LRP1 Antibody
-
中文名稱:LRP1兔多克隆抗體
-
貨號:CSB-PA249658
-
規格:¥1100
-
圖片:
-
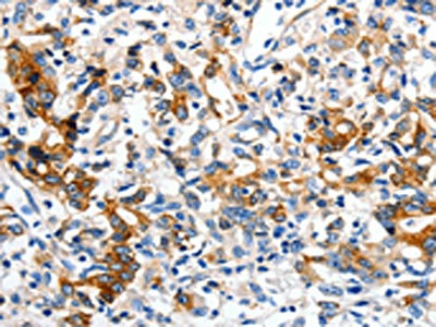
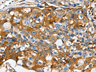
The image on the left is immunohistochemistry of paraffin-embedded Human breast cancer tissue using CSB-PA249658(LRP1 Antibody) at dilution 1/50, on the right is treated with synthetic peptide. (Original magnification: ×200)
-
The image on the left is immunohistochemistry of paraffin-embedded Human gastric cancer tissue using CSB-PA249658(LRP1 Antibody) at dilution 1/50, on the right is treated with synthetic peptide. (Original magnification: ×200)
-
Gel: 12%SDS-PAGE, Lysate: 40 μg, Lane: Human brain malignant glioma tissue, Primary antibody: CSB-PA249658(LRP1 Antibody) at dilution 1/650, Secondary antibody: Goat anti rabbit IgG at 1/8000 dilution, Exposure time: 40 seconds
-
-
其他:
產品詳情
-
Uniprot No.:
-
基因名:
-
別名:A2MR antibody; Alpha 2 macroglobulin receptor antibody; alpha 2MR antibody; Alpha-2-macroglobulin receptor antibody; APOER antibody; Apolipoprotein E receptor antibody; APR antibody; CD 91 antibody; CD91 antibody; CD91 antigen antibody; IGFBP3R antibody; LDL receptor related protein 1 antibody; Low density lipoprotein receptor related protein 1 antibody; Low density lipoprotein related protein 1 antibody; Low-density lipoprotein receptor-related protein 1 intracellular domain antibody; LRP 1 antibody; LRP 515 antibody; LRP 85 antibody; LRP antibody; LRP ICD antibody; LRP-1 antibody; LRP-515 antibody; LRP-85 antibody; Lrp1 antibody; LRP1 protein antibody; LRP1_HUMAN antibody; LRP1A antibody; LRP515 antibody; LRP85 antibody; LRPICD antibody; MGC88725 antibody; Prolow density lipoprotein receptor related protein 1 antibody; TbetaR V/LRP 1/IGFBP 3 receptor antibody; TbetaRV/LRP1/IGFBP3 receptor antibody; TGFBR 5 antibody; TGFBR5 antibody; Type V tgf beta receptor antibody
-
宿主:Rabbit
-
反應種屬:Human
-
免疫原:Synthetic peptide of Human LRP1
-
免疫原種屬:Homo sapiens (Human)
-
標記方式:Non-conjugated
-
抗體亞型:IgG
-
純化方式:Antigen affinity purification
-
濃度:It differs from different batches. Please contact us to confirm it.
-
保存緩沖液:-20°C, pH7.4 PBS, 0.05% NaN3, 40% Glycerol
-
產品提供形式:Liquid
-
應用范圍:ELISA,WB,IHC
-
推薦稀釋比:
Application Recommended Dilution ELISA 1:1000-1:5000 WB 1:500-1:2000 IHC 1:25-1:100 -
Protocols:
-
儲存條件:Upon receipt, store at -20°C or -80°C. Avoid repeated freeze.
-
貨期:Basically, we can dispatch the products out in 1-3 working days after receiving your orders. Delivery time maybe differs from different purchasing way or location, please kindly consult your local distributors for specific delivery time.
-
用途:For Research Use Only. Not for use in diagnostic or therapeutic procedures.
相關產品
靶點詳情
-
功能:Endocytic receptor involved in endocytosis and in phagocytosis of apoptotic cells. Required for early embryonic development. Involved in cellular lipid homeostasis. Involved in the plasma clearance of chylomicron remnants and activated LRPAP1 (alpha 2-macroglobulin), as well as the local metabolism of complexes between plasminogen activators and their endogenous inhibitors. Acts as an LRPAP1 alpha-2-macroglobulin receptor. Acts as TAU/MAPT receptor and controls the endocytosis of TAU/MAPT as well as its subsequent spread. May modulate cellular events, such as APP metabolism, kinase-dependent intracellular signaling, neuronal calcium signaling as well as neurotransmission.; (Microbial infection) Functions as a receptor for Pseudomonas aeruginosa exotoxin A.
-
基因功能參考文獻:
- Association of low-density lipoprotein receptor-related protein 1 rs11613352 and angiopoietin-like 3 rs2131925 with hypertension might imply a direct effect at the artery wall. PMID: 29989339
- The results presented in this study raise the hypothesis that higher production of LRP1 protein may be associated with higher endocytosis of upregulated transporter proteins at the cell surface, and hence, increased dox and emodin accumulation and growth inhibition. If so, elevation of LRP1 expression may be a useful target for interventions to promote the efficacy of these and other anticancer drugs. PMID: 29644529
- This study is the first to determine that the sLR11 gene rs3824968 polymorphic of factor T may increase the risk of carotid atherosclerosis in Type 2 Diabetes Mellitus patients by regulating the concentration of LDL-C in Korean and Han nationalities in China PMID: 29865095
- A common polymorphism decreases LRP1 mRNA stability and is associated with increased plasma factor VIII levels. PMID: 28431990
- circulating sLRP1 is a novel surrogate biomarker of EAT volume in T1DM patients. PMID: 29348672
- Data show that amyloid precursor protein (APP) dimerization affects its interaction with LDL receptor related protein 1 (LRP1) and LDL-receptor related protein SorLA (SorLA), suggesting that APP dimerization modulates its interplay with sorting molecules and in turn its localization and processing. PMID: 28799085
- LRP1 mediates cell adhesion by orchestrating a multi-protein pathway to activate, traffic and degrade integrins. Thus, LRP1 may serve as a focal point in the integrin quality control system to ensure a firm connection to the extracellular matrix. PMID: 29116364
- This study defines LRP1 as a regulator of CXCR3, which may have important consequences for tumor biology. PMID: 29146996
- The C4408R mutant located at the APP695 alpha-secretase cleavage site of LRP1, when expressed in CHO cells expressing APPswe or wild-type APP (APPwt), co-expression of LRP1-CT C4408R decreases Abeta and increases sAPPalpha and alpha-CTF compared with co-expression of wild-type LRP1-CT. LRP1-CT C4408R enhanced the unglycosylated form of LRP1-CT and reduced APP endocytosis. PMID: 28612181
- In cerebral blood vessels, LRP1 is an important mediator for the rapid removal of ABETA from brain via transport across the blood-brain barrier. This work summarizes recent findings on LRP1 function and discuss the targeting of LRP1 as a modulator for Alzheimer's Disease pathology and drug delivery into the brain. [review] PMID: 28948494
- Extracellular vesicles do not contribute to higher circulating levels of soluble LRP1 in idiopathic dilated cardiomyopathy. PMID: 28557183
- LRP-1 silencing leads to a decrease of cell migratory capacity in a 3D configuration. PMID: 27463962
- LRP1 has a role in insulin signaling and is a potential role as a link between lipoprotein and glucose metabolism in diabetes [review] PMID: 28584820
- Results indicate that holo-Lf, but not apo-Lf, increases TE expression through LRP-1 in human dermal fibroblasts and suggest that holo-Lf and TGF-beta1 enhance TE expression by activating the PI3K/Akt1 and PI3K/Akt2 pathways, respectively. PMID: 28833753
- Development of a monoclonal anti-ADAMTS-5 antibody that specifically blocks the interaction with LRP1. PMID: 28306378
- MMP-13 may play a role on physiological turnover of cartilage extracellular matrix and that LRP1 is a key modulator of extracellular levels of MMP-13 and its internalization is independent of the levels of ADAMTS-4, -5 and TIMP-3. PMID: 27084377
- Dissecting the interaction between TIMP3 and LRP1 using a synthetic analog of the LRP1 receptor has been reported. PMID: 27476612
- FVIIa-antithrombin but not FVIIa is a ligand for LRP1, and LRP1 contributes to the clearance of FVIIa-antithrombin in vivo PMID: 27614059
- Activated alpha2 -Macroglobulin Induces Mesenchymal Cellular Migration Of Raw264.7 Cells Through Low-Density Lipoprotein Receptor-Related Protein 1 PMID: 28012205
- Study demonstrated that LRP1 expression is significantly upregulated by myeloid cells in active multiple sclerosis lesions in comparison to the surrounding healthy tissue. Results suggest that the function of LRP1 in microglia is to keep these cells in an anti-inflammatory and neuroprotective status during inflammatory insult. PMID: 27400748
- Poor LRP1 expression in T cells depends on shedding. Integrin ligands and CXCL12 antagonize shedding through a TSP-1-dependent pathway and ligation of CD28 antagonizes shedding independent of TSP-1. PMID: 28580688
- Altered Met receptor phosphorylation and LRP1-mediated uptake in cells lacking carbohydrate-dependent lysosomal targeting PMID: 28724630
- LRP1 single-nucleotide polymorphism is associated with migraine. PMID: 27322543
- Electrostatic potential calculations suggested a competition between negatively charged GAGs and highly negatively charged complement-like domains of LRP-1 for the binding to a positively charged area of TIMP-3 as an underlying mechanism. PMID: 27610455
- findings revealed a pH-dependent release of the ligand associated with a conformational change of the receptor. In summary, this investigation of the complete LRP1 ectodomain significantly advances our understanding of this important receptor and provides the basis for further elucidating the mechanism of action of LRP1 in a whole and integrated system. PMID: 27956551
- although fVIII bound avidly to soluble forms of clusters II and IV from LRP1, only soluble cluster IV competed with the binding of fVIII to full-length LRP1, revealing that cluster IV represents the major fVIII binding site in LRP1. PMID: 27794518
- LRP1 protein expression in human abdominal aortic aneurysm tissues may be down-regulated by miR-205 through translational inhibition, resulting in a reduced clearance of pericellular MMP-9, promoting aneurysm formation. PMID: 26781079
- data also reveal that D1D2 is able to bind to a second distinct site on LRP1 to form a monovalent complex. The studies confirm the canonical model for ligand recognition by this class of receptors, which is initiated by pairs of lysine residues that dock into acidic pockets on the receptor PMID: 27402839
- results indicate that genetic variations in LRP1 and ULK4 contribute to risk for presenting with an acute aortic dissection PMID: 27569546
- Considering that LRP-1, by mediating the clearance of matrix metalloproteinases, is involved in the regulation of extracellular matrix remodeling and cell migration, we conclude that a decreased expression of LRP-1 could be involved with the increasing activity of MMPs shown in cancers. PMID: 27931798
- These data suggest that the Rho/ROCK signaling pathway is involved in HIV-1 Tat-mediated changes in occludin, RAGE, and LRP1 in human cerebral microvascular endothelial cells cells. PMID: 27563375
- Studies demonstrate a role for ADAM10 in the ectodomain shedding of LRP1 in the brain and the clearance of Abeta across the blood-brain barrier, which may provide a novel strategy for attenuating Abeta accumulation in the AD brain PMID: 27503326
- Results provide evidence that TTR acts as a carrier of Abeta at the blood-brain-barrier and liver, using LRP1. PMID: 26837706
- Studies show the ability of LRP1 to promote endocytosis and deliver cell signaling suggesting multiple roles in tumorigenesis and tumor progression. In addition, LRP1 has dual effects on tumor cell invasion and migration. Moreover, LRP1 can be regulated via methylation of its CpG islands. [review] PMID: 26738504
- Study demonstrated that 1,25(OH)2D3, the active form of vitamin D, plays an important role in increasing Abeta1-40 vectorial transport from the brain to blood and systemic clearance from peripheral circulation through increasing LRP1 levels both in vivo and in vitro, and reducing RAGE level in the blood-brain barrier model in vitro PMID: 26820600
- Circulating soluble LRP1 concentrations were associated with the occurrence of carotid atherosclerosis in a hypercholesterolemia population. PMID: 26285183
- LRP1 as a pathogenic gene for autosomal recessive Keratosis pilaris atrophicans and keratosis pilaris PMID: 26142438
- Suggest role for LRP1/PARP1 signaling in endothelial cell proliferation and retinal neovascularization induced by hypoxia. PMID: 26634655
- it was suggested that a cell surface-expressed beta-galactoside binding protein, galectin-8, was involved in factor V endocytosis. PMID: 25800007
- alpha1-antitrypsin internalization is a clathrin-dependent and low-density lipoprotein receptor-related protein 1-mediated endocytosis process. PMID: 26206901
- LRP1, p38 MAPK and ERK1/2 mediate the internalization of beta-amyloid 1-42 in neurons. PMID: 25936756
- conclusion, C667T polymorphism of LRP-1 is moderately but significantly associated with global and regional amyloid deposition in AD. PMID: 24596678
- LRP1 variants may be associated with risk of ischaemic stroke. PMID: 26031789
- Lrp1-antisense directly binds to high-mobility group box 2 (Hmgb2) and inhibits the activity of Hmgb2 to enhance Srebp1a-dependent transcription of Lrp1. PMID: 25937287
- Statistically significant associations were also found for the PS1 1/2 polymorphism in both the dominant and recessive genetic models, whereas no association was found for the LRP C/T polymorphism PMID: 25730041
- Data suggest that aortic but not circulating LRP1 is downregulated in patients with AAA and indicates a possible role for this protein in clearing an aneurysm-relevant ligand. PMID: 26188720
- Two recurrent fusion genes associated with the 12q locus, LRP1-SNRNP25 and KCNMB4-CCND3, were by RT-PCR, Sanger sequencing and FISH, and were found to be osteosarcoma specific in a validation cohort of 240 other sarcomas. PMID: 25300797
- The interaction between factor VIII and LRP1 occurs over an extended surface containing multiple lysine residues. PMID: 25903134
- domain CR9 appears to be critical for LRP1-mediated AgLDL binding and internalization in hVSMCs. Our results open new avenues for an innovative anti-VSMC foam cell-based strategy for the treatment of vascular lipid deposition in atherosclerosis PMID: 25918169
- rs1466535 LRP1 polymorphism is not a significant and independent risk factor for carotid artery stenosis PMID: 25238221
顯示更多
收起更多
-
相關疾病:Keratosis pilaris atrophicans (KPA)
-
亞細胞定位:[Low-density lipoprotein receptor-related protein 1 85 kDa subunit]: Cell membrane; Single-pass type I membrane protein. Membrane, coated pit.; [Low-density lipoprotein receptor-related protein 1 515 kDa subunit]: Cell membrane; Peripheral membrane protein; Extracellular side. Membrane, coated pit.; [Low-density lipoprotein receptor-related protein 1 intracellular domain]: Cytoplasm. Nucleus.; Golgi outpost. Cytoplasm, cytoskeleton, microtubule organizing center.
-
蛋白家族:LDLR family
-
組織特異性:Most abundant in liver, brain and lung.
-
數據庫鏈接:
Most popular with customers
-
-
YWHAB Recombinant Monoclonal Antibody
Applications: ELISA, WB, IHC, IF, FC
Species Reactivity: Human, Mouse, Rat
-
Phospho-YAP1 (S127) Recombinant Monoclonal Antibody
Applications: ELISA, WB, IHC
Species Reactivity: Human
-
-
-
-
-















