LITAF Antibody
-
中文名稱:LITAF兔多克隆抗體
-
貨號:CSB-PA012985ESR1HU
-
規格:¥440
-
圖片:
-
Western blot
All lanes: LITAFantibody at 1.91μg/ml + Hela whole cell lysate
Secondary
Goat polyclonal to rabbit IgG at 1/10000 dilution
Predicted band size: 18, 24, 16 kDa
Observed band size: 18 kDa -
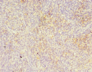
Immunohistochemistry of paraffin-embedded human tonsil tissue using CSB-PA012985ESR1HU at dilution of 1:100
-
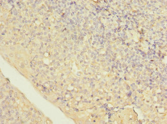
Immunohistochemistry of paraffin-embedded human thymus tissue using CSB-PA012985ESR1HU at dilution of 1:100
-
-
其他:
產品詳情
-
產品名稱:Rabbit anti-Homo sapiens (Human) LITAF Polyclonal antibody
-
Uniprot No.:
-
基因名:LITAF
-
別名:Lipopolysaccharide induced TNF alpha factor antibody; CMT1C antibody; FLJ38636 antibody; Lipopolysaccharide induced TNF alpha factor antibody; Lipopolysaccharide induced TNF factor antibody; Lipopolysaccharide induced tumor necrosis factor alpha factor antibody; Lipopolysaccharide-induced tumor necrosis factor-alpha factor antibody; LITAF antibody; LITAF_HUMAN antibody; LPS induced TNF alpha factor antibody; LPS-induced TNF-alpha factor antibody; MGC116698 antibody; MGC116700 antibody; MGC116701 antibody; MGC125274 antibody; MGC125275 antibody; MGC125276 antibody; p53 induced gene 7 protein antibody; p53-induced gene 7 protein antibody; PIG 7 antibody; PIG7 antibody; SIMPLE antibody; Small integral membrane protein of lysosome/late endosome antibody; TP53I7 antibody; Tumor protein p53 inducible protein 7 antibody
-
宿主:Rabbit
-
反應種屬:Human
-
免疫原:Recombinant Human Lipopolysaccharide-induced tumor necrosis factor-alpha factor protein (1-161AA)
-
免疫原種屬:Homo sapiens (Human)
-
標記方式:Non-conjugated
-
克隆類型:Polyclonal
-
抗體亞型:IgG
-
純化方式:Antigen Affinity Purified
-
濃度:It differs from different batches. Please contact us to confirm it.
-
保存緩沖液:PBS with 0.02% sodium azide, 50% glycerol, pH7.3.
-
產品提供形式:Liquid
-
應用范圍:ELISA, WB, IHC
-
推薦稀釋比:
Application Recommended Dilution WB 1:1000-1:5000 IHC 1:20-1:200 -
Protocols:
-
儲存條件:Upon receipt, store at -20°C or -80°C. Avoid repeated freeze.
-
貨期:Basically, we can dispatch the products out in 1-3 working days after receiving your orders. Delivery time maybe differs from different purchasing way or location, please kindly consult your local distributors for specific delivery time.
-
用途:For Research Use Only. Not for use in diagnostic or therapeutic procedures.
相關產品
靶點詳情
-
功能:Plays a role in endosomal protein trafficking and in targeting proteins for lysosomal degradation. Plays a role in targeting endocytosed EGFR and ERGG3 for lysosomal degradation, and thereby helps downregulate downstream signaling cascades. Helps recruit the ESCRT complex components TSG101, HGS and STAM to cytoplasmic membranes. Probably plays a role in regulating protein degradation via its interaction with NEDD4. May also contribute to the regulation of gene expression in the nucleus. Binds DNA (in vitro) and may play a synergistic role with STAT6 in the nucleus in regulating the expression of various cytokines. May regulate the expression of numerous cytokines, such as TNF, CCL2, CCL5, CXCL1, IL1A and IL10.
-
基因功能參考文獻:
- results indicate that SIMPLE may regulate protein trafficking physiologically by localizing to the TGN and/or REs by binding PI4P. PMID: 29953492
- our findings provide a novel apoptotic regulatory pathway in which LITAF, as a transcription factor, inhibits the expression of BCL6, which leads to activation of the intrinsic mitochondrial pathway and tumor apoptosis. PMID: 27764808
- In this Chinese Han population a novel Charcot-Marie-Tooth disease-associated gene mutations the LITAF (c.32C>G) was discovered. PMID: 27862672
- Molecular analysis of Charcot-Marie-Tooth 1C revealed five new LITAF/SIMPLE mutations PMID: 28211240
- The Gly112Ser mutation causing Charcot-Marie-Tooth disease type 1C is a mild form of Charcot-Marie-Tooth disease. PMID: 28164329
- An aberrant LITAF-phosphoethanolamine interaction on the surface of intracellular membranes contributes to the molecular pathogenesis that underlies Charcot-Marie-Tooth disease type 1C. PMID: 27927196
- Study conclude that LITAF is a monotopic membrane protein whose membrane integration is stabilised by a zinc finger. The related human protein, CDIP1 (cell death involved p53 target 1), displays identical membrane topology, suggesting that this mode of membrane integration is conserved in LITAF family proteins. PMID: 27582497
- PIG7 promotes leukemia cell chemosensitivity via lysosomal membrane permeabilization. PMID: 26716897
- Suggest LITAF as regulatory of pro-inflammatory and pro-fibrogenic pattern in non-alcoholic fatty liver disease. PMID: 26573228
- LITAF may serve as a switch in the balance between classical and alternative activation in tumor-associated inflammation. (Review) PMID: 26324337
- Results show that LITAF mutants in Charcot-Marie-Tooth 1C have an altered intracellular localization. They localize either completely or partially in the mitochondria depending on the mutation site. This can explain the different severity of the disease. PMID: 25058650
- Study shows that the I92V LITAF sequence variant would be a good candidate for a biomarker in the case of the CMT1A/HNPP disorders. PMID: 25342198
- The results of this study findings confirm that the genetic analysis of LITAF/SIMPLE should be considered for the diagnostic flow-chart of CMT1 patient, especially when nerve conduction studies show the presence of conduction blocks. PMID: 24880540
- Early-onset hereditary neuropathy with liability to pressure palsy (HNPP) was associated frequently with isoleucine92valine LITAF polymorphism. PMID: 24668782
- It is concluded that PA can induce insulin resistance in liver cells and knockdown of LITAF expression can reduce insulin resistance in liver cells. PMID: 22282245
- Mutation of SIMPLE (Litaf) in Charcot-Marie-Tooth 1C disease alters production of exosomes. PMID: 23576546
- LITAF, a BCL6 target gene, regulates autophagy in mature B-cell lymphomas. PMID: 23795761
- The findings indicate a function of SIMPLE as a regulator of endosomal trafficking and provide evidence linking dysregulated endosomal trafficking to CMT pathogenesis. PMID: 23166352
- Two sequence variations c.269G-->A and c.274A-->G were detected in LITAF gene and two sequence variations c.1243G-->A and c.1910C-->T were detected in LMNA gene in Chinese Charcot-Marie-Tooth disease. PMID: 20709679
- Lipopolysaccharide-induced tumor necrosis factor (LITAF) interacted with CIDE-3 in hepatic cells. PMID: 20957525
- PIG7 could be transactivated by AML1, which subsequently induces differentiation and apoptosis of leukemia cells, especially those with AML1-ETO fusion gene PMID: 21836606
- Our findings suggest that SIMPLE mutations cause Charcot-Marie-Tooth type 1 C peripheral neuropathy by a combination of loss-of-function and toxic gain-of-function mechanisms PMID: 21896645
- Itch protein re-localization is dependent upon the interaction with the PPXY sequences of LITAF, since disruption of these binding motifs completely abrogates Itch re-localization. PMID: 21326863
- LITAF is associated with obesity and insulin resistance, as well as inflammatory cytokine secretion. The results indicate LITAF to be a new mediator between inflammation and the obesity related disorders. PMID: 21362361
- studies for the first time establish the regulatory axis of AMPK-LITAF-TNFSF15 and also suggest that LITAF may function as a tumor suppressor PMID: 21217782
- New gene for CMT is located on chrosome 16. PMID: 14641644
- The expression of SIMPLE is reported in various cell types of the sciatic nerve, including Schwann cells, the affected cell type in Charcot-Marie-Tooth neuropathy type 1C. PMID: 15122712
- the potential E3 ubiquitin ligase activity of SIMPLE, alteration in its interactions with NEDD4 or TSG101, or changes in its properties as a clathrin coat adaptor may underlie the pathogenesis of Charcot-Marie-Tooth disease PMID: 15776429
- This study identified a LITAF/SIMPLE substitution (T49M), absent in 1000 control chromosomes, but which was thought to be a polymorphism in Charcot-Marie-Tooth neuropathy. PMID: 16373087
- The mutation Gly112Ser was found in two families confirming its frequent occurrence in SIMPLE mutations. Three novel mutations were also identified: Ala111Gly (two families), Pro135Ser, and Pro135Thr. PMID: 16787513
- LITAF has a role in the pathophysiological regulation of the TNF-alpha gene PMID: 16804395
- results suggest that the consensus sequence for hepatocyte nuclear factor-3alpha, or a nuclear binding protein to the CTCCC motif, may play an important role in regulating LPS-dependent LITAF transcription PMID: 16872372
- Hypermethylation of pig7 promoter was identified in K562 and HL-60 cells, in contrast to non-methylation predominant in U937 cells. pig7 expression was markedly decreased in AL patients. PMID: 18078129
顯示更多
收起更多
-
相關疾?。?/div>Charcot-Marie-Tooth disease 1C (CMT1C)亞細胞定位:Cytoplasm. Nucleus. Lysosome membrane; Peripheral membrane protein; Cytoplasmic side. Early endosome membrane. Late endosome membrane. Endosome membrane; Peripheral membrane protein; Cytoplasmic side. Cell membrane; Peripheral membrane protein; Cytoplasmic side. Golgi apparatus membrane.蛋白家族:CDIP1/LITAF family組織特異性:Ubiquitously and abundantly expressed. Expressed predominantly in the placenta, peripheral blood leukocytes, lymph nodes and spleen.數據庫鏈接:
Most popular with customers
-
YWHAB Recombinant Monoclonal Antibody
Applications: ELISA, WB, IHC, IF, FC
Species Reactivity: Human, Mouse, Rat
-
Phospho-YAP1 (S127) Recombinant Monoclonal Antibody
Applications: ELISA, WB, IHC
Species Reactivity: Human
-
-
-
-
-
-















