LGMN Antibody
-
中文名稱:LGMN兔多克隆抗體
-
貨號:CSB-PA012903LA01HU
-
規格:¥440
-
圖片:
-
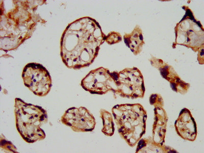
IHC image of CSB-PA012903LA01HU diluted at 1:600 and staining in paraffin-embedded human placenta tissue performed on a Leica BondTM system. After dewaxing and hydration, antigen retrieval was mediated by high pressure in a citrate buffer (pH 6.0). Section was blocked with 10% normal goat serum 30min at RT. Then primary antibody (1% BSA) was incubated at 4°C overnight. The primary is detected by a biotinylated secondary antibody and visualized using an HRP conjugated SP system.
-
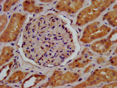
IHC image of CSB-PA012903LA01HU diluted at 1:600 and staining in paraffin-embedded human kidney tissue performed on a Leica BondTM system. After dewaxing and hydration, antigen retrieval was mediated by high pressure in a citrate buffer (pH 6.0). Section was blocked with 10% normal goat serum 30min at RT. Then primary antibody (1% BSA) was incubated at 4°C overnight. The primary is detected by a biotinylated secondary antibody and visualized using an HRP conjugated SP system.
-
-
其他:
產品詳情
-
產品名稱:Rabbit anti-Homo sapiens (Human) LGMN Polyclonal antibody
-
Uniprot No.:
-
基因名:
-
別名:AEP antibody; Asparaginyl endopeptidase antibody; cysteine 1 antibody; Cysteine protease 1 antibody; EC 3.4.22.34 antibody; Legumain antibody; LGMN antibody; LGMN_HUMAN antibody; LGMN1 antibody; Protease antibody; Protease cysteine 1 (legumain) antibody; Protease cysteine 1 antibody; PRSC1 antibody
-
宿主:Rabbit
-
反應種屬:Human
-
免疫原:Recombinant Human Legumain protein (199-312AA)
-
免疫原種屬:Homo sapiens (Human)
-
標記方式:Non-conjugated
本頁面中的產品,LGMN Antibody (CSB-PA012903LA01HU),的標記方式是Non-conjugated。對于LGMN Antibody,我們還提供其他標記。見下表:
-
克隆類型:Polyclonal
-
抗體亞型:IgG
-
純化方式:>95%, Protein G purified
-
濃度:It differs from different batches. Please contact us to confirm it.
-
保存緩沖液:Preservative: 0.03% Proclin 300
Constituents: 50% Glycerol, 0.01M PBS, pH 7.4 -
產品提供形式:Liquid
-
應用范圍:ELISA, IHC
-
推薦稀釋比:
Application Recommended Dilution IHC 1:500-1:1000 -
Protocols:
-
儲存條件:Upon receipt, store at -20°C or -80°C. Avoid repeated freeze.
-
貨期:Basically, we can dispatch the products out in 1-3 working days after receiving your orders. Delivery time maybe differs from different purchasing way or location, please kindly consult your local distributors for specific delivery time.
-
用途:For Research Use Only. Not for use in diagnostic or therapeutic procedures.
相關產品
靶點詳情
-
功能:Has a strict specificity for hydrolysis of asparaginyl bonds. Can also cleave aspartyl bonds slowly, especially under acidic conditions. Required for normal lysosomal protein degradation in renal proximal tubules. Required for normal degradation of internalized EGFR. Plays a role in the regulation of cell proliferation via its role in EGFR degradation. May be involved in the processing of proteins for MHC class II antigen presentation in the lysosomal/endosomal system.
-
基因功能參考文獻:
- Studies identified Legumain (LGMN) as a new target which is highly expressed in the tumor microenvironment and in tumor cells. [review] PMID: 27993111
- our results suggest that M2 tumour-associated macrophages affect degradation of the extracellular matrix and angiogenesis via overexpression of legumain, and therefore play an active role in the progression of DLBCL. PMID: 27464733
- Legumain regulates oxLDL-induced macrophage apoptosis by enhancing the autophagy pathway. PMID: 29414692
- MiRNA-3978 regulates peritoneal gastric cancer metastasis by targeting legumain expression, promoting cell migration/neoplasm invasiveness. PMID: 27793040
- These results showed that Asparaginyl endopeptidase could promote invasion and metastasis by modulating epithelial-to-mesenchymal transition. PMID: 27102302
- Our data suggest that altered proteolytic activity of legumain in the bone microenvironment contributes to decreased bone mass in postmenopausal osteoporosis. PMID: 28162997
- Legumain is increased in both plasma and plaques of patients with carotid stenosis and might be a new and early biomarker of atherosclerosis. PMID: 27940038
- Data suggest that melanoma cells internalize/absorb cystatin C from culture media, leading to increased intracellular cystatin C levels; cystatin E/M is internalized as well but at modest rate due to down-regulation of cell migration; however, the effect of intracellular cystatin E/M on down-regulation of legumain activity is pronounced. PMID: 28630039
- AEP is activated and cleaves human alpha-synuclein at N103 in an age-dependent manner. PMID: 28671665
- AEP promotes activation of the PI3K-AKT signaling pathway in prostate cancer cells. PMID: 27590439
- upregulation of legumain is associated with malignant behavior of uveal melanoma. PMID: 26846877
- Studies indicate that legumain, usually in lysosomes, is also found extracellularly and even translocates to the cytosol and the nucleus. PMID: 26403494
- legumain might play an important role in cervical cancer cell migration and invasion. PMID: 26802645
- Legumain appears to be involved in tumor development and deterioration. PMID: 26607955
- AEP acts as a delta-secretase, cleaving APP at N373 and N585 residues, selectively influencing the amyloidogenic fragmentation of APP. AEP contributes to the age-dependent pathogenic mechanisms in Alzheimer disease. PMID: 26549211
- High legumain expression is associated with breast cancer. PMID: 25605174
- This unique feature was confirmed by the crystal structure of AEPpH4.5 (AEP was matured at pH 4.5 and crystallized at pH 8.5), in which the broken peptide bonds were religated and the structure was transformed back to its proenzyme form. PMID: 24407422
- High legumain activity is associated with breast cancer. PMID: 24742492
- AEP acts as a crucial mediator of tau-related clinical and neuropathological changes. PMID: 25326800
- Identified an alternative oncogenic pathway for TRAF6 that uses AEP as its substrate. AEP and TRAF6 protein levels may have prognostic implications in breast cancer patients. Thus, AEP may serve as a biomarker as well as new therapeutic target PMID: 24610907
- the relationship among Legumain expression, clinicopathologic, biological variables and patient prognosis in gastric carcinoma PMID: 24023813
- HCT116 cells were transfected with p53 siRNA and the effect of knockdown of p53 expression on legumain expression was examined. The results showed that expression levels of both legumain mRNA and protein were decreased in the siRNA-treated cells. PMID: 23942113
- Prostate cancer with a vesicular staining pattern of legumain had the potential of being highly invasive and aggressive in patients treated with radical prostatectomy. This suggests that legumain might contribute to the invasiveness and aggressiveness. PMID: 23124822
- The multibranched and context-dependent activation process of legumain illustrates how proteases can act not only as signal transducers but as decision makers. PMID: 23776206
- Involvement of brain acidosis in the etiopathogenesis of Alzheimer disease, and the asparaginyl endopeptidase-I2(PP2A)-protein phosphatase 2A-Tau hyperphosphorylation pathway. PMID: 23640887
- glycosaminoglycans accelerated the autocatalytic activation of prolegumain PMID: 23160071
- In the HCT116 and SW620 cell lines nuclear Data indicate that legumain was found to make up approximately 13% and 17% of the total legumain, respectively. PMID: 23326369
- Data show a regulatory role of cystatin E/M in controlling both intra- and extracellular legumain activity. PMID: 22902879
- TDP-43 is cleaved by AEP in brain. PMID: 22718532
- Increased legumain expression was validated by real-time PCR and Western blots, correlated positively with an increased malignancy of ovarian tumors. PMID: 22441772
- Accepting asparagines and, to lesser extent, aspartic acid in P1, super-activated legumain exhibits a marked pH dependence that is governed by the P1 residue of its substrate and conformationally stabilizing factors such as temperature or ligands PMID: 22232165
- GARP is a key receptor controlling FOXP3 in T(reg) cells following T-cell activation in a positive feedback loop assisted by LGALS3 and LGMN PMID: 19453521
- The Lgmn can serve as novel target in diabetes mellitus genetic therapy. PMID: 20536387
- the level of cystatin E/M regulates legumain activity and hence the invasive potential of human melanoma cells PMID: 20074384
- Legumain is expressed in both murine and human atherosclerotic lesions, may play a functional role in atherogenesis PMID: 18377911
- human monocyte-derived dendritic cells harbor inactive proforms of AEP (legumain) that become activated upon maturation of dendritic cells with lipopolysaccharide PMID: 12860980
- Freshly isolated human B lymphocytes lack significant asparagine-specific endoprotease (AEP/legumain) activity; cleavage by AEP is dispensable for proteolytic processing of myelin basic protein in this type of cell. PMID: 15100291
- Increased legumain expression is associated with primary colorectal cancer PMID: 15788679
- AEP may be a proteinases activated by acidosis triggering neuronal injury during neuroexcitotoxicity or ischemia. PMID: 18374643
顯示更多
收起更多
-
亞細胞定位:Lysosome.
-
蛋白家族:Peptidase C13 family
-
組織特異性:Ubiquitous. Particularly abundant in kidney, heart and placenta.
-
數據庫鏈接:
Most popular with customers
-
-
YWHAB Recombinant Monoclonal Antibody
Applications: ELISA, WB, IHC, IF, FC
Species Reactivity: Human, Mouse, Rat
-
Phospho-YAP1 (S127) Recombinant Monoclonal Antibody
Applications: ELISA, WB, IHC
Species Reactivity: Human
-
-
-
-
-















