alpha +249A/G and increased risk of diabetes, in particular for young-onset patients PMID: 24233435
- TNF and LTA genetic polymorphisms contribute to SLE susceptibility in the Egyptian population and are associated with disease characteristics. PMID: 24420856
- Polymorphisms of the LTA gene can probably be used with other genetic markers together to identify individuals at high susceptibility to myocardial infarction. PMID: 24642747
- These results suggest for the first time that TNF-beta is involved in microenvironment inflammation in chondrocytes during rheumatoid arthritis PMID: 24283517
- our meta-analyses suggested that the LTA rs1041981, rs2239704 and rs2229094 polymorphisms contributed to the increased risk of cancers. PMID: 24349304
- This study provides evidence for rs1799724 at the LTA/TNFalpha locus as a susceptibility factor for idiopathic achalasia. PMID: 24259423
- TNF-alpha -308 A/G and LT-alpha +252 A/G polymorphisms are associated with susceptibility to sarcoidosis in an European population.[META-ANALYSIS] PMID: 24197700
- The TNF-beta gene A252G polymorphism might be a potential risk factor for the development of sarcoidosis. (Meta-analysis) PMID: 24244632
顯示更多
收起更多
-
相關疾病:Psoriatic arthritis (PSORAS)
-
亞細胞定位:Secreted. Membrane. Note=The homotrimer is secreted. The heterotrimer is membrane-associated.
-
蛋白家族:Tumor necrosis factor family
-
數據庫鏈接:
Most popular with customers
-
-
YWHAB Recombinant Monoclonal Antibody
Applications: ELISA, WB, IHC, IF, FC
Species Reactivity: Human, Mouse, Rat
-
Phospho-YAP1 (S127) Recombinant Monoclonal Antibody
Applications: ELISA, WB, IHC
Species Reactivity: Human
-
-
-
-
-















