LAMTOR1 Antibody
-
中文名稱:LAMTOR1兔多克隆抗體
-
貨號:CSB-PA757083LA01HU
-
規格:¥440
-
圖片:
-
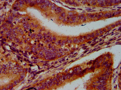
IHC image of CSB-PA757083LA01HU diluted at 1:600 and staining in paraffin-embedded human endometrial cancer performed on a Leica BondTM system. After dewaxing and hydration, antigen retrieval was mediated by high pressure in a citrate buffer (pH 6.0). Section was blocked with 10% normal goat serum 30min at RT. Then primary antibody (1% BSA) was incubated at 4°C overnight. The primary is detected by a biotinylated secondary antibody and visualized using an HRP conjugated SP system.
-
Immunofluorescence staining of MCF-7 cells with CSB-PA757083LA01HU at 1:200, counter-stained with DAPI. The cells were fixed in 4% formaldehyde, permeabilized using 0.2% Triton X-100 and blocked in 10% normal Goat Serum. The cells were then incubated with the antibody overnight at 4°C. The secondary antibody was Alexa Fluor 488-congugated AffiniPure Goat Anti-Rabbit IgG(H+L).
-
-
其他:
產品詳情
-
產品名稱:Rabbit anti-Homo sapiens (Human) LAMTOR1 Polyclonal antibody
-
Uniprot No.:
-
基因名:
-
別名:C11orf59 antibody; LAMTOR1 antibody; Late endosomal/lysosomal adaptor and MAPK and MTOR activator 1 antibody; Lipid raft adaptor protein p18 antibody; LTOR1_HUMAN antibody; p18 antibody; p27Kip1-releasing factor from RhoA antibody; p27RF-Rho antibody; PDRO antibody; PP7157 antibody; Protein associated with DRMs and endosomes antibody; Ragulator complex protein LAMTOR1 antibody; ragulator complex protein PDRO antibody; Ragulator1 antibody; RhoA activator C11orf59 antibody
-
宿主:Rabbit
-
反應種屬:Human
-
免疫原:Recombinant Human Ragulator complex protein LAMTOR1 protein (2-161AA)
-
免疫原種屬:Homo sapiens (Human)
-
標記方式:Non-conjugated
本頁面中的產品,LAMTOR1 Antibody (CSB-PA757083LA01HU),的標記方式是Non-conjugated。對于LAMTOR1 Antibody,我們還提供其他標記。見下表:
-
克隆類型:Polyclonal
-
抗體亞型:IgG
-
純化方式:>95%, Protein G purified
-
濃度:It differs from different batches. Please contact us to confirm it.
-
保存緩沖液:Preservative: 0.03% Proclin 300
Constituents: 50% Glycerol, 0.01M PBS, pH 7.4 -
產品提供形式:Liquid
-
應用范圍:ELISA, IHC, IF
-
推薦稀釋比:
Application Recommended Dilution IHC 1:500-1:1000 IF 1:200-1:500 -
Protocols:
-
儲存條件:Upon receipt, store at -20°C or -80°C. Avoid repeated freeze.
-
貨期:Basically, we can dispatch the products out in 1-3 working days after receiving your orders. Delivery time maybe differs from different purchasing way or location, please kindly consult your local distributors for specific delivery time.
-
用途:For Research Use Only. Not for use in diagnostic or therapeutic procedures.
相關產品
靶點詳情
-
功能:As part of the Ragulator complex it is involved in amino acid sensing and activation of mTORC1, a signaling complex promoting cell growth in response to growth factors, energy levels, and amino acids. Activated by amino acids through a mechanism involving the lysosomal V-ATPase, the Ragulator functions as a guanine nucleotide exchange factor activating the small GTPases Rag. Activated Ragulator and Rag GTPases function as a scaffold recruiting mTORC1 to lysosomes where it is in turn activated. LAMTOR1 is directly responsible for anchoring the Ragulator complex to membranes. Also required for late endosomes/lysosomes biogenesis it may regulate both the recycling of receptors through endosomes and the MAPK signaling pathway through recruitment of some of its components to late endosomes. May be involved in cholesterol homeostasis regulating LDL uptake and cholesterol release from late endosomes/lysosomes. May also play a role in RHOA activation.
-
基因功能參考文獻:
- In vitro reconstitution and experiments with site-directed mutagenesis defined the physiological importance of LAMTOR1 in assembling the remaining components to ensure fidelity of mTORC1 signaling. PMID: 28935770
- LAMTOR1 is a negative regulator of Arl8b- and BORC-dependent late endosomal positioning. PMID: 28993467
- Study found that NF1 negatively regulates mTOR signaling in a LAMTOR1-dependent manner. In addition, the cell growth and survival of NF1-deficient cells have become dependent on hyperactivation of the mTOR pathway, and the tumorigenic properties of these cells have become dependent on LAMTOR1. PMID: 28174230
- Western blot experiments designed to detect flotillin 2, TMEM256, Rab3B and LAMTOR1 showed that the level of these proteins was higher in urinary exosomes from prostate cancer patients compared to healthy males PMID: 27664330
- Data suggest that ablation of p18/LAMTOR1 suppresses starvation-induced cell death by stimulating autophagy through modulation of p27(kip1) activity. PMID: 26032166
- LAMTOR1 expression affects the tuning of lysosomal activation that can lead to p53-dependent apoptosis through excessive catabolism. PMID: 22513874
- A p27(kip1)-binding protein, p27RF-Rho, promotes cancer metastasis via activation of RhoA and RhoC. PMID: 21087931
- MT1-MMP-associated protein p27RF-Rho binds p27(kip1) and prevents p27(kip1) from binding to RhoA. [p27RF-Rho] PMID: 19654316
- A complex encoded by the MAPKSP1, ROBLD3, and c11orf59 genes interacts with the Rag GTPases, recruits them to lysosomes, and is essential for mTORC1 activation PMID: 20381137
- Studies in rat and mice, identified the rat p18 protein as an endosomal membrane anchoring protein which interacts with MEK1 scaffold p14/MP1 and mobilizes them to late endosome. PMID: 19177150
顯示更多
收起更多
-
亞細胞定位:Late endosome membrane; Lipid-anchor; Cytoplasmic side. Lysosome membrane; Lipid-anchor; Cytoplasmic side. Cell membrane.
-
蛋白家族:LAMTOR1 family
-
數據庫鏈接:
Most popular with customers
-
-
YWHAB Recombinant Monoclonal Antibody
Applications: ELISA, WB, IHC, IF, FC
Species Reactivity: Human, Mouse, Rat
-
Phospho-YAP1 (S127) Recombinant Monoclonal Antibody
Applications: ELISA, WB, IHC
Species Reactivity: Human
-
-
-
-
-















