LATS2 Antibody
-
中文名稱:LATS2兔多克隆抗體
-
貨號:CSB-PA697830
-
規格:¥1100
-
圖片:
-
The image on the left is immunohistochemistry of paraffin-embedded Human thyroid cancer tissue using CSB-PA697830(LATS2 Antibody) at dilution 1/30, on the right is treated with synthetic peptide. (Original magnification: ×200)
-
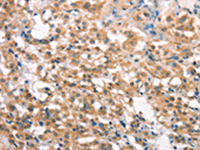
The image on the left is immunohistochemistry of paraffin-embedded Human liver cancer tissue using CSB-PA697830(LATS2 Antibody) at dilution 1/30, on the right is treated with synthetic peptide. (Original magnification: ×200)
-
-
其他:
產品詳情
-
Uniprot No.:
-
基因名:
-
別名:FLJ13161 antibody; Kinase phosphorylated during mitosis protein antibody; KPM antibody; Large tumor suppressor homolog 2 antibody; Large tumor suppressor homolog 2 Drosophila antibody; Large tumor suppressor kinase 2 antibody; LATS large tumor suppressor Drosophila homolog 2 antibody; LATS large tumor suppressor homolog 2 antibody; Lats2 antibody; LATS2_HUMAN antibody; Serine/threonine kinase kpm antibody; Serine/threonine protein kinase kpm antibody; Serine/threonine-protein kinase kpm antibody; Serine/threonine-protein kinase LATS2 antibody; Warts like kinase antibody; Warts-like kinase antibody
-
宿主:Rabbit
-
反應種屬:Human,Mouse
-
免疫原:Synthetic peptide of Human LATS2
-
免疫原種屬:Homo sapiens (Human)
-
標記方式:Non-conjugated
-
抗體亞型:IgG
-
純化方式:Antigen affinity purification
-
濃度:It differs from different batches. Please contact us to confirm it.
-
保存緩沖液:-20°C, pH7.4 PBS, 0.05% NaN3, 40% Glycerol
-
產品提供形式:Liquid
-
應用范圍:ELISA,IHC
-
推薦稀釋比:
Application Recommended Dilution ELISA 1:1000-1:2000 IHC 1:25-1:100 -
Protocols:
-
儲存條件:Upon receipt, store at -20°C or -80°C. Avoid repeated freeze.
-
貨期:Basically, we can dispatch the products out in 1-3 working days after receiving your orders. Delivery time maybe differs from different purchasing way or location, please kindly consult your local distributors for specific delivery time.
-
用途:For Research Use Only. Not for use in diagnostic or therapeutic procedures.
相關產品
靶點詳情
-
功能:Negative regulator of YAP1 in the Hippo signaling pathway that plays a pivotal role in organ size control and tumor suppression by restricting proliferation and promoting apoptosis. The core of this pathway is composed of a kinase cascade wherein STK3/MST2 and STK4/MST1, in complex with its regulatory protein SAV1, phosphorylates and activates LATS1/2 in complex with its regulatory protein MOB1, which in turn phosphorylates and inactivates YAP1 oncoprotein and WWTR1/TAZ. Phosphorylation of YAP1 by LATS2 inhibits its translocation into the nucleus to regulate cellular genes important for cell proliferation, cell death, and cell migration. Acts as a tumor suppressor which plays a critical role in centrosome duplication, maintenance of mitotic fidelity and genomic stability. Negatively regulates G1/S transition by down-regulating cyclin E/CDK2 kinase activity. Negative regulator of the androgen receptor. Phosphorylates SNAI1 in the nucleus leading to its nuclear retention and stabilization, which enhances its epithelial-mesenchymal transition and tumor cell invasion/migration activities. This tumor-promoting activity is independent of its effects upon YAP1 or WWTR1/TAZ.
-
基因功能參考文獻:
- Knockdown of Lats1/2 prevented the cytoplasmic delocalization of Yap1/Taz proteins in response to AICAR. PMID: 29730476
- USP9X is a deubiquitylase of the Hippo pathway kinase LATS2 and that the Hippo pathway functions as a downstream signaling cascade that mediates USP9X's tumor-suppressive activity. PMID: 29183995
- Knockdown of LATS2 attenuated the suppression of FUS overexpression on hepatocellular carcinoma progression, and LATS2 expression was positively correlated with FUS expression in hepatocellular carcinoma tissues. PMID: 30308519
- Study shows that LATS2 mRNA expression is remarkably downregulated in breast neoplasm while the protein expression level is absent. The absence of LATS2 protein strongly correlated with promoter hypermethylation and TNM staging. PMID: 30010037
- LATS2 overexpression is associated with chronic myeloid leukemia. PMID: 29387948
- The promotor methylation of LATS2 gene may play an important role in the occurrence of oral squamous cell carcinoma. PMID: 29972924
- Results identified that miR-31 directly suppressed LATS2 expression, which inactivated TAZ and led to the subsequent action of esophageal squamous cell carcinoma (ESCC) tumorigenicity. Significantly, it was showed that LATS2 and its downstream gene TAZ highly correlated with ESCC progression with poor prognosis. PMID: 29145896
- STK40 and LATS2 are conserved miR-31 target genes that have roles in regulation of keratinocyte growth and hair follicle biology PMID: 28419554
- Genetic data coupled with transcriptomic data allowed the identification of a new malignant pleural mesothelioma (MPM)molecular subgroup, C2(LN), characterized by a co-occurring mutation in the LATS2 and NF2 genes in the same MPM. MPM patients of this subgroup presented a poor prognosis. Coinactivation of LATS2 and NF2 leads to loss of cell contact inhibition between MPM cells PMID: 28003305
- LATS1/2 signaling via the Hippo pathway regulates human megakaryocytic differentiation. PMID: 27786336
- Low LATS2 expression is associated with Liver Cancer. PMID: 28775168
- The LATS2 is a prognostic biomarker and a tumour metastasis suppressor in hepatocellular carcinoma. PMID: 28247446
- The findings reveal a novel signal upstream of PRC2, and provide insight into the crucial role of LATS2 in coordinating the epigenome through regulation of PRC2. PMID: 27434182
- PVT1 recruits EZH2 to the large tumor suppressor kinase 2 (LATS2) promoter and represses LATS2 transcription. PMID: 26908628
- findings reveal a non-canonical (that is, YAP/TAZ-independent) effect of LATS in the regulation of human breast cell fate PMID: 28068668
- LATS2 as the direct target of miR-372 in prostate cancer cells. PMID: 27730751
- overexpression of LATS2 resulted in mobility inhibition in non-small cell lung cancer cell lines A549 and H1299, and reduced protein level of matrix metalloproteinase-2 (MMP-2) and MMP-9. PMID: 27470365
- LATS2 was found to have binding sites for miR-135b in the 3'UTR region and results demonstrated that LATS2 is a direct target of miR-135b which regulates its expression in breast cancer cells. PMID: 26934863
- Characterisation of LATS2 variants uncovers novel insights into the regulation of LATS kinases in Hippo signalling. PMID: 26898830
- LATS2 could be induced by TNF-alpha and inhibited cell proliferation and invasion by phosphorylating YAP in OSCC cells. PMID: 25782587
- Mutation in LATS2 gene is associated with malignant peritoneal mesothelioma. PMID: 25798586
- Phosphorylation of CHO1 at S716 by Lats2 regulate its centrosomal localization, and that phosphorylated CHO1 interacts with and activates LIMK1 during early mitosis. PMID: 25786116
- Loss of LATS2 expression is associated with lung cancer. PMID: 25946971
- results reported here further support that LATS1/2 act normally as tumor suppressors and loss of their functions contributes to human cancer development PMID: 25482410
- Phosphorylation of S716 NDR/LATS, present only in the longest Kif23 isoform, is required for phosphorylation at S814, revealing phosphorylation at these two sites, and differential regulation of Kif23-14-3-3 interaction for the two Kif23 isoforms. PMID: 25658096
- LATS1 and LATS2 kinases play an important role in the regulation of NS5A function through site-specific post-translational modification and that phosphorylation of Ser/Thr71 is essential for optimal viral genome replication. PMID: 25044019
- miR-25/miR-107-LATS2 axis might play an important role in proliferation and invasion of the gastric cancer cells PMID: 25824045
- Both LATS1 and LATS2 were not related with the clinical variables in mucinous and clear cell carcinoma PMID: 25841306
- LATS2 expression level is predictive of survival in patients with resected lung AD. LATS2 may modulate and contribute to tumor growth via different signaling pathways in EGFR mutant and wild-type tumors. PMID: 24976335
- LATS2 was found to negatively regulate NF-kappaB signaling in NSCLC cells. PMID: 25391426
- LATS2 protein overexpression is a prognostic indicator for patients diagnosed with colorectal cancer. PMID: 24976283
- miR-25 negatively regulated LATS2 expression and promoted OC cell growth and motility. PMID: 25179841
- LATS2 over-expression is associated with acute myeloid leukemia. PMID: 24743869
- NF2 loss-driven derepressed CRL4(DCAF1) promotes activation of YAP by inhibiting hippo pathwat kinases Lats1 and 2 in the nucleus. PMID: 25026211
- LATS2 directly interacts with beta-catenin and disrupts beta-catenin iteraction with BCL9. PMID: 24360964
- these results indicate that miR-181b promotes proliferation and invasion by targeting LATS2 in ovarian cancer cells. PMID: 24735543
- Phosphorylation by Lats2 induces degradation of p21 and promotes apoptosis. Findings describe a novel Lats2-dependent mechanism for induction of cell death in response to severe DNA damage. PMID: 23886938
- At low cell density, overexpression of the Hippo pathway kinase large tumor suppressor 2 (Lats2) inhibited c-Abl activity. PMID: 23852372
- LATS1 and LATS2 mutations from cancers can lead to loss or reduction of their growth-inhibitory activity PMID: 24026096
- These results collectively suggest that the Hippo pathway negatively regulates the actin-binding activity of Amot family members through direct phosphorylation. PMID: 24225952
- Thus AMOT is a direct substrate of Lats1/2 mediating functions of the Hippo pathway in endothelial cell migration and angiogenesis. PMID: 24106267
- Identifying novel kinases which modulate Estrogen Receptor alpha activity is relevant to therapeutics. LATS2 modulates Estrogen Receptor alpha-regulated gene transcription, through direct and/or indirect interactions with Estrogen Receptor alpha. PMID: 23267128
- LATS2 played important roles in mediating miR-93 functions associated with angiogenesis and metastasis by silencing. PMID: 23111389
- LATS2 represses reprogramming in cells by post-transcriptionally antagonizing TAZ but not YAP, two downstream effectors of the Hippo pathway. PMID: 22286172
- Lats2 kinase as a novel regulator of Snail1 protein level, subcellular localization, and thus, activity PMID: 21952048
- MicroRNA-31 regulated by the extracellular regulated kinase is involved in vascular smooth muscle cell growth via large tumor suppressor homolog PMID: 22020941
- AMOTL2 is as a novel activator of LATS2. PMID: 21832154
- the results suggest that the Aurora A-Lats1/2-Aurora B axis might be a novel pathway that regulates accurate mitotic progression by ensuring the proper mitotic localization of Lats2. PMID: 21822051
- Results reveal a functional connection between the pRB and Hippo tumor suppressor pathways, and suggest that low levels of LATS2 may undermine the ability of pRB to induce a permanent cell cycle arrest in tumor cells. PMID: 21498571
- Inactivation of LATS2 is one of the key mechanisms for constitutive activation of YAP, which induces deregulation of MM cell proliferation. PMID: 21245096
顯示更多
收起更多
-
亞細胞定位:Cytoplasm, cytoskeleton, microtubule organizing center, centrosome. Cytoplasm. Cytoplasm, cytoskeleton, spindle pole. Nucleus. Note=Colocalizes with AURKA at the centrosomes during interphase, early prophase and cytokinesis. Migrates to the spindle poles during mitosis, and to the midbody during cytokinesis. Translocates to the nucleus upon mitotic stress by nocodazole treatment.
-
蛋白家族:Protein kinase superfamily, AGC Ser/Thr protein kinase family
-
組織特異性:Expressed at high levels in heart and skeletal muscle and at lower levels in all other tissues examined.
-
數據庫鏈接:
Most popular with customers
-
-
YWHAB Recombinant Monoclonal Antibody
Applications: ELISA, WB, IHC, IF, FC
Species Reactivity: Human, Mouse, Rat
-
Phospho-YAP1 (S127) Recombinant Monoclonal Antibody
Applications: ELISA, WB, IHC
Species Reactivity: Human
-
-
-
-
-















