LCN2 Antibody
-
中文名稱:LCN2兔多克隆抗體
-
貨號:CSB-PA076130
-
規格:¥1100
-
圖片:
-
The image on the left is immunohistochemistry of paraffin-embedded Human brain tissue using CSB-PA076130(LCN2 Antibody) at dilution 1/50, on the right is treated with synthetic peptide. (Original magnification: ×200)
-
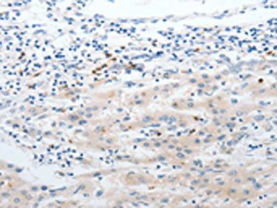
The image on the left is immunohistochemistry of paraffin-embedded Human liver cancer tissue using CSB-PA076130(LCN2 Antibody) at dilution 1/50, on the right is treated with synthetic peptide. (Original magnification: ×200)
-
-
其他:
產品詳情
-
Uniprot No.:
-
基因名:
-
別名:24p3 antibody; 25 kDa alpha 2 microglobulin related subunit of MMP9 antibody; 25 kDa alpha-2-microglobulin-related subunit of MMP-9 antibody; Alpha 2 microglobulin related protein antibody; HGNC:6526 antibody; HNL antibody; Lcn 2 antibody; Lcn2 antibody; Lipocalin-2 antibody; Migration stimulating factor inhibitor antibody; MSFI antibody; Neutrophil gelatinase associated lipocalin antibody; Neutrophil gelatinase associated lipocalin precursor antibody; Neutrophil gelatinase-associated lipocalin antibody; NGAL antibody; NGAL_HUMAN antibody; Oncogene 24p3 antibody; Oncogenic lipocalin 24p3 antibody; p25 antibody; Siderocalin antibody; siderocalin LCN2 antibody; SV40 induced 24P3 protein antibody; Uterocalin antibody
-
宿主:Rabbit
-
反應種屬:Human
-
免疫原:Synthetic peptide of Human LCN2
-
免疫原種屬:Homo sapiens (Human)
-
標記方式:Non-conjugated
-
抗體亞型:IgG
-
純化方式:Antigen affinity purification
-
濃度:It differs from different batches. Please contact us to confirm it.
-
保存緩沖液:-20°C, pH7.4 PBS, 0.05% NaN3, 40% Glycerol
-
產品提供形式:Liquid
-
應用范圍:ELISA,IHC
-
推薦稀釋比:
Application Recommended Dilution ELISA 1:2000-1:5000 IHC 1:25-1:100 -
Protocols:
-
儲存條件:Upon receipt, store at -20°C or -80°C. Avoid repeated freeze.
-
貨期:Basically, we can dispatch the products out in 1-3 working days after receiving your orders. Delivery time maybe differs from different purchasing way or location, please kindly consult your local distributors for specific delivery time.
-
用途:For Research Use Only. Not for use in diagnostic or therapeutic procedures.
相關產品
靶點詳情
-
功能:Iron-trafficking protein involved in multiple processes such as apoptosis, innate immunity and renal development. Binds iron through association with 2,3-dihydroxybenzoic acid (2,3-DHBA), a siderophore that shares structural similarities with bacterial enterobactin, and delivers or removes iron from the cell, depending on the context. Iron-bound form (holo-24p3) is internalized following binding to the SLC22A17 (24p3R) receptor, leading to release of iron and subsequent increase of intracellular iron concentration. In contrast, association of the iron-free form (apo-24p3) with the SLC22A17 (24p3R) receptor is followed by association with an intracellular siderophore, iron chelation and iron transfer to the extracellular medium, thereby reducing intracellular iron concentration. Involved in apoptosis due to interleukin-3 (IL3) deprivation: iron-loaded form increases intracellular iron concentration without promoting apoptosis, while iron-free form decreases intracellular iron levels, inducing expression of the proapoptotic protein BCL2L11/BIM, resulting in apoptosis. Involved in innate immunity; limits bacterial proliferation by sequestering iron bound to microbial siderophores, such as enterobactin. Can also bind siderophores from M.tuberculosis.
-
基因功能參考文獻:
- NGAL is expressed in enteroendocrine cells in small intestine as well as in colon. PMID: 29869714
- Urinary NGAL levels were increased in type 2 diabetic patients with early diabetic nephropathy. PMID: 29673928
- In the second trimester, high urinary levels indicate tubular injury in gestational diabetes mellitus cases which seems to be a result of hyperglycemia PMID: 28768458
- use of bedside NGAL assessment may significantly hasten diagnosis and treatment of CI-AKI PMID: 29791495
- neither the inflammatory biomarker calprotectin, nor the tubular biomarkers NGAL and KIM-1, provide robust prognostic information on the loss of renal function in a heterogeneous CKD population. All of them, however, are candidate prognostic biomarkers in primarily inflammatory renal diseases. PMID: 30078006
- Plasma NGAL is a valuable biomarker for differentiating between patients with asthma-chronic obstructive pulmonary disorder overlap and asthma patients. PMID: 29580282
- There is no significant relationship between breast cancer patients and LCN2 gene polymorphisms (rs11556770). PMID: 29915849
- Knockdown of NGAL protein exhibited inhibited proliferation, enhanced apoptosis, decreased expressions of nuclear factor kappa-light-chain-enhancer of activated B cells (NF-kappaB) as well as B-cell lymphoma-2 (Bcl-2) and increased expressions of cysteine-aspartic acid specific protease-9 (caspase-9) and Bcl2-associated X (Bax), as well as repressed tumorigenicity in vivo. PMID: 30308516
- Plasma NGAL level measured after return of spontaneous circulation can be an early predictor for the development of acute kidney injury after cardiac arrest. PMID: 29131707
- LCN2 might play a role in the cross-talk between bone homeostasis and glucose homeostasis. PMID: 29952418
- The serum levels of cystatin C and urine NGAL, urine OPN can be used as a good marker for assessing the renal effect of obesity which can lead end stage renal disease in pediatric population. PMID: 30035656
- Measurement of urinary NGAL levels showed an excellent diagnostic performance for discriminating patients with lupus nephritis from systemic lupus erythematosus without nephritis. PMID: 29533691
- In ambulatory healthy women, the relationships among serum LCN2 level, bone density, and osteocalcin were confounded by age and serum creatinine. Although LCN2 was positively related with c-terminal telopeptide of type 1 collagen, the correlation was very weak and may not be physiologically relevant. PMID: 29294226
- serum NGAL is an excellent marker for the early diagnosis of febrile UTI, with sensitivity and specificity higher than those of urine NGAL. PMID: 28980274
- In this study uNGAL failed to predict contrast induced acute kidney injury (CI-AKI)and was an inadequate triage tool to guide an early intervention strategy to prevent CI-AKI PMID: 28128223
- Study results suggest that stratum corneum neutrophil gelatinase-associated lipocalin may be useful as an objective biomarker of changes in acne vulgaris symptoms. PMID: 29473202
- Increased serum levels of NGAL were associated with loss of graft function in kidney transplant recipients. PMID: 29528011
- In Colombian systemic lupus erythematosus patients, urinary NGAL and MCP-1 in addition to anti-C1q antibodies were useful biomarkers for the identification of renal involvement and discrimination of active lupus nephritis. PMID: 29073812
- a mutant form (K3Cys) of endogenous lipocalin 2 (LCN2) is filtered by the kidney but can bypass sites of megalin-dependent recapture, resulting in urinary excretion PMID: 27796299
- predictive value of plasma neutrophil gelatinase-associated lipocalin (pNGAL) in patients with severe sepsis PMID: 29572184
- Results showed the expression levels of NGAL and NGALR significantly downregulated in clear cell renal cell carcinoma samples. PMID: 30138675
- The main finding of the present study was that serum NGAL levels paralleled increasing clinical activity of ulcerative colitis evaluated by Mayo score, and it also discriminated different stages of endoscopic severity of this disease. By contrast, only insignificant association of NGAL with endoscopic activity of Crohn's disease was found with no relationships with clinical activity scores. PMID: 29550798
- Upon screening of blood mediators in palmoplantar pustular psoriasis patients, LCN2 emerged as being significantly upregulated compared to healthy participants. PMID: 29395573
- Neutrophil gelatinase-associated lipocalin concentrations in the urine and serum on the second day of intensive care unit admission could be used to predict the development of acute kidney injury in the following three to seven days in the intensive care unit; however, the cystatin C concentration did not have predictive value PMID: 28142264
- In non-chronic kidney disease group, plasma NGAL was not associated with any baseline variables including iron indices PMID: 28389813
- We conclude that the underexpression of CRABP1 and the overexpression of LCN2 may be useful diagnostic biomarkers in thyroid tumours with questionable malignity, and the overexpression of LCN2 and C1QL1 may be useful for prognostic purposes. PMID: 29321030
- Blood lipocalin-2 is a biomarker for adipose tissue inflammation in HIV patients treated with antiretroviral therapy. PMID: 29304747
- This study illustrates the temporal regulation of NGAL in plasma and CSF, which potentially is a useful reference for studies measuring NGAL as biomarker in older individuals. PMID: 29082525
- Higher levels of NGAL in the acute kidney injury patients were associated with high-dose regimen of colistin. PMID: 29190605
- bile LCN2 level is a potential diagnostic marker for cholangiocarcinoma. PMID: 27782193
- Serum lipocalin-2 concentrations and mortality of severe traumatic brain injury PMID: 28943289
- Plasma NGAL is a useful marker of interstitial lesions in patients with chronic kidney disease (CKD) and a predictor of further kidney worsening in the early CKD stage. PMID: 28397074
- In STEMI patients, plasma post-percutaneous coronary intervention NGAL levels were decreased compared with pre-pPCI NGAL levels, even with the administration of potentially nephrotoxic contrast medium. Post-NGAL levels seemed to be superior to pre-NGAL levels for the prediction of 30-day mortality outcome. PMID: 28737526
- We found that MISP, KLF10, KLF15, PPP1R18, and RXRbeta proteins could strongly respond to TPA stimulation and activate LCN2 transcriptional expression. MEK, ERK, JNK, and P38 kinases were involved in the LCN2 transactivation. Furthermore, the MEK-ERK signal pathway plays a major role in this biological process but does not involve PKCalpha signaling. PMID: 29098164
- Nonrenal conditions and systemic severity should be considered for improved AKI prediction by NGAL and L-FABP as biomarkers. PMID: 27605390
- NGAL may have some value in non-proteinuric patients and increased values have been observed in persons at risk for Mesoamerican nephropathy--{REVIEW} PMID: 27771693
- Studied the role of urinary neutrophil gelatinase-associated lipocalin and albuminuria in the diagnosis of early stage diabetic nephropathy. PMID: 28845433
- LCN-2 protein overexpression was positively correlated with MMP-9. PMID: 27339395
- The measurement of NGAL appears to predict the occurrence of acute kidney injury after off-pump coronary artery bypass grafting surgery PMID: 28701593
- NGAL may have a role in early renal dysfunction even in nonalbuminuric T1D patients PMID: 28620620
- Elevated cord blood NGAL concentration seems to be a promising, novel marker, even in subclinical forms of acute kidney injury in asphyxiated neonates. PMID: 27590891
- Urinary NGAL levels increase soon after shock wave lithotripsy (SWL). Data suggest that NGAL could be used as an early biomarker of tissue injury after SWL. PMID: 27787615
- Results suggest that hippocampal LCN2 upregulation might be a potential pathogenic mechanism leading to further disruption of the hippocampus through neurotoxicity and neuroinflammation in vascular dementia (VaD). Astrocytes seem to be the major source of LCN2 in the hippocampus of rodent models and patients of VaD. Control of hippocampal astrocytic LCN2 expression or activity may be important for neuroprotection in VaD. PMID: 28581123
- AUC for day one uNGAL was greater for ICU (AUC=0.85) than in-hospital mortality (AUC=0.74). CONCLUSIONS: Day one uNGAL is a highly accurate predictor of ICU, but less so for in-hospital mortality PMID: 28674715
- The urine level of NGAL on the first day of amphotericin B administration was more accurate than serum creatinine in predicting acute kidney injury caused by this agent. PMID: 28575880
- Serum neutrophil gelatinase-associated lipocalin level was significantly higher among the total patient cohort and those with sepsis than among the controls, also in patients with systemic inflammatory response syndrome without sepsis and patients without systemic inflammatory response syndrome. Plasma level of neutrophil gelatinase-associated lipocalin was significantly elevated in nonsurvivors compared with survivors. PMID: 28445241
- On PICU day 1, interleukin-18 predicted acute kidney injury with area under the curve=0.82, but neutrophil gelatinase-associated lipocalin and liver fatty acid binding protein predicted acute kidney injury with area under the curve of less than or equal to 0.69; on PICU day 2, area under the curve was higher. Interleukin-18 and liver fatty acid binding protein on day 1 predicted prolonged acute kidney injury. PMID: 28430754
- Resistin and NGAL correlate with expression of endothelial cell adhesion molecules in sepsis. PMID: 28424824
- Direct effects of LCN2 on cardiomyocyte size and number and the consistent associations in experimental and human analyses reveal a central role for LCN2 in the ontogeny of cardiac hypertrophy and heart failure PMID: 28615213
- Our results suggest that associated serum levels of proMMP-9, NGAL, proMMP-9/NGAL and NE may reflect the state of systemic inflammation in chronic obstructive pulmonary disease related to cigarette smoking. PMID: 28004483
顯示更多
收起更多
-
亞細胞定位:Secreted. Cytoplasmic granule lumen. Cytoplasmic vesicle lumen.
-
蛋白家族:Calycin superfamily, Lipocalin family
-
組織特異性:Detected in neutrophils (at protein level). Expressed in bone marrow and in tissues that are prone to exposure to microorganism. High expression is found in bone marrow as well as in uterus, prostate, salivary gland, stomach, appendix, colon, trachea and
-
數據庫鏈接:
Most popular with customers
-
-
YWHAB Recombinant Monoclonal Antibody
Applications: ELISA, WB, IHC, IF, FC
Species Reactivity: Human, Mouse, Rat
-
Phospho-YAP1 (S127) Recombinant Monoclonal Antibody
Applications: ELISA, WB, IHC
Species Reactivity: Human
-
-
-
-
-















