LEFTY2 Antibody
-
中文名稱:LEFTY2兔多克隆抗體
-
貨號:CSB-PA992989
-
規格:¥1100
-
圖片:
-
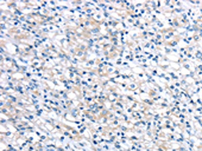
The image on the left is immunohistochemistry of paraffin-embedded Human liver cancer tissue using CSB-PA992989(LEFTY2 Antibody) at dilution 1/20, on the right is treated with fusion protein. (Original magnification: ×200)
-
The image on the left is immunohistochemistry of paraffin-embedded Human prostate cancer tissue using CSB-PA992989(LEFTY2 Antibody) at dilution 1/20, on the right is treated with fusion protein. (Original magnification: ×200)
-
Gel: 8%SDS-PAGE,Lysate: 40 μg,,Primary antibody: CSB-PA992989(LEFTY2 Antibody) at dilution 1/200 dilution,Secondary antibody: Goat anti rabbit IgG at 1/8000 dilution,Exposure time: 30 seconds
-
-
其他:
產品詳情
-
Uniprot No.:
-
基因名:
-
別名:EBAF antibody; Endometrial bleeding associated factor (left right determination factor A transforming growth factor beta superfamily) antibody; Endometrial bleeding associated factor antibody; Endometrial bleeding-associated factor antibody; Left right determination factor 2 antibody; Left right determination factor A antibody; Left-right determination factor 2 antibody; Left-right determination factor A antibody; LEFTA antibody; LEFTY 2 antibody; LEFTY2 antibody; LEFTYA antibody; LFTY2 transforming growth factor; beta -4 antibody; LFTY2; mouse; homolog of antibody; LFTY2_HUMAN antibody; MGC46222 antibody; Protein lefty 2 antibody; Protein lefty A antibody; Protein lefty-2 antibody; Protein lefty-A antibody; Protein lefty2 antibody; PSEC0024 antibody; TGF beta 4 antibody; TGF-beta-4 antibody; TGFB4 antibody; Transforming growth factor beta 4 antibody; Transforming growth factor beta-4 antibody
-
宿主:Rabbit
-
反應種屬:Human,Mouse
-
免疫原:Full length fusion protein
-
免疫原種屬:Homo sapiens (Human)
-
標記方式:Non-conjugated
-
抗體亞型:IgG
-
純化方式:Antigen affinity purification
-
濃度:It differs from different batches. Please contact us to confirm it.
-
保存緩沖液:-20°C, pH7.4 PBS, 0.05% NaN3, 40% Glycerol
-
產品提供形式:Liquid
-
應用范圍:ELISA,WB,IHC
-
推薦稀釋比:
Application Recommended Dilution ELISA 1:2000-1:5000 WB 1:500-1:2000 IHC 1:10-1:50 -
Protocols:
-
儲存條件:Upon receipt, store at -20°C or -80°C. Avoid repeated freeze.
-
貨期:Basically, we can dispatch the products out in 1-3 working days after receiving your orders. Delivery time maybe differs from different purchasing way or location, please kindly consult your local distributors for specific delivery time.
-
用途:For Research Use Only. Not for use in diagnostic or therapeutic procedures.
相關產品
靶點詳情
-
功能:Required for left-right (L-R) asymmetry determination of organ systems in mammals. May play a role in endometrial bleeding.
-
基因功能參考文獻:
- functional role of LEFTY during progesterone therapy for endometrial carcinoma PMID: 29268772
- LeftyA leads to disruption of Rac1 and Pak1 activity with subsequent actin depolymerization, cell softening and cell shrinkage. PMID: 27404958
- LEFTY2 down-regulates MKi67 expression and FAK activity, up-regulates miR-200a and E-cadherin, and is thus a powerful negative regulator of endometrial cell proliferation and migration. PMID: 27497669
- LEFTY2 regulates the expression and activity of ENaC in endometrial epithelial cells via SGK1. PMID: 27606670
- Lefty A may account for the tumor suppressive activity of human adult stem cells. PMID: 22469982
- Findings suggest that Lefty2 is negatively modulated by miR-302s in hESCs, which plays an important role in maintaining the balance between pluripotency and germ layer specification. PMID: 21266536
- Findings show that during embryonic development, EBAF/LEFTY B plays important roles in decidualization and embryo implantation. PMID: 21401636
- findings show that the TGFB4 (ebaf) mRNA has distinct tumor specific expression PMID: 9230066
- may provide a crucial signal for endometrial breakdown and bleeding by triggering expression of several matrix metalloproteinases PMID: 12215426
- nodal and the inhibitors of Nodal signaling, lefty-A and lefty-B, are down-regulated very early upon differentiation of human embryonic stem cells PMID: 15308665
- Addition of recombinant LEFTY-A to explants induced MMP-9 in most samples, a response prevented by ovarian steroids. PMID: 15536155
- LEFTY proteins, which are known to play a major role during mouse gastrulation, are transiently expressed during human embryonic stem cell differentiation. PMID: 17038673
顯示更多
收起更多
-
相關疾病:Left-right axis malformations (LRAM)
-
亞細胞定位:Secreted.
-
蛋白家族:TGF-beta family
-
組織特異性:Mesenchymal cells of the endometrial stroma.
-
數據庫鏈接:
Most popular with customers
-
-
YWHAB Recombinant Monoclonal Antibody
Applications: ELISA, WB, IHC, IF, FC
Species Reactivity: Human, Mouse, Rat
-
-
-
-
-
-















