LAX1 Antibody
-
中文名稱:LAX1兔多克隆抗體
-
貨號:CSB-PA811614LA01HU
-
規格:¥440
-
圖片:
-
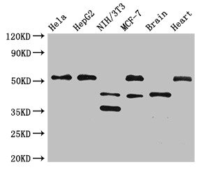
Western Blot
Positive WB detected in: Hela whole cell lysate, HepG2 whole cell lysate, NIH/3T3 whole cell lysate, MCF-7 whole cell lysate, Mouse brain tissue, Rat heart tissue
All lanes: LAX1 antibody at 2.7μg/ml
Secondary
Goat polyclonal to rabbit IgG at 1/50000 dilution
Predicted band size: 45, 36, 43 kDa
Observed band size: 51, 45, 36 kDa -
Immunofluorescent analysis of HepG2 cells using CSB-PA811614LA01HU at dilution of 1:100 and Alexa Fluor 488-congugated AffiniPure Goat Anti-Rabbit IgG(H+L)
-
-
其他:
產品詳情
-
產品名稱:Rabbit anti-Homo sapiens (Human) LAX1 Polyclonal antibody
-
Uniprot No.:
-
基因名:LAX1
-
別名:LAX1 antibody; LAX antibody; Lymphocyte transmembrane adapter 1 antibody; Linker for activation of X cells antibody; Membrane-associated adapter protein LAX antibody
-
宿主:Rabbit
-
反應種屬:Human, Mouse, Rat
-
免疫原:Recombinant Human Lymphocyte transmembrane adapter 1 protein (107-298AA)
-
免疫原種屬:Homo sapiens (Human)
-
標記方式:Non-conjugated
本頁面中的產品,LAX1 Antibody (CSB-PA811614LA01HU),的標記方式是Non-conjugated。對于LAX1 Antibody,我們還提供其他標記。見下表:
-
克隆類型:Polyclonal
-
抗體亞型:IgG
-
純化方式:>95%, Protein G purified
-
濃度:It differs from different batches. Please contact us to confirm it.
-
保存緩沖液:Preservative: 0.03% Proclin 300
Constituents: 50% Glycerol, 0.01M PBS, pH 7.4 -
產品提供形式:Liquid
-
應用范圍:ELISA, WB, IF
-
推薦稀釋比:
Application Recommended Dilution WB 1:500-1:5000 IF 1:50-1:200 -
Protocols:
-
儲存條件:Upon receipt, store at -20°C or -80°C. Avoid repeated freeze.
-
貨期:Basically, we can dispatch the products out in 1-3 working days after receiving your orders. Delivery time maybe differs from different purchasing way or location, please kindly consult your local distributors for specific delivery time.
-
用途:For Research Use Only. Not for use in diagnostic or therapeutic procedures.
相關產品
靶點詳情
-
功能:Negatively regulates TCR (T-cell antigen receptor)-mediated signaling in T-cells and BCR (B-cell antigen receptor)-mediated signaling in B-cells.
-
基因功能參考文獻:
- TRIM required LAX for binding to Rab8 in a complex, a novel CTLA-4/TRIM/LAX/Rab8 effector complex in the transport of CTLA-4 to the surfaces of T cells PMID: 24515439
- We identified the transmembrane domain of LAX as a first motif targeting transmembrane protein constructs to detergent-resistant heavy rafts, a novel type of membrane microdomains containing a number of physiologically important proteins. PMID: 22662118
- functions to negatively regulate signaling in lymphocytes PMID: 12359715
- inhibition of signaling events involved in T cell activation by LAX occurs through mechanisms both dependent on and independent of its tyrosine phosphorylation. PMID: 18981125
- Overexpression of LAX in Jurkat cells specifically inhibits T cell receptor-mediated p38 MAPK activation and NFAT/AP-1 transcriptional activation. PMID: 12359715
顯示更多
收起更多
-
亞細胞定位:Cell membrane; Single-pass type III membrane protein.
-
組織特異性:Expressed in spleen, thymus, and peripheral blood leukocytes. Expressed in several B-, T-, NK and monocyte cell lines.
-
數據庫鏈接:
Most popular with customers
-
-
YWHAB Recombinant Monoclonal Antibody
Applications: ELISA, WB, IHC, IF, FC
Species Reactivity: Human, Mouse, Rat
-
Phospho-YAP1 (S127) Recombinant Monoclonal Antibody
Applications: ELISA, WB, IHC
Species Reactivity: Human
-
-
-
-
-















