LIFR Antibody
-
中文名稱:LIFR兔多克隆抗體
-
貨號:CSB-PA620805
-
規格:¥1100
-
圖片:
-
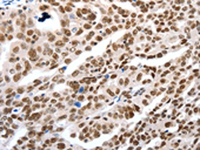
The image on the left is immunohistochemistry of paraffin-embedded Human colon cancer tissue using CSB-PA620805(LIFR Antibody) at dilution 1/15, on the right is treated with synthetic peptide. (Original magnification: ×200)
-
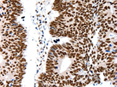
The image on the left is immunohistochemistry of paraffin-embedded Human ovarian cancer tissue using CSB-PA620805(LIFR Antibody) at dilution 1/15, on the right is treated with synthetic peptide. (Original magnification: ×200)
-
-
其他:
產品詳情
-
Uniprot No.:
-
基因名:
-
別名:CD118 antibody; CD118 antigen antibody; FLJ98106 antibody; FLJ99923 antibody; Leukemia inhibitory factor receptor alpha antibody; Leukemia inhibitory factor receptor antibody; LIF R antibody; LIF receptor antibody; LIF-R antibody; Lifr antibody; LIFR_HUMAN antibody; SJS2 antibody; STWS antibody; SWS antibody
-
宿主:Rabbit
-
反應種屬:Human
-
免疫原:Synthetic peptide of Human LIFR
-
免疫原種屬:Homo sapiens (Human)
-
標記方式:Non-conjugated
-
抗體亞型:IgG
-
純化方式:Antigen affinity purification
-
濃度:It differs from different batches. Please contact us to confirm it.
-
保存緩沖液:-20°C, pH7.4 PBS, 0.05% NaN3, 40% Glycerol
-
產品提供形式:Liquid
-
應用范圍:ELISA,IHC
-
推薦稀釋比:
Application Recommended Dilution ELISA 1:1000-1:5000 IHC 1:25-1:100 -
Protocols:
-
儲存條件:Upon receipt, store at -20°C or -80°C. Avoid repeated freeze.
-
貨期:Basically, we can dispatch the products out in 1-3 working days after receiving your orders. Delivery time maybe differs from different purchasing way or location, please kindly consult your local distributors for specific delivery time.
-
用途:For Research Use Only. Not for use in diagnostic or therapeutic procedures.
相關產品
靶點詳情
-
功能:Signal-transducing molecule. May have a common pathway with IL6ST. The soluble form inhibits the biological activity of LIF by blocking its binding to receptors on target cells.
-
基因功能參考文獻:
- High levels of LIFR in colorectal cancer (CRC) facilitated proliferation and migration of endothelial cells, resulting in an increase in angiogenic activity. Moreover, IL-8 was found to play a role in the LIFR induced angiogenesis. IL-8 levels were correlated with LIFR levels in CRC tissues, whereas depletion of IL-8 led to a reduced angiogenic activity of LIFR in CRC cells. PMID: 29751081
- These data indicate that miR-377-3p suppressed adipogenesis of human bone marrow mesenchymal stem cells by targeting LIFR, which provides novel insights into the molecular mechanism of miRNA-mediated cellular differentiation. PMID: 29959592
- High expression of LIFR is associated with preeclampsia. PMID: 29363569
- LIFR attenuates tumor metastasis by suppressing YAP expression, suggesting that LIFR may serve as a potential target for clear cell renal cell carcinoma treatment. PMID: 29902078
- Data show that lncRNA-CTD-2108O9.1 represses metastasis by targeting leukemia inhibitory factor receptor (LIFR). PMID: 29603493
- Significant reduction in LIFR expression and the reduced activation of subsequent signaling strongly suggest a working model of how the implantation markers, LIF, may affect the endometrium of patients with adenomyosis. PMID: 27903796
- Expression of cancer-specific glycan epitopes represents an excellent opportunity for diagnostics and potentially specific detection of tumors. Here, we report four proteins (LIFR, CE350, VP13A, HPT) found in sera from pancreatic cancer patients carrying aberrant glycan structures as compared to those of controls. PMID: 28244758
- Authors demonstrate heterozygous novel or rare LIFR mutations in 3.3% of CAKUT patients, and provide evidence that Lifr deficiency and deactivating LIFR mutations cause highly similar anomalies of the urogenital tract in mice and humans. PMID: 28334964
- LIFR inhibited the expression of beta-catenin. PMID: 27375070
- The Leukemia Inhibitory Factor Receptor Gene Is a Direct Target of RUNX1 PMID: 26060100
- We report the case of a girl with Stuve-Wiedemann syndrome confirmed on molecular analysis. PMID: 25868946
- The C65S mutant LIFR showed altered glycosylation and an elevated expression level that might be attributed to a slow turnover of the mutant form. PMID: 26285796
- High LIFr expression stimulates melanoma cell migration and is associated with unfavorable prognosis in melanoma. PMID: 26329521
- Stuve-Wiedemann syndrome patients with (p.Arg692X) LIFR mutation may develop central adrenal insufficiency due to impaired LIF/LIFR signalling. LIF/LIFR system plays a role in human HPA axis regulation. PMID: 25145448
- these findings conclude that LIFR functions as a novel metastasis suppressor in Hepatocellular carcinoma and may serve as a prognostic biomarker for Hepatocellular carcinoma patients. PMID: 26249360
- LIFR may play a functional role in hepatocarcinogenesis PMID: 25749520
- Expression of the LIF receptor was strongly increased on immune cells of multiple sclerosis patients. PMID: 25514345
- The LIFRalpha-CT3 TAT fusion protein can inhibit miR-155 expression PMID: 25092123
- LIFR signaling usually follows the JAK/STAT3 pathway, and is initiated by several interleukin-6-type cytokines PMID: 24618404
- R28E mutation in CNTF abrogatesIL-6 receptor-dependent but retains CNTF receptor-dependent signaling via glycoprotein 130/ LIFR. PMID: 24802752
- LIFR rs3729740 and possibly ANXA11 rs1049550 may be useful as biomarkers for predicting whether metastatic colorectal cancer patients are sensitive to relevant target regimens, although further validation in large cohorts is needed. PMID: 23579219
- Because acute ventricle enlargement is observed in susceptible CD118-deficient mice, the phenomenon may occur in a subpopulation of human adults with herpes simplex encephalitis. PMID: 23382563
- findings show that LIFR is a key novel tumor suppressor, whose deregulation may drive the transformation of a significant proportion of human breast cancers PMID: 22535017
- findings identify LIFR as a metastasis suppressor that functions through the Hippo-YAP pathway and has significant prognostic power. PMID: 23001183
- A unique loop structure in oncostatin M determines binding affinity toward oncostatin M receptor and leukemia inhibitory factor receptor. PMID: 22829597
- A significant association was detected between the LIFR gene polymorphisms and schizophrenia patients with persecutory delusion PMID: 21971603
- LIF and LIFR immunolocalized to decidual cells in the mid-late secretory phase endometrium and 1st trimester decidua. PMID: 21966484
- These results demonstrate that cancer-specific methylation and a specific decrease of LIFR expression are a common inactivation event in colon cancer development. PMID: 21617854
- Down regulation of Leukemia inhibitory factor receptor is associated with hepatocellular carcinoma. PMID: 19733004
- The present study indicated that the LIF gene variant may produce susceptibility to hebephrenic schizophrenia and deterioration of working memory function. PMID: 19879916
- Review. The structure and function of the LIF-R gene and protein, mRNA processing, and its role in tumor cells are reviewed. PMID: 11042511
- upper cytokine-binding module and the Ig-like domain of the leukaemia inhibitory factor (LIF) receptor are sufficient for a functional LIF receptor complex PMID: 11812136
- Separate functions for the two modules of the membrane-proximal cytokine binding domain of glycoprotein 190, the leukemia inhibitory factor low affinity receptor, in ligand binding and receptor activation (gp190) PMID: 11834739
- interactions of CNTFR with LIFR and gp130 in vitro PMID: 12707266
- mutations alter the stability of LIFR messenger RNA transcripts, resulting in the absence of the LIFR protein and in the impairment of the JAK/STAT3 signaling pathway in patient cells PMID: 14740318
- immunocytochemical staining and mRNA expression of LIF and its receptor are consistent with the concept that LIF might be involved in growth initiation of human primordial follicles through its receptor PMID: 15044601
- In cells overexpressing a LIFR mutant with the N-terminal cytokine binding domain deleted, signaling by ciliary neurotrophic factor was abolished. PMID: 16051226
- Expression of leukemia inhibitory factor and its receptor is low in undifferentiated human embryonic stem cells but increases during differentiation. PMID: 16949591
- sOSMR is able to bind OSM and interleukin-31 when associated to soluble gp130 or soluble interleukin-31R, respectively, and to neutralize both cytokine properties PMID: 17028186
- Results present the biophysical and structural characterization of the full-length, transmembrane form of a quaternary cytokine receptor complex consisting of gp130, LIF-R, Ciliary Neurotrophic Factor (CNTF), and its alpha receptor (CNTF-Ralpha). PMID: 18775332
顯示更多
收起更多
-
相關疾病:Stueve-Wiedemann syndrome (STWS)
-
亞細胞定位:[Isoform 1]: Cell membrane; Single-pass type I membrane protein.; [Isoform 2]: Secreted.
-
蛋白家族:Type I cytokine receptor family, Type 2 subfamily
-
數據庫鏈接:
Most popular with customers
-
-
YWHAB Recombinant Monoclonal Antibody
Applications: ELISA, WB, IHC, IF, FC
Species Reactivity: Human, Mouse, Rat
-
Phospho-YAP1 (S127) Recombinant Monoclonal Antibody
Applications: ELISA, WB, IHC
Species Reactivity: Human
-
-
-
-
-















