LRRC8E Antibody
-
中文名稱:LRRC8E兔多克隆抗體
-
貨號:CSB-PA743982LA01HU
-
規格:¥440
-
圖片:
-
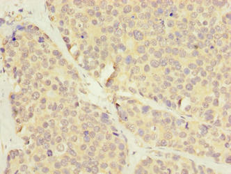
Immunohistochemistry of paraffin-embedded human gastric cancer using CSB-PA743982LA01HU at dilution of 1:100
-
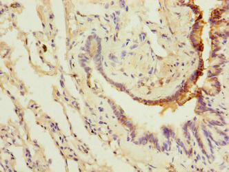
Immunohistochemistry of paraffin-embedded human lung tissue using CSB-PA743982LA01HU at dilution of 1:100
-
Immunofluorescent analysis of HepG2 cells using CSB-PA743982LA01HU at dilution of 1:100 and Alexa Fluor 488-congugated AffiniPure Goat Anti-Rabbit IgG(H+L)
-
-
其他:
產品詳情
-
產品名稱:Rabbit anti-Homo sapiens (Human) LRRC8E Polyclonal antibody
-
Uniprot No.:
-
基因名:LRRC8E
-
別名:LRRC8E; Volume-regulated anion channel subunit LRRC8E; Leucine-rich repeat-containing protein 8E
-
宿主:Rabbit
-
反應種屬:Human
-
免疫原:Recombinant Human Volume-regulated anion channel subunit LRRC8E protein (353-630AA)
-
免疫原種屬:Homo sapiens (Human)
-
標記方式:Non-conjugated
本頁面中的產品,LRRC8E Antibody (CSB-PA743982LA01HU),的標記方式是Non-conjugated。對于LRRC8E Antibody,我們還提供其他標記。見下表:
-
克隆類型:Polyclonal
-
抗體亞型:IgG
-
純化方式:>95%, Protein G purified
-
濃度:It differs from different batches. Please contact us to confirm it.
-
保存緩沖液:Preservative: 0.03% Proclin 300
Constituents: 50% Glycerol, 0.01M PBS, PH 7.4 -
產品提供形式:Liquid
-
應用范圍:ELISA, IHC, IF
-
推薦稀釋比:
Application Recommended Dilution IHC 1:20-1:200 IF 1:50-1:200 -
Protocols:
-
儲存條件:Upon receipt, store at -20°C or -80°C. Avoid repeated freeze.
-
貨期:Basically, we can dispatch the products out in 1-3 working days after receiving your orders. Delivery time maybe differs from different purchasing way or location, please kindly consult your local distributors for specific delivery time.
-
用途:For Research Use Only. Not for use in diagnostic or therapeutic procedures.
相關產品
靶點詳情
-
功能:Non-essential component of the volume-regulated anion channel (VRAC, also named VSOAC channel), an anion channel required to maintain a constant cell volume in response to extracellular or intracellular osmotic changes. The VRAC channel conducts iodide better than chloride and can also conduct organic osmolytes like taurine. Mediates efflux of amino acids, such as aspartate, in response to osmotic stress. The VRAC channel also mediates transport of immunoreactive cyclic dinucleotide GMP-AMP (2'-3'-cGAMP), an immune messenger produced in response to DNA virus in the cytosol. Channel activity requires LRRC8A plus at least one other family member (LRRC8B, LRRC8C, LRRC8D or LRRC8E); channel characteristics depend on the precise subunit composition. Also plays a role in lysosome homeostasis by forming functional lysosomal VRAC channels in response to low cytoplasmic ionic strength condition: lysosomal VRAC channels are necessary for the formation of large lysosome-derived vacuoles, which store and then expel excess water to maintain cytosolic water homeostasis.
-
亞細胞定位:Cell membrane; Multi-pass membrane protein. Endoplasmic reticulum membrane. Lysosome membrane; Multi-pass membrane protein. Endoplasmic reticulum membrane; Multi-pass membrane protein.
-
蛋白家族:LRRC8 family
-
數據庫鏈接:
Most popular with customers
-
-
YWHAB Recombinant Monoclonal Antibody
Applications: ELISA, WB, IHC, IF, FC
Species Reactivity: Human, Mouse, Rat
-
Phospho-YAP1 (S127) Recombinant Monoclonal Antibody
Applications: ELISA, WB, IHC
Species Reactivity: Human
-
-
-
-
-















