LIPH Antibody
-
中文名稱:LIPH兔多克隆抗體
-
貨號:CSB-PA848833LA01HU
-
規格:¥440
-
圖片:
-
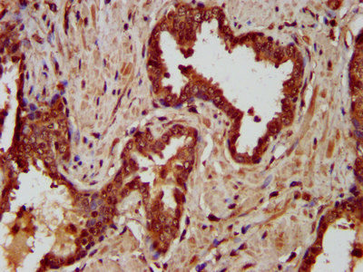
IHC image of CSB-PA848833LA01HU diluted at 1:200 and staining in paraffin-embedded human prostate cancer performed on a Leica BondTM system. After dewaxing and hydration, antigen retrieval was mediated by high pressure in a citrate buffer (pH 6.0). Section was blocked with 10% normal goat serum 30min at RT. Then primary antibody (1% BSA) was incubated at 4°C overnight. The primary is detected by a biotinylated secondary antibody and visualized using an HRP conjugated SP system.
-
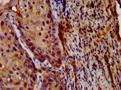
IHC image of CSB-PA848833LA01HU diluted at 1:200 and staining in paraffin-embedded human lung cancer performed on a Leica BondTM system. After dewaxing and hydration, antigen retrieval was mediated by high pressure in a citrate buffer (pH 6.0). Section was blocked with 10% normal goat serum 30min at RT. Then primary antibody (1% BSA) was incubated at 4°C overnight. The primary is detected by a biotinylated secondary antibody and visualized using an HRP conjugated SP system.
-
Immunofluorescence staining of A549 cells with CSB-PA848833LA01HU at 1:66, counter-stained with DAPI. The cells were fixed in 4% formaldehyde, permeabilized using 0.2% Triton X-100 and blocked in 10% normal Goat Serum. The cells were then incubated with the antibody overnight at 4°C. The secondary antibody was Alexa Fluor 488-congugated AffiniPure Goat Anti-Rabbit IgG(H+L).
-
-
其他:
產品詳情
-
產品名稱:Rabbit anti-Homo sapiens (Human) LIPH Polyclonal antibody
-
Uniprot No.:
-
基因名:LIPH
-
別名:AH antibody; ARWH2 antibody; LAH2 antibody; Lipase H antibody; Lipase member H antibody; LIPH antibody; LIPH_HUMAN antibody; LPD lipase related protein antibody; LPD lipase-related protein antibody; LPDLR antibody; Membrane associated phosphatidic acid selective phospholipase A1 alpha antibody; Membrane bound phosphatidic acid selective phospholipase A1 antibody; Membrane-associated phosphatidic acid-selective phospholipase A1-alpha antibody; mPA PLA1 antibody; mPA-PLA1 alpha antibody; MPAPLA1 antibody; OTTHUMP00000210343 antibody; OTTHUMP00000210344 antibody; Phospholipase A1 member B antibody; PLA1B antibody
-
宿主:Rabbit
-
反應種屬:Human
-
免疫原:Recombinant Human Lipase member H protein (175-325AA)
-
免疫原種屬:Homo sapiens (Human)
-
標記方式:Non-conjugated
本頁面中的產品,LIPH Antibody (CSB-PA848833LA01HU),的標記方式是Non-conjugated。對于LIPH Antibody,我們還提供其他標記。見下表:
-
克隆類型:Polyclonal
-
抗體亞型:IgG
-
純化方式:>95%, Protein G purified
-
濃度:It differs from different batches. Please contact us to confirm it.
-
保存緩沖液:Preservative: 0.03% Proclin 300
Constituents: 50% Glycerol, 0.01M PBS, pH 7.4 -
產品提供形式:Liquid
-
應用范圍:ELISA, IHC, IF
-
推薦稀釋比:
Application Recommended Dilution IHC 1:200-1:500 IF 1:50-1:200 -
Protocols:
-
儲存條件:Upon receipt, store at -20°C or -80°C. Avoid repeated freeze.
-
貨期:Basically, we can dispatch the products out in 1-3 working days after receiving your orders. Delivery time maybe differs from different purchasing way or location, please kindly consult your local distributors for specific delivery time.
-
用途:For Research Use Only. Not for use in diagnostic or therapeutic procedures.
相關產品
靶點詳情
-
功能:Hydrolyzes specifically phosphatidic acid (PA) to produce 2-acyl lysophosphatidic acid (LPA; a potent bioactive lipid mediator) and fatty acid. Does not hydrolyze other phospholipids, like phosphatidylserine (PS), phosphatidylcholine (PC) and phosphatidylethanolamine (PE) or triacylglycerol (TG).
-
基因功能參考文獻:
- Two mutants of LIPH lead to secretion defects of LIPH, which are involved in the pathogenesis of Autosomal recessive woolly hair/hypotrichosis. PMID: 29346610
- Novel sequence variants in the LIPH and LPAR6 genes underlies autosomal recessive woolly hair/hypotrichosis in three consanguineous Pakistani families. PMID: 28425126
- The present study shows 93% of Japanese patients with ARWH had at least one of the two founder mutations in exon 6 of LIPH. Highly prevalent founder mutations in LIPH. PMID: 27641630
- The authors report no apparent decrease in total hair count but remarkable miniaturization and increased telogen/anagen hair ratio in patients homozygous mutations in LIPH. PMID: 27375176
- This meta-analysis demonstrates that the T allele in the LIPC rs493258 polymorphism was significantly associated with the risk of any and late age related macular degeneration PMID: 27763569
- Our data suggest that LIPH may have prognostic value for esophageal cancer. PMID: 26341494
- sequencing LIPH identi fi ed a novel non-sense mutation (c.328C>T; p.Arg110*) in one and a previously reported 2-bp deletion mutation (c.659_660delTA, p.Ile220ArgfsX29) in three other families. PMID: 24628704
- A heterozygous missense mutation c.736T>A (p.Cys246Ser) in exon 6 of the LIPH gene of both the affected individuals was identified. In addition, we also found that both patients carried heterozygous sequences in exon 5 of the LIPH gene. PMID: 25899282
- The study further extends the body of evidence that sequence variants in the LIPH gene result in hypotrichosis and woolly hair phenotype. PMID: 26645693
- c.460_461AG>GA (p.Ser154Asp) in exon 3 and c.742C>A (p.His248Asn) in exon 6 associated with autosomal recessive woolly hair PMID: 25201209
- High LIPH expression is associated with metastasis in breast cancer. PMID: 25123262
- Mutation patterns of LIPH might be associated with hypotrichosis severity in autosomal recessive woolly hair/hypotrichosis. PMID: 24586639
- Immunohistochemistry detected LIPH expression in most of the adenocarcinomas and bronchioloalveolar carcinomas obtained from lung cancer patients. LIPH expression was also observed less frequently in the squamous lung cancer tissue samples. PMID: 24380866
- Among South Indian subjects without diabetes, the rs1800588 C/T (C-480T) and rs6074 C/A (Thr479Thr) variants of the HL gene are associated with hypertriglyceridemia and low HDL-C, respectively. The TGC haplotype was significantly associated with low HDL-C PMID: 23550552
- A case of Japanese siblings with autosomal recessive woolly hair associated with LIPH gene homozygous mutation of c.736T > A is presented. PMID: 23590372
- analysis of the LIPH gene revealed homozygosity for a novel truncating mutation, as well as three previously identified mutations in affected individuals with autosomal recessive hypotrichosis and woolly hair. PMID: 23066499
- The beta9 loop domain of PA-PLA1alpha has a crucial role in autosomal recessive woolly hair/hypotrichosis [case report] PMID: 22475755
- the c.659_660delTA mutation in the LIPH gene caused autosomal recessive wooly hair/hypotrichosis phenotype in the studied family. PMID: 22125978
- 736T>A transition is highly specific and common in autosomal recessive woolly hair/hypotrichosis of Japanese origin. PMID: 21352330
- A phosphatidic acid-phospholipase A1alpha-lysophosphatidic acid-P2Y5 axis regulates differentiation of hair follicles via a tumour necrosis factor alpha converting enzyme-transforming growth factor alpha-epidermal growth factor receptor pathway. PMID: 21857648
- Mutations identified in the present study extend the body of evidence implicating LPAR6 and LIPH genes in pathogenesis of human hereditary hair loss. PMID: 21426374
- The results suggest defective activation of P2Y5 due to reduced 2-acyl lysophosphatidic acid production by the mutant PA-PLA1a that are encoded by LIPH is involved in the pathogenesis of ARH. PMID: 20213768
- Studied five consanguineous Pakistani families with autosomal recessive hypotrichosis and identified a novel splice site and two previously reported mutations in the LIPH gene. PMID: 20107739
- these findings not only expand the spectrum of LIPH mutations, but also provide a better understanding of the crucial role of the LIPH/LPA/P2Y5 signaling in hair growth in humans. PMID: 19892526
- PA-selective PLA(1) has a role in LPA production. PMID: 12063250
- mRNA expressed in intestine, lung, and pancreas. Lipase H protein was also detected in human intestine. PMID: 12213196
- individuals with an inherited form of hair loss and a hair growth defect were homozygous for a deletion in the LIPH gene on chromosome 3q27; results suggest that lipase H participates in hair growth and development PMID: 17095700
- identification of a novel deletion mutation in exon 2 of LIPH gene in a Pakistani family with autosomal recessive hypotrichosis PMID: 17333281
- a novel deletion mutation in exon 5 (c.659-660delTA) causing frameshift and downstream premature termination codon causes autosomal recessive hypotrichosis (LAH2) PMID: 18445047
- The deletion mutation (c.682delT) reported lies between beta9 and lid loops and changes the reading frame after 31 amino acids, thereby eliminating the lid peptide sequence required for substrate recognition in combination with beta9 loop. PMID: 18795930
- gene duplication mutation in exon 2 was found to segregate with hypotrichosis in consanguineous and distantly related Izraeli families PMID: 18820939
- LIPH is a second causative gene for ARWH/hypotrichosis, giving rise to a phenotype clinically indistinguishable from P2RY5 mutations PMID: 18830268
- The mutations reported here are the first missense mutations identified in the LIPH gene, which extend the body of evidences implicating the LIPH gene in the pathogenesis of human hereditary hair loss. PMID: 19167195
- crucial role of LIPH gene in hair growth. PMID: 19262606
- Our study increases the spectrum of known LIPH mutations and provides biochemical evidence for the important role of lipase H and its product LPA in human hair growth PMID: 19536142
- Mutations in LIPH result in variable degrees of hypotrichosis simplex, woolly hair is an essential component of the clinical spectrum;hot spot in the LIPH gene may be c.280_369dup in exon 2 PMID: 19766349
顯示更多
收起更多
-
相關疾病:Hypotrichosis 7 (HYPT7); Woolly hair autosomal recessive 2 (ARWH2)
-
亞細胞定位:Secreted. Cell membrane; Peripheral membrane protein.
-
蛋白家族:AB hydrolase superfamily, Lipase family
-
組織特異性:Present in intestine (at protein level). Expressed in colon, prostate, kidney, pancreas, ovary, testis, intestine, lung and pancreas. Expressed at lower level in brain, spleen and heart. In hair, it is prominently expressed in hair follicles, including th
-
數據庫鏈接:
Most popular with customers
-
-
YWHAB Recombinant Monoclonal Antibody
Applications: ELISA, WB, IHC, IF, FC
Species Reactivity: Human, Mouse, Rat
-
Phospho-YAP1 (S127) Recombinant Monoclonal Antibody
Applications: ELISA, WB, IHC
Species Reactivity: Human
-
-
-
-
-















