LGALS7 Antibody
-
中文名稱:LGALS7兔多克隆抗體
-
貨號:CSB-PA09727A0Rb
-
規格:¥440
-
圖片:
-
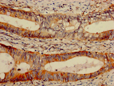
IHC image of CSB-PA09727A0Rb diluted at 1:1000 and staining in paraffin-embedded human colon cancer performed on a Leica BondTM system. After dewaxing and hydration, antigen retrieval was mediated by high pressure in a citrate buffer (pH 6.0). Section was blocked with 10% normal goat serum 30min at RT. Then primary antibody (1% BSA) was incubated at 4°C overnight. The primary is detected by a biotinylated secondary antibody and visualized using an HRP conjugated SP system.
-
-
其他:
產品詳情
-
產品名稱:Rabbit anti-Homo sapiens (Human) LGALS7 Polyclonal antibody
-
Uniprot No.:
-
基因名:LGALS7
-
別名:Gal-7 antibody; GAL7 antibody; Galectin 7B antibody; Galectin-7 antibody; HKL-14 antibody; Human keratinocyte lectin 14 antibody; Keratinocyte lectin 14 antibody; Lectin galactoside binding soluble 7 antibody; Lectin; galactoside binding; soluble; 7B antibody; LEG7_HUMAN antibody; LGALS7 antibody; LGALS7A antibody; LGALS7B antibody; P53 induced protein 1 antibody; p53-induced gene 1 protein antibody; Pi7 antibody; PIG1 antibody; TP53I1 antibody
-
宿主:Rabbit
-
反應種屬:Human
-
免疫原:Recombinant Human Galectin-7 protein (2-136AA)
-
免疫原種屬:Homo sapiens (Human)
-
標記方式:Non-conjugated
本頁面中的產品,LGALS7 Antibody (CSB-PA09727A0Rb),的標記方式是Non-conjugated。對于LGALS7 Antibody,我們還提供其他標記。見下表:
-
克隆類型:Polyclonal
-
抗體亞型:IgG
-
純化方式:>95%, Protein G purified
-
濃度:It differs from different batches. Please contact us to confirm it.
-
保存緩沖液:Preservative: 0.03% Proclin 300
Constituents: 50% Glycerol, 0.01M PBS, PH 7.4 -
產品提供形式:Liquid
-
應用范圍:ELISA, IHC
-
推薦稀釋比:
Application Recommended Dilution IHC 1:1000-1:2000 -
Protocols:
-
儲存條件:Upon receipt, store at -20°C or -80°C. Avoid repeated freeze.
-
貨期:Basically, we can dispatch the products out in 1-3 working days after receiving your orders. Delivery time maybe differs from different purchasing way or location, please kindly consult your local distributors for specific delivery time.
-
用途:For Research Use Only. Not for use in diagnostic or therapeutic procedures.
相關產品
靶點詳情
-
功能:Could be involved in cell-cell and/or cell-matrix interactions necessary for normal growth control. Pro-apoptotic protein that functions intracellularly upstream of JNK activation and cytochrome c release.
-
基因功能參考文獻:
- Increased O-linked N-Acetyl-glucosamine (O-GlcNAc) is responsible for reduced Gal-7 expression in cultured human keratinocytes exposed to high glucose environment. PMID: 28526214
- We observed a significantly reduced overall survival for cases with high Gal-7 expression and a better survival for Gal-7 negative cases, when compared to cases with low expression of Gal-7. PMID: 28594391
- Data suggest that evaluation of galectin-7 could help guide postsurgical management for non-metastatic clear cell renal cell carcinoma (ccRCC). PMID: 27259255
- these findings reveal the existence of a positive self-amplification pathway that regulates intracellular gal-7 expression in breast and ovarian cancer cells. PMID: 29117220
- Gal-7 re-expression affects the regulation of molecular networks in cervical cancer that are involved in diverse cancer hallmarks, such as metabolism, growth control, invasion and evasion of apoptosis PMID: 27558259
- Measurement of scGal-7 content in tape-stripped samples was useful for the evaluation of the skin barrier function in dry skin conditions such as AD PMID: 27028525
- Data indicate that the galectin inhibitor specifically binds galectin-7 (hGal-7), disrupts the formation of homodimers, and inhibits the pro-apoptotic activity of hGal-7 on Jurkat T cells. PMID: 26543238
- Galectin-7 regulates keratinocytes proliferation and differentiation through JNK1 pathway. PMID: 26763438
- The assessment of a carbohydrate-recognition domain (CRD)-defective mutant form of gal-7 (R7S) showed that the ability of this protein to modulate apoptosis was independent of its CRD activity. PMID: 26168167
- our study validates the clinical significance of gal-7 overexpression in ovarian cancer PMID: 25277199
- Cytosolic galectin-7 impairs p53 functions and induces chemoresistance in breast cancer cells. PMID: 25367122
- Galectin-7 is produced by the premenstrual and menstrual endometrium, where it accumulates in menstrual fluid and likely acts as a paracrine factor to facilitate post-menstrual endometrial re-epithelialization. PMID: 24782449
- Understanding how these dendrimeric compounds interact with hGal-7 would help in the design of new tools to investigate the recognition of carbohydrates by lectins. PMID: 25367374
- galectin-7 is a potential predictive marker of chemotherapy and/or radiotherapy resistance in patients with oral squamous cell carcinoma PMID: 24515895
- galectin-7 may have a role in amyloidogenesis of primary localized cutaneous amyloidosis PMID: 25172508
- C/EBPbeta is an important mediator of galectin-7 gene activation in breast cancer cells PMID: 24789216
- Galectin-7 is produced by endometrial epithelium. It is elevated in the endometrium of women with history of miscarriage. We suggest that galectin-7 facilitates adhesion of embryo to endometrium. Elevated galectin-7 may result in abnormal adhesion. PMID: 24522232
- galectin-7 may play important roles in downregulating the functions of T lymphocytes after UVB irradiation PMID: 24134186
- galectin-7 has a tumor suppressive function, and that the gene is epigenetically modified by DNA methylation and significantly down-regulated in gastric cancer. PMID: 23985992
- Suggest that the differences in galectin-7 expression and subcellular and extracellular distribution may be crucially involved in the pathogenic process of hypertrophic scars. PMID: 23493985
- galectin-7 could be part of a common pathway used by mutant p53 to promote cancer progression PMID: 23967302
- The results indicate that lactose binding to human Gal-7 induces long-range effects (minor conformational shifts and changes in structural dynamics) throughout the protein that result in stabilization of the dimer state, with evidence for positive cooperativity. PMID: 23376190
- High GAL-7 expression is associated with epithelial ovarian cancer. PMID: 23564797
- Knocking down galectin-7 or S100A9 enhanced tumor cell invasion. PMID: 22864818
- Because residual cholesteatoma matrix is considered to be one of the main causes of cholesteatoma recurrence, staining with galectin-7 at the time of operation would be a promising way to facilitate complete removal of the residue PMID: 22377647
- Extracellular superoxide dismutase plays a role not only as a reactive oxygen species scavenger, but also as a pro-apoptotic factor via COX-2/galectin-7 pathways in the epidermis. PMID: 22251572
- high resolution crystal structure of Gal-7 at 1.4 A (a dimer) and its 1.7 A structure in complex with an inhibitor, a sulfur-containing 2-O-benzylphosphate galactoside, a possible antineoplastic agent PMID: 22059385
- Data suggest that the binding of Galectin 7 to Bcl-2 may constitute a new target for enhancing the intrinsic apoptosis pathway. PMID: 21289092
- Galectin-7 modulates the length of the primary cilia and wound repair in polarized kidney epithelial cells. PMID: 21677144
- Data show that high levels of galectin-7 expression in breast cancer cells drastically increased their ability to metastasize to lungs and bones, and were restricted to high-grade breast carcinomas. PMID: 20382700
- Proteomics analysis revealed that galectin-7 was highly expressed in esophageal squamous cell carcinoma and could be used as a potential biomarker. PMID: 20546628
- Data show that Galectine-7 gene was 8 times up-regulated in bronchial epithelial cells from asthmatic children after RSV infection in vitro and overexpressed in bronchial epithelial cells in asthma in vivo. PMID: 17044979
- galectin-7 increases the expression of MMP-9 through the p38 MAPK signaling pathway PMID: 19885589
- GAL7 is a negative growth regulator for human neuroblastoma cells. PMID: 13679866
- High levels of galectin 7 expression were associated with rapid recurrence rates in hypopharyngeal cancer PMID: 16788763
- there was no significant difference in Galectin 7 expression in thyroid tissue in thyroid cancer cases compared to non-cancer cases PMID: 18418527
- Gal-7 influence on differentiation in vivo, without evidence for a role in dissemination in head and neck squamous and basal cell carcinomas PMID: 19012243
- abnormal expression of galectin-7 in lymphoma cells is not dependent on p53, but is rather associated with DNA hypomethylation. PMID: 19596268
顯示更多
收起更多
-
亞細胞定位:Cytoplasm. Nucleus. Secreted. Note=May be secreted by a non-classical secretory pathway.
-
組織特異性:Mainly expressed in stratified squamous epithelium.
-
數據庫鏈接:
Most popular with customers
-
-
YWHAB Recombinant Monoclonal Antibody
Applications: ELISA, WB, IHC, IF, FC
Species Reactivity: Human, Mouse, Rat
-
-
-
-
-
-















