LIMS1 Antibody
-
中文名稱:LIMS1兔多克隆抗體
-
貨號:CSB-PA012955ESR2HU
-
規格:¥440
-
圖片:
-
Western blot
All lanes: LIMS1 antibody at 0.93μg/ml + A549 whole cell lysate
Secondary
Goat polyclonal to rabbit IgG at 1/10000 dilution
Predicted band size: 38, 39, 45, 42 kDa
Observed band size: 38 kDa -
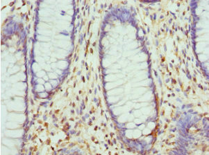
Immunohistochemistry of paraffin-embedded human colon cancer using CSB-PA012955ESR2HU at dilution of 1:100
-
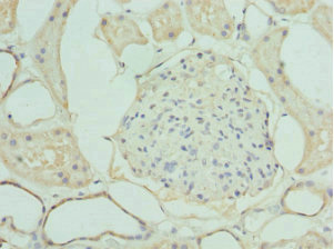
Immunohistochemistry of paraffin-embedded human kidney tissue using CSB-PA012955ESR2HU at dilution of 1:100
-
Immunofluorescent analysis of Hela cells using CSB-PA012955ESR2HU at dilution of 1:100 and Alexa Fluor 488-congugated AffiniPure Goat Anti-Rabbit IgG(H+L)
-
-
其他:
產品詳情
-
產品名稱:Rabbit anti-Homo sapiens (Human) LIMS1 Polyclonal antibody
-
Uniprot No.:
-
基因名:LIMS1
-
別名:2310016J22Rik antibody; 4921524A02Rik antibody; AI507642 antibody; AU021743 antibody; AW551584 antibody; C430041B13Rik antibody; LIM and senescent cell antigen like domains 1 antibody; LIM and senescent cell antigen-like-containing domain protein 1 antibody; LIM zinc finger domain containing 1 antibody; LIM-type zinc finger domains 1 antibody; Lims1 antibody; LIMS1_HUMAN antibody; Lims1l antibody; Particularly interesting new Cys His protein 1 antibody; Particularly interesting new Cys His protein antibody; Particularly interesting new Cys-His protein 1 antibody; PINCH 1 antibody; PINCH antibody; PINCH-1 antibody; PINCH1 antibody; Renal carcinoma antigen NY REN 48 antibody; Renal carcinoma antigen NY-REN-48 antibody; senescent cell antigen antibody; wu:fc32c03 antibody; zgc:112533 antibody
-
宿主:Rabbit
-
反應種屬:Human
-
免疫原:Recombinant Human LIM and senescent cell antigen-like-containing domain protein 1 protein (1-325AA)
-
免疫原種屬:Homo sapiens (Human)
-
標記方式:Non-conjugated
-
克隆類型:Polyclonal
-
抗體亞型:IgG
-
純化方式:Antigen Affinity Purified
-
濃度:It differs from different batches. Please contact us to confirm it.
-
保存緩沖液:PBS with 0.02% sodium azide, 50% glycerol, pH7.3.
-
產品提供形式:Liquid
-
應用范圍:ELISA, WB, IHC, IF
-
推薦稀釋比:
Application Recommended Dilution WB 1:500-1:2000 IHC 1:20-1:200 IF 1:50-1:200 -
Protocols:
-
儲存條件:Upon receipt, store at -20°C or -80°C. Avoid repeated freeze.
-
貨期:Basically, we can dispatch the products out in 1-3 working days after receiving your orders. Delivery time maybe differs from different purchasing way or location, please kindly consult your local distributors for specific delivery time.
-
用途:For Research Use Only. Not for use in diagnostic or therapeutic procedures.
相關產品
靶點詳情
-
功能:Adapter protein in a cytoplasmic complex linking beta-integrins to the actin cytoskeleton, bridges the complex to cell surface receptor tyrosine kinases and growth factor receptors. Involved in the regulation of cell survival, cell proliferation and cell differentiation.
-
基因功能參考文獻:
- High LIMS1 expression is associated with Neuroblastoma. PMID: 29695398
- focal adhesion signaling to actin cytoskeleton is implicated in human laryngeal carcinogenesis and PINCH1 has prognostic significance in the disease. PMID: 29755929
- that PINCH-1 may be playing an important role in etiopathogenesis of both subtypes breast cancer PMID: 29079319
- Mammalian cells have two functional PINCH proteins, PINCH1 and PINCH2. PINCH not only binds to Nck2 and engages in the signaling of growth factor receptors, but also forms a ternary complex with ILK and parvin (IPP complex). PMID: 27590440
- our data suggest an essential role of PINCH1, ILK and ILKAP for the radioresistance of p53-wildtype glioblastoma multiforme cells PMID: 26460618
- Data suggest that PINCH1 and Nck2 critically participate in the regulation of cellular radiosensitivity and EGFR function and downstream signaling in a cellular model of human squamous cell carcinoma. PMID: 26004008
- Downregulation of PINCH1 is associated with metastatic breast cancer. PMID: 25647720
- changes in CSF levels of PINCH appear to correlate with changes in blood CD4 count and with changes in CSF hyperphosphorylated Tau levels PMID: 24817145
- PINCH predicts survival in rectal cancer patients with RT, but not in patients without RT. The expression of PINCH may be regulated by radiation and by environmental factors surrounding the cells. PMID: 23970013
- PINCH is increased and binds to hp-Tau. These studies address a new mechanism by which AD and HIV may intersect and identify PINCH as a contributing factor to the accumulation of hyperphosphorylated Tau. PMID: 23554879
- Pinch-1 mRNA and protein were significantly up-regulated in acute lymphoblastic leukemia and acute myeloid leukemia bone marrow stromal cells compared to normal bone marrow stromal cells (p<0.01). PMID: 22310984
- PINCH protein might play an important role in the tumourigenesis and metastasis of gastric adenocarcinoma. PMID: 22976000
- PINCH mRNA overexpression in colorectal carcinomas is correlated with VEGF and FAS mRNA expression PMID: 22199270
- PINCH may function as a neuron-specific host-mediated response to challenge by HIV-related factors in the CNS. PMID: 20689998
- PINCH1 can shuttle into the nucleus from cytoplasm in podocytes, wherein it interacts with WT1 and suppresses podocyte-specific gene expression. PMID: 21390327
- Review provides an overview of the current knowledge of the molecular interactions of PINCH with other components of focal adhesions and discusses its potential implication for human heart disease. PMID: 19952891
- data reveal how specific domains of PINCH-1 direct two independent pathways: one utilizing ILK to allow cell attachment, and the other recruiting Rsu-1 to activate Rac1 in order to promote cell spreading PMID: 20926685
- PINCH staining at the tumour invasive margin was related to survival in poorly differentiated tumours but not in better differentiated tumours, indicating that the impact of PINCH on prognosis was dependent on differentiation status. PMID: 21426571
- Data suggest that the adapter protein PINCH1 critically participates in the regulation of the cellular radiosensitivity of normal and malignant cells similarly under adhesion and suspension conditions. PMID: 20927395
- Findings of increased PINCH protein in more advanced stages of human pancreatic ductal adenocarcinoma, as well as in metastatic tumours in the animal model, support the hypothesis that PINCH is an important controller of cell survival and migration. PMID: 20590912
- PINCH expression markedly increased in tumor-associated stroma in endometrioid carcinoma compared to normal endometrium and atypical endometrial hyperplasia; results suggest PINCH seems to play a role in tumorigenesis and development of endometrial cancer PMID: 20714146
- Assembly of the PINCH-ILK-CH-ILKBP complex precedes and is essential for localization of each component to cell-matrix adhesion sites PMID: 12432066
- PINCH1 and ILK are essential for prompt cell spreading and motility; PINCH1 and ILK, like alpha-parvin, are crucial for cell survival; PINCH1 and ILK are required for optimal activating phosphorylation of PKB/Akt of the survival pathway PMID: 14551191
- PINCH-1 functions as a molecular platform for coupling and uncoupling diverse cellular processes via overlapping but yet distinct domain interactions PMID: 15941716
- Up-regulation of PINCH protein in stroma may be involved in promoting invasion and metastasis in oral squamous cell cacinoma. PMID: 16273248
- PINCH-1, through its interaction with integrin-linked kinase, plays important role in regulating TGF-beta1-mediated epithelial-to-mesenchymal transition and could be potential future therapeutic target to prevent progression of renal disease. PMID: 17656471
- PINCH-1 contributes to apoptosis resistance through suppression of Bim. Mechanistically, PINCH-1 suppresses Bim not only transcriptionally but also post-transcriptionally. PMID: 18063582
- PINCH expression may be involved in glioma development and differentiation. PMID: 18187956
- observations that PINCH is robustly expressed in the CNS of HIV patients suggests an important role for PINCH in HIV-associated neurodegenerative processes PMID: 18459134
- PINCH protein is overexpressed in tumor-associated stroma of esophageal squamous cell carcinoma. PMID: 18957717
- zincs are coordinated by PINCH1 LIM1, and suggests that conformational flexibility and twisting between the 2 zinc fingers within the LIM1 domain may be important for ILK binding. PMID: 19074270
顯示更多
收起更多
-
亞細胞定位:Cell junction, focal adhesion. Cell membrane; Peripheral membrane protein; Cytoplasmic side.
-
組織特異性:Expressed in most tissues except in the brain.
-
數據庫鏈接:
Most popular with customers
-
-
YWHAB Recombinant Monoclonal Antibody
Applications: ELISA, WB, IHC, IF, FC
Species Reactivity: Human, Mouse, Rat
-
Phospho-YAP1 (S127) Recombinant Monoclonal Antibody
Applications: ELISA, WB, IHC
Species Reactivity: Human
-
-
-
-
-















