LPAR4 Antibody
-
中文名稱:LPAR4兔多克隆抗體
-
貨號:CSB-PA013050LA01HU
-
規格:¥440
-
圖片:
-
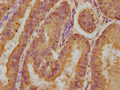
IHC image of CSB-PA013050LA01HU diluted at 1:200 and staining in paraffin-embedded human endometrial cancer performed on a Leica BondTM system. After dewaxing and hydration, antigen retrieval was mediated by high pressure in a citrate buffer (pH 6.0). Section was blocked with 10% normal goat serum 30min at RT. Then primary antibody (1% BSA) was incubated at 4°C overnight. The primary is detected by a biotinylated secondary antibody and visualized using an HRP conjugated SP system.
-
Western blot
All lanes: LPAR4 antibody at 4µg/ml + Mouse kidney tissue
Secondary
Goat polyclonal to rabbit IgG at 1/10000 dilution
Predicted band size: 42 kDa
Observed band size: 42 kDa -
Immunofluorescent analysis of HepG2 cells using CSB-PA013050LA01HU at dilution of 1:100 and Alexa Fluor 488-congugated AffiniPure Goat Anti-Rabbit IgG(H+L)
-
-
其他:
產品詳情
-
產品名稱:Rabbit anti-Homo sapiens (Human) LPAR4 Polyclonal antibody
-
Uniprot No.:
-
基因名:
-
別名:LPAR4; GPR23; LPA4; P2RY9; Lysophosphatidic acid receptor 4; LPA receptor 4; LPA-4; G-protein coupled receptor 23; P2Y purinoceptor 9; P2Y9; P2Y5-like receptor; Purinergic receptor 9
-
宿主:Rabbit
-
反應種屬:Human, Mouse
-
免疫原:Recombinant Human Lysophosphatidic acid receptor 4 protein (1-43AA)
-
免疫原種屬:Homo sapiens (Human)
-
標記方式:Non-conjugated
本頁面中的產品,LPAR4 Antibody (CSB-PA013050LA01HU),的標記方式是Non-conjugated。對于LPAR4 Antibody,我們還提供其他標記。見下表:
-
克隆類型:Polyclonal
-
抗體亞型:IgG
-
純化方式:>95%, Protein G purified
-
濃度:It differs from different batches. Please contact us to confirm it.
-
保存緩沖液:Preservative: 0.03% Proclin 300
Constituents: 50% Glycerol, 0.01M PBS, PH 7.4 -
產品提供形式:Liquid
-
應用范圍:ELISA, WB, IHC, IF
-
推薦稀釋比:
Application Recommended Dilution WB 1:1000-1:5000 IHC 1:200-1:500 IF 1:50-1:200 -
Protocols:
-
儲存條件:Upon receipt, store at -20°C or -80°C. Avoid repeated freeze.
-
貨期:Basically, we can dispatch the products out in 1-3 working days after receiving your orders. Delivery time maybe differs from different purchasing way or location, please kindly consult your local distributors for specific delivery time.
-
用途:For Research Use Only. Not for use in diagnostic or therapeutic procedures.
相關產品
靶點詳情
-
功能:Receptor for lysophosphatidic acid (LPA), a mediator of diverse cellular activities. Transduces a signal by increasing the intracellular calcium ions and by stimulating adenylyl cyclase activity. The rank order of potency for agonists of this receptor is 1-oleoyl- > 1-stearoyl- > 1-palmitoyl- > 1-myristoyl- > 1-alkyl- > 1-alkenyl-LPA.
-
基因功能參考文獻:
- Mutation in LPAR4 gene is associated with papillary thyroid carcinoma. PMID: 26941397
- These results suggest that the diverse roles of LPA4, LPA5 and LPA6 are involved in the activation of tumor progression in pancreatic cancer cells. PMID: 25849892
- Our data suggest that LPA4 signaling potentially modulates malignant behavior of SQ-20B cells. PMID: 23467751
- LPA4 gene mutation may play some role in the pathogenesis of colon cancer. PMID: 20890765
- LPA4 and LPA5 receptors induce osteoblastic differentiation of human mesenchymal stem cells PMID: 20069565
- identified as the fourth lysophosphatidic acid (LPA) receptor; shares only 20-24% amino acid identities with Edg-2/LPA1, Edg-4/LPA2, and Edg-7/LPA3, and phylogenetic analysis also shows that p2y9/GPR23 is far distant from the Edg family PMID: 12724320
顯示更多
收起更多
-
亞細胞定位:Cell membrane; Multi-pass membrane protein.
-
蛋白家族:G-protein coupled receptor 1 family
-
組織特異性:High expression in ovary. Not detected in the brain regions thalamus, putamen, caudate, frontal cortex, pons, hypothalamus and hippocampus.
-
數據庫鏈接:
Most popular with customers
-
-
YWHAB Recombinant Monoclonal Antibody
Applications: ELISA, WB, IHC, IF, FC
Species Reactivity: Human, Mouse, Rat
-
Phospho-YAP1 (S127) Recombinant Monoclonal Antibody
Applications: ELISA, WB, IHC
Species Reactivity: Human
-
-
-
-
-















