LGALS4 Antibody
-
中文名稱:LGALS4兔多克隆抗體
-
貨號:CSB-PA012889LA01HU
-
規格:¥440
-
圖片:
-
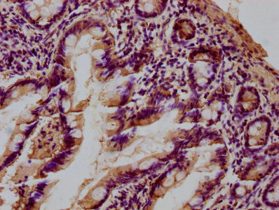
IHC image of CSB-PA012889LA01HU diluted at 1:100 and staining in paraffin-embedded human small intestine tissue performed on a Leica BondTM system. After dewaxing and hydration, antigen retrieval was mediated by high pressure in a citrate buffer (pH 6.0). Section was blocked with 10% normal goat serum 30min at RT. Then primary antibody (1% BSA) was incubated at 4°C overnight. The primary is detected by a biotinylated secondary antibody and visualized using an HRP conjugated SP system.
-
Immunofluorescence staining of A549 cells with CSB-PA012889LA01HU at 1:50, counter-stained with DAPI. The cells were fixed in 4% formaldehyde, permeabilized using 0.2% Triton X-100 and blocked in 10% normal Goat Serum. The cells were then incubated with the antibody overnight at 4°C. The secondary antibody was Alexa Fluor 488-congugated AffiniPure Goat Anti-Rabbit IgG(H+L).
-
-
其他:
產品詳情
-
產品描述:
The Rabbit anti-Homo sapiens (Human) LGALS4 Polyclonal antibody is produced in rabbits using Recombinant Human Galectin-4 protein (1-323AA). It is validated for ELISA, IF, and IHC. This antibody reacts with Human Galectin-4 (LGALS4), a protein involved in intracellular and intercellular interactions.
Galectin-4 belongs to a family of proteins that bind to beta-galactoside. It plays a role in cancer and inflammatory diseases of the intestine.
The levels of Galectin-4 in the body have been shown to rise as cancer progresses, making it a possible tumor marker. In inflammatory diseases of the intestine, Galectin-4 stimulates the production of mediators that worsen inflammation.
The Rabbit anti-Homo sapiens (Human) LGALS4 Polyclonal Antibody can be used in research to detect the presence of Galectin-4, a possible tumor marker. -
產品名稱:Rabbit anti-Homo sapiens (Human) LGALS4 Polyclonal antibody
-
Uniprot No.:
-
基因名:
-
別名:Antigen NY CO 27 antibody; Antigen NY-CO-27 antibody; Antigen NYCO27 antibody; GAL 4 antibody; Gal-4 antibody; GAL4 antibody; Galectin 4 antibody; Galectin-4 antibody; Galectin4 antibody; Homo sapiens galectin4 mRNA complete cds antibody; L 36 lactose binding protein antibody; L-36 lactose-binding protein antibody; L36 lactose binding protein antibody; L36LBP antibody; Lactose binding lectin 4 antibody; Lactose-binding lectin 4 antibody; Lectin galactoside binding soluble 4 antibody; LEG4_HUMAN antibody; LGALS4 antibody
-
宿主:Rabbit
-
反應種屬:Human
-
免疫原:Recombinant Human Galectin-4 protein (1-323AA)
-
免疫原種屬:Homo sapiens (Human)
-
標記方式:Non-conjugated
本頁面中的產品,LGALS4 Antibody (CSB-PA012889LA01HU),的標記方式是Non-conjugated。對于LGALS4 Antibody,我們還提供其他標記。見下表:
-
克隆類型:Polyclonal
-
抗體亞型:IgG
-
純化方式:Antigen Affinity Purified
-
濃度:It differs from different batches. Please contact us to confirm it.
-
保存緩沖液:Preservative: 0.03% Proclin 300
Constituents: 50% Glycerol, 0.01M PBS, pH 7.4 -
產品提供形式:Liquid
-
應用范圍:ELISA, IHC, IF
-
推薦稀釋比:
Application Recommended Dilution IHC 1:20-1:200 IF 1:50-1:200 -
Protocols:
-
儲存條件:Upon receipt, store at -20°C or -80°C. Avoid repeated freeze.
-
貨期:Basically, we can dispatch the products out in 1-3 working days after receiving your orders. Delivery time maybe differs from different purchasing way or location, please kindly consult your local distributors for specific delivery time.
-
用途:For Research Use Only. Not for use in diagnostic or therapeutic procedures.
相關產品
靶點詳情
-
功能:Galectin that binds lactose and a related range of sugars. May be involved in the assembly of adherens junctions.
-
基因功能參考文獻:
- Data show that galectin-4 expressing tumor cells interact directly with red blood cells (RBCs). PMID: 28293788
- Haplotype formed from two promoter SNPs rs116896264 and rs73933062 is associated with galectin-4 overexpression in colorectal cancer. PMID: 26681582
- LGALS4 may function as a tumor suppressor gene in UC progression. Findings provide evidence that methylation-mediated LGALS4 gene repression may be involved in urothelial tumor progression. PMID: 28423602
- Together, the data demonstrated that surface-bound galectin-4 is a dual function protein-down-regulating cell proliferation and chemokine secretion in galectin-4-expressing colorectal cancer cells on one hand and inducing apoptosis in galectin-4-negative colorectal cancer cells on the other hand. PMID: 28345468
- The carbohydrate-binding site is composed of residues His236, Asn238, Arg240, Asn249, Trp256, Glu259 and Lys261 at the strands S4, S5 and S6. PMID: 26432949
- The data suggests that arm-Gal4 has detrimental effects on Drosophila development and lifespan that are directly dependent upon parental inheritance PMID: 26505429
- The co-expression of galectin-4 and CNT3 proteins is not impaired in inflamed colon from patients with Crohn's disease, thereby anticipating the integrity of this system for drug targeting. PMID: 26481311
- Structural characterization of human galectin 4 C-terminal domain in terms its ligands binding specificity has been reported. PMID: 26077389
- role in basolateral to apical epithelial transcytosis PMID: 25179596
- The results show galectin-4 expression closely associates with hepatocellular carcinoma (HCC) progression and might have potential use as a prognostic biomarker for HCC patients. PMID: 25230111
- Galectin-4 plays an important role in metastatic process of lung adenocarcinoma. PMID: 24339976
- Data indicate that galectin-4 elicits tumor promotion in vitro and in vivo through activation of IL-6/NF-kappaB/STAT3 signaling. PMID: 23378274
- Loss of Galectin-4 is associated with colorectal cancer. PMID: 21064109
- crystals of galectin-4 belonged to space group P6(1)22, with unit-cell parameters a = b = 71.25, c = 108.66 A. PMID: 20445255
- microarray study in sinonasal adenocarcinoma we identified proteins, LGALS4 that is significantly differentially expressed in tumors compared to normal tissue PMID: 19903339
- results suggest that galectin-4 has a unique carbohydrate binding specificity and interacts with O-linked sulfoglycans PMID: 11971864
- SB1a and CEA in the patches on the cell surface of human colon adenocarcinoma cells could be biologically important ligands for galectin-4 PMID: 15546874
- Together, our data propose that interaction between galectin-4 and sulfatides plays a functional role in the clustering of lipid rafts for apical delivery. PMID: 15883199
- Galectin 4 induces surface phosphatidylserine exposure in a carbohydrate-dependent fashion in activated, but not resting, human neutrophils and in several leukocyte cell lines. PMID: 16940423
- not only sulfated glycosphingolipids but also cholesterol 3-sulfate are endogenous ligands for galectin-4 in vivo PMID: 17545668
- chemical analysis of talose-selectivity of galectin-4 and galectin-8 PMID: 18539029
- Data show that the pattern of N-glycosylation of glycoproteins serves as a recognition signal for endocytosed galectin-4, which drives the raft-dependent apical pathway of glycoproteins in enterocyte-like HT-29 cells. PMID: 19192249
顯示更多
收起更多
-
數據庫鏈接:
Most popular with customers
-
-
YWHAB Recombinant Monoclonal Antibody
Applications: ELISA, WB, IHC, IF, FC
Species Reactivity: Human, Mouse, Rat
-
Phospho-YAP1 (S127) Recombinant Monoclonal Antibody
Applications: ELISA, WB, IHC
Species Reactivity: Human
-
-
-
-
-















