LONP1 Antibody
-
中文名稱:LONP1兔多克隆抗體
-
貨號:CSB-PA958239
-
規格:¥1100
-
圖片:
-
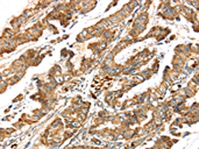
The image on the left is immunohistochemistry of paraffin-embedded Human breast cancer tissue using CSB-PA958239(LONP1 Antibody) at dilution 1/25, on the right is treated with synthetic peptide. (Original magnification: ×200)
-
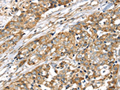
The image on the left is immunohistochemistry of paraffin-embedded Human esophagus cancer tissue using CSB-PA958239(LONP1 Antibody) at dilution 1/25, on the right is treated with synthetic peptide. (Original magnification: ×200)
-
Gel: 6%SDS-PAGE,Lysate: 40 μg,Lane 1-5: A431 cells, NIH/3T3 cells, HepG2 cells, Mouse liver tissue, Hela cells,Primary antibody: CSB-PA958239(LONP1 Antibody) at dilution 1/250 dilution,Secondary antibody: Goat anti rabbit IgG at 1/8000 dilution,Exposure time: 30 seconds
-
-
其他:
產品詳情
-
Uniprot No.:
-
基因名:
-
別名:hLON antibody; hLON ATP dependent protease antibody; LON antibody; lon peptidase 1, mitochondrial antibody; LON protease antibody; Lon protease homolog antibody; Lon protease like protein antibody; Lon protease-like protein antibody; LONHs antibody; LONM_HUMAN antibody; LONP antibody; Lonp1 antibody; MGC1498 antibody; mitochondrial antibody; Mitochondrial ATP dependent protease Lon antibody; Mitochondrial ATP-dependent protease Lon antibody; Mitochondrial lon peptidase 1 antibody; PIM1 antibody; Protease serine 15 antibody; PRSS15 antibody; Serine protease 15 antibody
-
宿主:Rabbit
-
反應種屬:Human,Mouse
-
免疫原:Synthetic peptide of Human LONP1
-
免疫原種屬:Homo sapiens (Human)
-
標記方式:Non-conjugated
-
抗體亞型:IgG
-
純化方式:Antigen affinity purification
-
濃度:It differs from different batches. Please contact us to confirm it.
-
保存緩沖液:-20°C, pH7.4 PBS, 0.05% NaN3, 40% Glycerol
-
產品提供形式:Liquid
-
應用范圍:ELISA,WB,IHC
-
推薦稀釋比:
Application Recommended Dilution ELISA 1:2000-1:5000 WB 1:500-1:2000 IHC 1:25-1:100 -
Protocols:
-
儲存條件:Upon receipt, store at -20°C or -80°C. Avoid repeated freeze.
-
貨期:Basically, we can dispatch the products out in 1-3 working days after receiving your orders. Delivery time maybe differs from different purchasing way or location, please kindly consult your local distributors for specific delivery time.
-
用途:For Research Use Only. Not for use in diagnostic or therapeutic procedures.
相關產品
靶點詳情
-
功能:ATP-dependent serine protease that mediates the selective degradation of misfolded, unassembled or oxidatively damaged polypeptides as well as certain short-lived regulatory proteins in the mitochondrial matrix. May also have a chaperone function in the assembly of inner membrane protein complexes. Participates in the regulation of mitochondrial gene expression and in the maintenance of the integrity of the mitochondrial genome. Binds to mitochondrial promoters and RNA in a single-stranded, site-specific, and strand-specific manner. May regulate mitochondrial DNA replication and/or gene expression using site-specific, single-stranded DNA binding to target the degradation of regulatory proteins binding to adjacent sites in mitochondrial promoters. Endogenous substrates include mitochondrial steroidogenic acute regulatory (StAR) protein, helicase Twinkle (TWNK) and the large ribosomal subunit protein bL32m. bL32m is protected from degradation by LONP1 when it is bound to a nucleic acid (RNA), but TWNK is not.
-
基因功能參考文獻:
- mitochondrial ATP-dependent Lon protease may serve as a potential biomarker for cancer diagnosis and novel target for the development of anticancer drugs and for predicting of the efficiency and effectiveness of chemotherapy of a variety of cancers. PMID: 29178076
- We demonstrate that Lon plays a key role in glioma cell hypoxic survival and mitochondrial respiration, and propose Lon as a promising therapeutic target in the treatment of malignant gliomas. PMID: 27764809
- Some features were not consistent with CODAS syndrome but overlapped with Marinesco-Sjogren syndrome, a multisystem disorder caused by a mutation in SIL1. An atypical mutation site may result in atypical presentation of the LONP1 mutation PMID: 28148925
- LONP1 function and implication in human aging and disease was reviewed. PMID: 27387767
- we observed that Lon protease downregulation is linked to a higher lipofuscinogenesis whereas the application of the mitochondrial-targeted antioxidant mitoTEMPO is able to prevent the accumulation of this protein aggregate. PMID: 28160744
- Lon preferentially degrades the phosphorylated subunits of CcO and plays a role in the regulation of CcO activity in hypoxia and ischemia/reperfusion injury. PMID: 28442264
- Lon protease (Lonp1), which is a key inductive of mitochondrial unfolded protein response (UPR(mt)) and is required to maintain the mitochondrial quality, was greatly induced in H. pylori infected gastric epithelial cells. PMID: 27108387
- This analysis revealed that LONM specifically recognises and degrades unfolded, but not aggregated proteins. PMID: 26627475
- Mutations of Lon, which likely impair its chaperone properties, are at the basis of a genetic inherited disease named the cerebral, ocular, dental, auricular, skeletal (CODAS) syndrome. (Review) PMID: 27033304
- Inhibition of Lon protease by triterpenoids alters mitochondria and is associated to cell death in human cancer cells. PMID: 26314956
- Lon downregulation attenuated hypoxia-induced cardiomyocyte apoptosis through a reduction of reactive oxygen species level. PMID: 25922169
- LONP1 encodes an enzyme of bacterial ancestry that participates in protein turnover within the mitochondrial matrix, and mutations in its ATP-binding and proteolytic domains cause CODAS syndrome. PMID: 25808063
- A review on the recent discoveries concerning Lon Protease functions. [review] PMID: 26363553
- These results suggest that the mechanism underlying cell survival regulated by Lon is mediated by the maintenance of the protein stability of Hsp60-mtHsp70 complex. PMID: 25675302
- Silencing of SIRT3 increased the levels of Lon protein and of its acetylation, suggesting that Lon is a target of SIRT3, likely at K917. PMID: 25128872
- the structure of human mitochondrial Lon (hLon) protease, is reported. PMID: 25369343
- We establish a link between LONP1 and CODAS syndrome in humans. PMID: 25574826
- Lonp1 has a protective role against ochratoxin a induced cytotoxicity in kidney cells. PMID: 24565693
- StAR proteolysis is executed by at least 2 mitochondrial proteases, the matrix LON protease and the inner membrane complexes of the metalloproteases AFG3L2 and AFG3L2:SPG7/paraplegin. PMID: 24422629
- Lon protease deficiency led to an increase in ROS production and to an accumulation of carbonylated protein in the mitochondria. PMID: 24355201
- Down-regulation of overexpressed human LON in cervical cancer suppresses cell proliferation and bioenergetics. PMID: 24260536
- Data indicate that SDH5 is protected from mitochondrial LON protease (LONM)-mediated degradation in mitochondria by its stable interaction with SDHA, a state that is dysregulated in hereditary paraganglioma 2 (PGL2). PMID: 24414418
- Lon is overexpressed specifically in various types of cancer tissue including oral cancer. PMID: 23788038
- In cells with normal mitochondrial DNA levels, phosphorylated TFAM is degraded by Lon. PMID: 23201127
- Lon peptidase 1 (LONP1)-dependent breakdown of mitochondrial 5-aminolevulinic acid synthase protein by heme in human liver cells. PMID: 21659532
- Downregulation of mitochondrial lon protease impairs mitochondrial function and causes hepatic insulin resistance in human liver SK-HEP-1 cells. PMID: 21347624
- The promoter of Lon is at least part responsible for the upregulation of this protein during oxidative stress. PMID: 20933102
- Data show that Lon gene can be significantly downregulated by introduction of siRNA to result in enhanced sensitivity of MCF7 cells to UV, cisplatin and heat stress. PMID: 17584658
- may prevent extensive oxidation, aggregation and accumulation of aconitase, which could otherwise compromise mitochondrial function and cellular viability PMID: 12198491
- Lon participates directly in the metabolism of mtDNA. PMID: 14739292
- results indicate that mitochondrial Lon is required for normal survival and proliferation; a clear impetus for Lon's evolutionary conservation PMID: 15683722
- Results demonstrate that mitochondrial DNA binding is a physiological function of Lon and that cellular levels of Lon influence sensitivity to mtDNA damage. PMID: 17420247
- A review of the current knowledge on both catalytic mechanisms and inhibitors of Lon protease. PMID: 18021745
- Electrophoretic mobility shift assay and circular dichroism show that ssDNAs with a propensity for forming parallel G-quartets are specifically bound by hLon. PMID: 18174225
顯示更多
收起更多
-
相關疾病:CODAS syndrome (CODASS)
-
亞細胞定位:Mitochondrion matrix.
-
蛋白家族:Peptidase S16 family
-
組織特異性:Duodenum, heart, lung and liver, but not thymus.
-
數據庫鏈接:
Most popular with customers
-
YWHAB Recombinant Monoclonal Antibody
Applications: ELISA, WB, IHC, IF, FC
Species Reactivity: Human, Mouse, Rat
-
Phospho-YAP1 (S127) Recombinant Monoclonal Antibody
Applications: ELISA, WB, IHC
Species Reactivity: Human
-
-
-
-
-
-















