LAPTM5 Antibody
-
中文名稱:LAPTM5兔多克隆抗體
-
貨號:CSB-PA622667LA01HU
-
規格:¥440
-
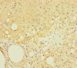
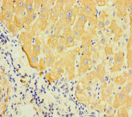
圖片:
-
其他:
產品詳情
-
產品名稱:Rabbit anti-Homo sapiens (Human) LAPTM5 Polyclonal antibody
-
Uniprot No.:
-
基因名:LAPTM5
-
別名:LAPTM5; KIAA0085; Lysosomal-associated transmembrane protein 5; Lysosomal-associated multitransmembrane protein 5; Retinoic acid-inducible E3 protein
-
宿主:Rabbit
-
反應種屬:Human
-
免疫原:Recombinant Human Lysosomal-associated transmembrane protein 5 protein (205-262AA)
-
免疫原種屬:Homo sapiens (Human)
-
標記方式:Non-conjugated
本頁面中的產品,LAPTM5 Antibody (CSB-PA622667LA01HU),的標記方式是Non-conjugated。對于LAPTM5 Antibody,我們還提供其他標記。見下表:
-
克隆類型:Polyclonal
-
抗體亞型:IgG
-
純化方式:>95%, Protein G purified
-
濃度:It differs from different batches. Please contact us to confirm it.
-
保存緩沖液:Preservative: 0.03% Proclin 300
Constituents: 50% Glycerol, 0.01M PBS, PH 7.4 -
產品提供形式:Liquid
-
應用范圍:ELISA, IHC
-
推薦稀釋比:
Application Recommended Dilution IHC 1:20-1:200 -
Protocols:
-
儲存條件:Upon receipt, store at -20°C or -80°C. Avoid repeated freeze.
-
貨期:Basically, we can dispatch the products out in 1-3 working days after receiving your orders. Delivery time maybe differs from different purchasing way or location, please kindly consult your local distributors for specific delivery time.
-
用途:For Research Use Only. Not for use in diagnostic or therapeutic procedures.
相關產品
靶點詳情
-
功能:May have a special functional role during embryogenesis and in adult hematopoietic cells.
-
基因功能參考文獻:
- These findings suggest that the inactivation of LAPTM5 may contribute to tumorigenesis in a subset of human cancers PMID: 27058622
- Taken together, our results suggested that decreased LAPTM5 inhibited proliferation and viability, as well as induced G0/G1 cell cycle arrest possibly via deactivation of ERK1/2 and p38 in BCa cells PMID: 27922670
- Insufficient expression of LAPTM5 may take part in the pathogenesis of systemic lupus erythematosus (SLE) and contribute to the severity of the disease, none of LAPTM5 polymorphisms contributes significantly to SLE susceptibility in a Chinese population. PMID: 25998573
- The interaction of LAPTM5 with CD1e and their colocalization in antigen processing compartments both suggest that LAPTM5 might influence the role of CD1e in the presentation of lipid antigens. PMID: 22880058
- LAPTM5 is a substrate of the ITCH-mediated degradation and its protein level is negatively regulated by ITCH PMID: 22009753
- LAPTM5-mediated programmed cell death is closely associated with the spontaneous regression of neuroblastomas PMID: 19787053
- LAPTM5 shows stage-specific expression during B cell differentiation. It may be involved in B cell malignancies. PMID: 12527926
- results suggest that loss of E3 gene expression might be a crucial event during the progression of human MM PMID: 12886255
顯示更多
收起更多
-
亞細胞定位:Lysosome membrane; Multi-pass membrane protein.
-
蛋白家族:LAPTM4/LAPTM5 transporter family
-
組織特異性:Preferentially expressed in adult hematopoietic tissues. High levels in lymphoid and myeloid tissues. Highly expressed in peripheral blood leukocytes, thymus, spleen and lung, followed by placenta, liver and kidney.
-
數據庫鏈接:
Most popular with customers
-
-
YWHAB Recombinant Monoclonal Antibody
Applications: ELISA, WB, IHC, IF, FC
Species Reactivity: Human, Mouse, Rat
-
Phospho-YAP1 (S127) Recombinant Monoclonal Antibody
Applications: ELISA, WB, IHC
Species Reactivity: Human
-
-
-
-
-















