LOX Antibody
-
中文名稱:LOX兔多克隆抗體
-
貨號:CSB-PA061510
-
規格:¥1100
-
圖片:
-
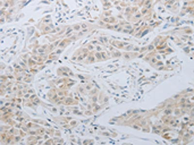
The image on the left is immunohistochemistry of paraffin-embedded Human lung cancer tissue using CSB-PA061510(LOX Antibody) at dilution 1/30, on the right is treated with synthetic peptide. (Original magnification: ×200)
-
Gel: 10%SDS-PAGE, Lysate: 60 μg, Lane: Human leiomyosarcoma tissue, Primary antibody: CSB-PA061510(LOX Antibody) at dilution 1/400, Secondary antibody: Goat anti rabbit IgG at 1/8000 dilution, Exposure time: 20 seconds
-
-
其他:
產品詳情
-
Uniprot No.:
-
基因名:
-
別名:lox antibody; LYOX antibody; LYOX_HUMAN antibody; Lysyl oxidase antibody; MGC105112 antibody; Protein lysine 6 oxidase antibody; Protein-lysine 6-oxidase antibody
-
宿主:Rabbit
-
反應種屬:Human,Mouse,Rat
-
免疫原:Synthetic peptide of Human LOX
-
免疫原種屬:Homo sapiens (Human)
-
標記方式:Non-conjugated
-
抗體亞型:IgG
-
純化方式:Antigen affinity purification
-
濃度:It differs from different batches. Please contact us to confirm it.
-
保存緩沖液:-20°C, pH7.4 PBS, 0.05% NaN3, 40% Glycerol
-
產品提供形式:Liquid
-
應用范圍:ELISA,WB,IHC
-
推薦稀釋比:
Application Recommended Dilution ELISA 1:2000-1:10000 WB 1:500-1:2000 IHC 1:25-1:100 -
Protocols:
-
儲存條件:Upon receipt, store at -20°C or -80°C. Avoid repeated freeze.
-
貨期:Basically, we can dispatch the products out in 1-3 working days after receiving your orders. Delivery time maybe differs from different purchasing way or location, please kindly consult your local distributors for specific delivery time.
-
用途:For Research Use Only. Not for use in diagnostic or therapeutic procedures.
相關產品
靶點詳情
-
功能:Responsible for the post-translational oxidative deamination of peptidyl lysine residues in precursors to fibrous collagen and elastin. Regulator of Ras expression. May play a role in tumor suppression. Plays a role in the aortic wall architecture.
-
基因功能參考文獻:
- LOX regulates EGFR cell surface retention to drive tumour progression. PMID: 28416796
- The Epithelial-mesenchymal transition (EMT) marker Lox has a differential expression pattern in breast cancer, being significantly overexpressed in triple negative breast cancers. PMID: 29661738
- Studies indicate that the mature enzyme plays a key role in modifying the extracellular matrix and as a result has been implicated in playing a role in the formation of cancer "niches" where tumors will develop and eventually metastasize [Review]. PMID: 29309816
- Our results indicate the involvement of LOX in the initiation of fibrous capsule formation which ultimately contributes towards the progression of capsular contracture PMID: 29866167
- this study has revealed that IL-1beta may contribute to the rupture of fetal membranes by attenuating collagen crosslinking through downregulation of LOX expression in amnion fibroblasts PMID: 28878297
- This study focused on the relationship between lysyl oxidase (LOX), LOX-like protein 1 (LOXL1), and LOXL2 and pulmonary emphysema pathogenesis. PMID: 28965583
- The aim was to examine if the serum concentrations of elastin-related proteins correlate to signs of cardiovascular diseases in patients with Diabetes mellitus type 2. PMID: 28715234
- LOX role in cancer stromal cells activation and promotion of gastric cancer progression PMID: 29343955
- an association of LOX gene polymorphism (G473A) on diabetes and DFU patients PMID: 28522400
- LOX expression was mildly but significantly upregulated in CD34+-derived primary myelofibrosis megakaryocytes and platelets compared with controls. These megakaryocytes showed a greater tendency to adhere and spread to monomeric collagen, and this was inhibited by the LOX-specific inhibitor BAPN. PMID: 28592432
- Data suggest that a missense mutation in lysyl oxidase (LOX) is associated with aortic disease. PMID: 27432961
- Our findings suggest that LOX has a role in cancer cell mitosis PMID: 27296552
- Our findings provide new evidence that LOX regulates SNAI2 expression and that SNAI2-mediated TIMP4 secretion plays a role in cancer progression. PMID: 27029493
- UXT Is a LOX-PP Interacting Protein That Modulates Estrogen Receptor Alpha Activity in Breast Cancer Cells. PMID: 28106301
- LOX is a prognostic factor for poor progression free survival in patients with ER- breast cancer. LOX overexpression was positively correlated with resistance to radiation and drug therapy. PMID: 27147578
- This preliminary study indicated that LOX gene polymorphisms, such as rs2303656, rs3900446, and rs763497, may play crucial roles in intracranial aneurysm formation in the Korean population. PMID: 28792146
- Results show that CTGF mediates the GDF8-induced up-regulation of LOX expression and increases in LOX activity in human granulosa cells. PMID: 27392496
- The LOXL1 SNPs, rs1048661 and rs3825942, are associated with PXF in the South Indian population correlating with lowered LOX activity in the aqueous humor. The increased level of total TGF-beta in the aqueous humor of PXF cases is possibly associated with LOX regulation which needs further investigation. PMID: 27116380
- These findings suggest that LOX induces an age-dependent disturbance of diastolic function and aggravates Ang II-induced hypertrophy, which provides novel insights into the role of LOX in cardiac performance. PMID: 28522596
- LOX, a hypoxia-responsive gene that encodes lysyl oxidase, is activated by HIF-2-alpha more than HIF-1. Two new hypoxia response elements identified in the LOX promoter mediate most HIF responsiveness. PMID: 28624448
- our findings show that LOX supports colorectal cancer cell dissemination in the bone marrow PMID: 27742687
- LOX G473A polymorphism apparently elevated human sensitivity to cigarette smoking carcinogens for eliciting cancers in the lung and colon only. Thus, LOX G473A polymorphism positively correlates with carcinogenesis and it may be used as an ideal intrinsic biomarker for prediction or diagnosis of carcinogenesis in humans. PMID: 27367711
- increased cortisol and 11beta-HSD1 abundance and decreased LOX abundance were observed in human amnion tissue after the labor-initiated spontaneous rupture of membranes PMID: 27533889
- endogenous LOX is overexpressed in clear cell renal cell carcinoma, is involved in a positive-regulative loop with HIF-1alpha, and has a major action on clear cell renal cell carcinoma progression through cellular adhesion, migration, and collagen matrix stiffness increment PMID: 27449199
- colorectal carcinoma perilesional extracellular matrix has increased content of lysyl oxidase PMID: 26940881
- LOX affects the epithelial-mesenchymal transition of gastric cancer cells in hypoxic conditions. PMID: 26100130
- High expression of LOX is associated with nasopharyngeal carcinoma. PMID: 26882568
- Here we show that orthotopic implantation of rat prostate AT-1 tumour cells increased LOX and LOXLs mRNA expressions in the tumour and in the surrounding non-malignant prostate tissue PMID: 26804196
- Results show that LOX expression regulation by FoxF1 increases invasiveness of breast cancer cells. PMID: 26908052
- LOX gene expression was approximately 2.5-fold higher in fetal membranes from preterm prelabor rupture of membranes (pPROM) compared to preterm and term birth. PMID: 26011922
- The data suggest a fibromodulin-modulated collagen cross-linking mechanism where fibromodulin binds to a specific part of the collagen domain and also forms a complex with lysyl oxidase, targeting the enzyme toward specific cross-linking sites. PMID: 26893379
- Cu chaperone function of Atox1 mediated through Cu transporter ATP7A is required for VEGF-induced angiogenesis via activation of Cu enzyme lysyl oxidase. PMID: 26437801
- Our study demonstrated that the LOX rs1800449 genotypes (AA and GA + AA) and allele (A) appears to confer risk for susceptibility to keratoconus. PMID: 24502826
- Individuals with LOX variants had fusiform enlargement of the aortic root and ascending thoracic aorta, leading to ascending aortic dissections. PMID: 26838787
- two LOX variants, rs2956540 and rs10519694, may affect individual susceptibility to keratoconus PMID: 26713757
- LOX expression at the mRNA and protein level, and enzymatic activity were remarkably upregulated in the hypoxic A549 cells, compared with normoxic A549 cells. PMID: 26515140
- Aortic tissue from Marfan syndrome patients and display enhanced expression of the members of the LOX family, LOX and LOX-like 1. PMID: 25988230
- Evidence for association was found for both of the tested loci.It was strongest for rs3735520:G>A near HGF with A allele being a risk factor and rs2956540:G>C within LOX with C allele having a protective effect PMID: 25735481
- Using principal component analysis (PCA), the authors identified a LOX/hypoxia signature associated with poor patient survival in resectable pancreatic ductal adenocarcinoma patients. PMID: 26077591
- Serum sLOX-1 levels were independently correlated with the presence and severity of OSA. PMID: 25825846
- hypoxic stress of obstructive sleep apnea may increase circulating lysyl oxidase (LOX) levels; LOX may serve as a biomarker of liver fibrosis in patients with severe obesity and nonalcoholic fatty liver disease PMID: 26085300
- these results corroborate the role of LOX in the migration, invasion and angiogenesis of astrocytomas. Furthermore, LOX expression is influenced by IDH1 mutational status. PMID: 25790191
- LOX gene expression is a predictive factor in hepatocellular liver cancer prognosis and mortality. PMID: 26048020
- High lysyl oxidase expression level in amnion is associated with higher birth weight of Tibetan newborns. PMID: 25501874
- High LOX expression was associated with a poor disease-free and metastasis-free survival in ER negative but not ER positive breast cancer patients. PMID: 25141126
- Study demonstrated that reactive oxygen species promote the migration and metastatic growth of ovarian cancer cells via upregulation of HIF-1a and LOX and E-cadherin repression. PMID: 25174950
- LOX activity is required in the control of collagen fibril architecture. PMID: 25979340
- Attenuation of lysyl oxidase and collagen gene expression in keratoconus patient corneal epithelium corresponds to disease severity. PMID: 25593510
- LOX may play a role in the metastasis of non-small cell lung cancer by promoting MMP2/MMP9 expression. LOX expression is an independent prognostic factor for survival in NSCLC. PMID: 25337249
- LOX is a novel regulator of NFATc1-driven osteoclastogenesis, independent of RANK ligand, which disrupts normal bone homeostasis leading to the formation of focal pre-metastatic lesions PMID: 26017313
顯示更多
收起更多
-
相關疾病:Aortic aneurysm, familial thoracic 10 (AAT10)
-
亞細胞定位:Secreted. Secreted, extracellular space.
-
蛋白家族:Lysyl oxidase family
-
組織特異性:Heart, placenta, skeletal muscle, kidney, lung and pancreas.
-
數據庫鏈接:
Most popular with customers
-
-
YWHAB Recombinant Monoclonal Antibody
Applications: ELISA, WB, IHC, IF, FC
Species Reactivity: Human, Mouse, Rat
-
Phospho-YAP1 (S127) Recombinant Monoclonal Antibody
Applications: ELISA, WB, IHC
Species Reactivity: Human
-
-
-
-
-















