LGALS3 Antibody
-
中文名稱:LGALS3兔多克隆抗體
-
貨號:CSB-PA168758
-
規格:¥1100
-
圖片:
-
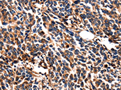
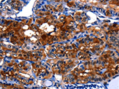
The image on the left is immunohistochemistry of paraffin-embedded Human breast cancer tissue using CSB-PA168758(LGALS3 Antibody) at dilution 1/5, on the right is treated with fusion protein. (Original magnification: ×200)
-
The image on the left is immunohistochemistry of paraffin-embedded Human thyroid cancer tissue using CSB-PA168758(LGALS3 Antibody) at dilution 1/5, on the right is treated with fusion protein. (Original magnification: ×200)
-
Gel: 10%SDS-PAGE, Lysate: 30 μg, Lane 1-2: 231 cells, Hela cells, Primary antibody: CSB-PA168758(LGALS3 Antibody) at dilution 1/100, Secondary antibody: Goat anti rabbit IgG at 1/8000 dilution, Exposure time: 90 seconds
-
-
其他:
產品詳情
-
Uniprot No.:
-
基因名:
-
別名:35 kDa lectin antibody; Carbohydrate binding protein 35 antibody; Carbohydrate-binding protein 35 antibody; CBP 35 antibody; CBP35 antibody; Gal-3 antibody; GAL3 antibody; Galactose-specific lectin 3 antibody; Galactoside-binding protein antibody; GALBP antibody; Galectin 3 internal gene,included antibody; Galectin-3 antibody; Galectin3 antibody; GALIG antibody; GBP antibody; IgE binding protein antibody; IgE-binding protein antibody; L 31 antibody; L 34 antibody; L-31 antibody; L-34 galactoside-binding lectin antibody; L31 antibody; Laminin-binding protein antibody; Lectin L-29 antibody; Lectin, galactose binding, soluble 3 antibody; LEG3_HUMAN antibody; LGALS2 antibody; LGALS3 antibody; MAC 2 antigen antibody; Mac-2 antibody; Mac-2 antigen antibody; MAC2 antibody; Macrophage galactose-specific lectin antibody; MGC105387 antibody
-
宿主:Rabbit
-
反應種屬:Human,Mouse,Rat
-
免疫原:Fusion protein of Human LGALS3
-
免疫原種屬:Homo sapiens (Human)
-
標記方式:Non-conjugated
-
抗體亞型:IgG
-
純化方式:Antigen affinity purification
-
濃度:It differs from different batches. Please contact us to confirm it.
-
保存緩沖液:-20°C, pH7.4 PBS, 0.05% NaN3, 40% Glycerol
-
產品提供形式:Liquid
-
應用范圍:ELISA,WB,IHC
-
推薦稀釋比:
Application Recommended Dilution ELISA 1:1000-1:5000 WB 1:200-1:1000 IHC 1:10-1:50 -
Protocols:
-
儲存條件:Upon receipt, store at -20°C or -80°C. Avoid repeated freeze.
-
貨期:Basically, we can dispatch the products out in 1-3 working days after receiving your orders. Delivery time maybe differs from different purchasing way or location, please kindly consult your local distributors for specific delivery time.
-
用途:For Research Use Only. Not for use in diagnostic or therapeutic procedures.
相關產品
靶點詳情
-
功能:Galactose-specific lectin which binds IgE. May mediate with the alpha-3, beta-1 integrin the stimulation by CSPG4 of endothelial cells migration. Together with DMBT1, required for terminal differentiation of columnar epithelial cells during early embryogenesis. In the nucleus: acts as a pre-mRNA splicing factor. Involved in acute inflammatory responses including neutrophil activation and adhesion, chemoattraction of monocytes macrophages, opsonization of apoptotic neutrophils, and activation of mast cells. Together with TRIM16, coordinates the recognition of membrane damage with mobilization of the core autophagy regulators ATG16L1 and BECN1 in response to damaged endomembranes.
-
基因功能參考文獻:
- results demonstrate that human resting NK cells express Gal-3 at both gene and protein levels and that the Gal-3 expression can be modulated upon cytokine stimulation. In the same cells, Gal-3 always localizes intracellularly and functionally correlates with the degree of NK cell degranulation. PMID: 29248489
- Interaction between galectin-3 and its potential inhibitor, bergenin, was studied using computational methods. PMID: 30276553
- It has been reported that the Galectin-3/NuMA interaction is functionally important for the spindle pole organization; spindle pole cohesion requires glycosylation-mediated localization of NuMA. PMID: 28469279
- The Mac-2-binding protein glycosylation isomer (M2BPGi), which is also known as Wisteria floribunda agglutinin-positive human Mac-2-binding protein, was recently established as a glycol-biomarker of liver fibrosis in patients with chronic hepatitis C with a unique fibrosis-related glycoalteration. PMID: 30128700
- Higher plasma galectin-3 levels were associated with an elevated risk of developing incident chronic kidney disease, particularly among those with hypertension. PMID: 28865675
- Pre-interventional plasma Galectin-3 levels are associated with left ventricular reverse remodeling and with clinical outcome after percutaneous mitral valve repair. PMID: 29678512
- Galectin-3 is significantly associated with functional capacity, cardiac function and adverse cardiovascular events in adults with congenital heart defects. PMID: 28942393
- Gene expression was analyzed for miR-1, miR-21, and galectin-3 in hypertensive patients with symptomatic heart failure and left ventricular hypertrophy. PMID: 29905364
- Serum expression of miR-1 and miR-21, and the concentration of gal-3 in systolic heart failure patients with different degrees of left ventricular dilatation. PMID: 29905365
- Serum galectin-3 is associated with coronary atherosclerosis and obstructive sleep apnoea syndrome (OSAS) severity in OSAS patients. PMID: 28150280
- Study demonstrates that mesenchymal stromal cells (MSC)-derived LGALS3 may be critical for important biological pathways for MSC homeostasis and for regulating AML cell localization and survival in the leukemia microenvironmental niche. PMID: 29655803
- Low expression of galectin-3 was detected in all patients with malignant gastrointestinal tumors irrespective of the presence of eosinophilia. PMID: 29926280
- These findings highlight a new role for Galectin 3 as a non-classic RNA-binding protein that regulates MUC4 mRNA post-transcriptionally. PMID: 28262838
- Galectin-3 is superior to sST2 in distinguishing HFpEF from controls and HFrEF. PMID: 30039808
- erum Gal-3 levels were significantly higher in breast cancer (BC) patients and did not significantly differ according to clinical and tumoral characteristics of patients. Furthermore, there was no difference in Gal-3 levels between breast patients with and without metastatic disease. PMID: 30249872
- Gal3 expression in regional lymph nodes might be associated with oral squamous cell carcinomas progression. The increased Gal3 expression in regional lymph nodes of larger tumors underlines the need of immunomodulatory treatment concepts in early-stage oral squamous cell carcinomas . Blocking of Gal3 might be a therapeutic option in oral cancer. PMID: 30115022
- High Gal-3 serum levels predict fibrosis of the atrial appendage. PMID: 28079145
- this study reviews the role of galectin-3 in Atrial Fibrillation mechanisms and its potential therapeutic implications. PMID: 29587379
- Our findings provide evidence that allele C of rs4652 and allele T of rs11125 in the galectin-3 gene may be risk factors for cervical cancer. PMID: 28848207
- High GAL-3 expression is associated with Salivary Gland Tumor. PMID: 29580041
- Galectin-3 is greatly reduced in patients with cutaneous lupus lesions compared with healthy controls, which may contribute to the recruitment of inflammatory cells in the skin. PMID: 29058991
- Progesterone receptor, EGFR, and galectin-3 are expressed differentially in uterine smooth muscle tumors. PMID: 29729689
- Galectin-3 belongs to a class of inflammatory mediators that is associated with the degree of myocardial inflammation and fibrosis. It is related to the severity of myocardial ischemia and is negatively correlated with the cardiac ejection fraction. PMID: 29287900
- Increased GAL-3 levels are an independent predictor of all-cause mortality in hemodialysis patients. PMID: 26787685
- High GAL3 expression is associated with oral squamous cell carcinomas. PMID: 29284429
- High expression level of Galectin-3 and low expression level of TRAIL were found to be positively correlated with the shorter median survival time and overall survival time. PMID: 28925481
- Galectin-3 is overexpressed in patients with thyroid nodules, and can be used for diagnostic imaging and therapeutic targeting of cancer patients. (Review) PMID: 29393868
- With emerging evidence to support the function and application of galectin3, the current review aims to summarize the latest literature regarding the biomarker characteristics and potential therapeutic application of galectin3 in associated diseases. PMID: 29207027
- Our results indicate that concomitant stimulation and colocalization of galectin-3 with CD147 are associated with increased gelatinolytic activity in the actively ulcerating human cornea PMID: 29340650
- Galectin-3 can be used as a biomarker for the prognosis evaluation of acute heart failure, and its combined analysis can increase the predictive value of NT-proBNP PMID: 29077153
- Galectin has been identified as a proinflammatory protein and modulates immune responses either as damage-associated molecular patterns or as pattern recognition receptors. PMID: 28828226
- Gal-3 was found to be significantly higher in the stroma of patients with H. pylori infection, mainly on Cag-A positive H. pylori, with chronic gastritis. PMID: 28939284
- The present study demonstrates a relationship between galectin-3 levels and total body fat, abdominal fat, body fat distribution, cardiac size and geometry, and increase in total body fat over 2 years in young children. PMID: 29327139
- Results suggest that galectin-3 could help to monitor the risk of short-term mortality in unselected patients with acute heart failure (AHF) attended in the emergency department (ED). PMID: 28406038
- Report establishes the functional significance of Gal-3 as a broad-spectrum upstream effector in osteoarthritis (OA). A positive correlation between cartilage degeneration and Gal-3 positivity in chondrocytes and the ECM was found. PMID: 27982117
- the secretion of galectin-3 as a novel mechanism for osteoblasts to control osteoclastogenesis and to maintain trabecular bone homeostasis independently of the RANKL/OPG-axis. PMID: 28822790
- Gal-3 plasma concentration was significantly higher in pulmonary arterial hypertension patients. PMID: 28826890
- Galectin-3 was associated with incident ischaemic stroke in younger but not older individuals. PMID: 28872212
- As MUC1 and galectin-3 are both commonly overexpressed in most types of epithelial cancers, their interaction and impact on EGFR activation likely makes important contribution to EGFR-associated tumorigenesis and cancer progression. PMID: 28731466
- serum Gal-3 is increased in Acute exacerbation of chronic obstructive pulmonary disease patients. PMID: 28947730
- High serum levels of galectin-3 were found in patients with schizophrenia compared with that in controls. PMID: 28698921
- N-linked glycoprotein maturation is not required for Gal-3 transport from the cytosol to the extracellular space, but is important for cell surface binding. Additionally, secreted Gal-3 is predominantly free and not packaged into extracellular vesicles. These data support a secretion pathway independent of N-linked glycoproteins and extracellular vesicles. PMID: 28775154
- NRG1 and Gal-3 were significantly more elevated in cancer patients than in healthy controls. PMID: 28430337
- discovery of site specific N-glycosylation changes of LGALS3BP in association of PDAC may provide useful clues to facilitate cancer detection or phenotype stratification PMID: 28627758
- Our findings establish gal-3 as a molecular regulator of the JAG1/Notch-1 signaling pathway and have direct implications for the development of strategies aimed at controlling tumor angiogenesis. PMID: 28533486
- findings reveal that differential levels of Gal-3 and Gal-8 expression and recruitment to Group A streptococcus (GAS) between epithelial cells and endothelial cells may contribute to the different outcomes of GAS elimination or survival and growth of GAS in these two types of cells. PMID: 28743815
- The methylation frequency of the galectin-3 promoter was significantly higher while galectin-3 mRNA was lower in acute-on-chronic hepatitis B liver failure (ACHBLF) than in chronic hepatitis B and healthy controls. The results suggest that hypermethylation of the galectin-3 promoter might be an early biomarker for predicting disease severity and prognosis in patients with ACHBLF. PMID: 28185839
- Serum Gal-3 and Nox4 levels were significantly elevated and correlated in 26 human pulmonary arterial hypertension patients when compared with 14 age- and sex-matched healthy controls. PMID: 28431936
- These results demonstrate Tsc2-deficient mesenchymal progenitors cause aberrant morphogenic signals, and identify an expression signature including Lgals3 relevant for human disease of TSC1/TSC2 inactivation and mTORC1 hyperactivity. PMID: 28695825
- Galectin-3 is a possible immunological target molecule of the pathogenic auto-antibodies PMID: 27339072
顯示更多
收起更多
-
亞細胞定位:Cytoplasm. Nucleus. Secreted.
-
組織特異性:A major expression is found in the colonic epithelium. It is also abundant in the activated macrophages. Expressed in fetal membranes.
-
數據庫鏈接:
Most popular with customers
-
-
YWHAB Recombinant Monoclonal Antibody
Applications: ELISA, WB, IHC, IF, FC
Species Reactivity: Human, Mouse, Rat
-
Phospho-YAP1 (S127) Recombinant Monoclonal Antibody
Applications: ELISA, WB, IHC
Species Reactivity: Human
-
-
-
-
-















