L2HGDH Antibody
-
中文名稱:L2HGDH兔多克隆抗體
-
貨號:CSB-PA864008ESR2HU
-
規格:¥440
-
圖片:
-
Western Blot
Positive WB detected in: PC-3 whole cell lysate(20μg)
All lanes: L2HGDH antibody at 1:1000
Secondary
Goat polyclonal to rabbit IgG at 1/40000 dilution
Predicted band size: 50, 48 kDa
Observed band size: 50 kDa
Exposure time: 120s -
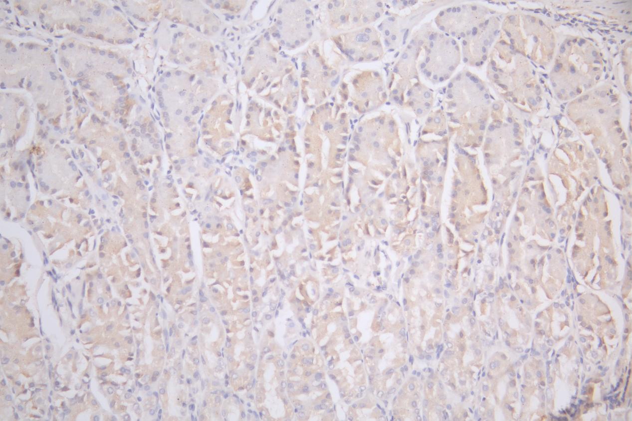
IHC image of CSB-PA864008ESR2HU diluted at 1:100 and staining in paraffin-embedded human stomach tissue performed on a Leica BondTM system. After dewaxing and hydration, antigen retrieval was mediated by high pressure in a citrate buffer (pH 6.0). Section was blocked with 10% normal goat serum 30min at RT. Then primary antibody (1% BSA) was incubated at 4°C overnight. The primary is detected by a Goat anti-rabbit polymer IgG labeled by HRP and visualized using 0.05% DAB.
-
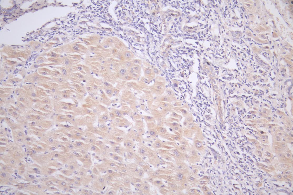
IHC image of CSB-PA864008ESR2HU diluted at 1:100 and staining in paraffin-embedded human Liver cancer performed on a Leica BondTM system. After dewaxing and hydration, antigen retrieval was mediated by high pressure in a citrate buffer (pH 6.0). Section was blocked with 10% normal goat serum 30min at RT. Then primary antibody (1% BSA) was incubated at 4°C overnight. The primary is detected by a Goat anti-rabbit polymer IgG labeled by HRP and visualized using 0.05% DAB.
-
-
其他:
產品詳情
-
產品名稱:Rabbit anti-Homo sapiens (Human) L2HGDH Polyclonal antibody
-
Uniprot No.:
-
基因名:L2HGDH
-
別名:2 hydroxyglutarate dehydrogenase antibody; Alpha hydroxyglutarate oxidoreductase antibody; Alpha ketoglutarate reductase antibody; C14orf160 antibody; Duranin antibody; FLJ12618 antibody; L alpha hydroxyglutarate dehydrogenase antibody; L-2-hydroxyglutarate dehydrogenase antibody; L-2-hydroxyglutarate dehydrogenase, mitochondrial antibody; L2HDH_HUMAN antibody; l2hgdh antibody; mitochondrial antibody
-
宿主:Rabbit
-
反應種屬:Human
-
免疫原:Recombinant Human L-2-hydroxyglutarate dehydrogenase, mitochondrial protein (1-220AA)
-
免疫原種屬:Homo sapiens (Human)
-
標記方式:Non-conjugated
-
克隆類型:Polyclonal
-
抗體亞型:IgG
-
純化方式:Antigen Affinity Purified
-
濃度:It differs from different batches. Please contact us to confirm it.
-
保存緩沖液:Preservative: 0.03% Proclin 300
Constituents: 50% Glycerol, 0.01M PBS, pH 7.4 -
產品提供形式:Liquid
-
應用范圍:ELISA, WB, IHC
-
推薦稀釋比:
Application Recommended Dilution WB 1:1000-1:5000 IHC 1:20-1:200 -
Protocols:
-
儲存條件:Upon receipt, store at -20°C or -80°C. Avoid repeated freeze.
-
貨期:Basically, we can dispatch the products out in 1-3 working days after receiving your orders. Delivery time maybe differs from different purchasing way or location, please kindly consult your local distributors for specific delivery time.
-
用途:For Research Use Only. Not for use in diagnostic or therapeutic procedures.
相關產品
靶點詳情
-
基因功能參考文獻:
- In this study, we describe a large pedigree from Pakistan showing multiple neurological symptoms. Homozygosity mapping and Sanger sequencing revealed a novel missense mutation in L2HGDH gene. PMID: 29458334
- The mutations of the L2HGDH gene as the causes of L-2-hydroxyglutaric aciduria. PMID: 29980873
- c.845G>A (p.R282Q) in the exon 7 of the L2HGDH gene is associated with 2-hydroxyglutaric aciduria in Chinese family. PMID: 26829733
- Intragenic single nucleotide length polymorphisms and two extragenic microsatellites flanking the L2HGDH gene confirm the founder effect of c.241A>G mutation in the 14 studied cases. PMID: 24573090
- modest increases in intracellular 2-HG in acute myeloid leukaemia cells, as seen with the rs11554137 SNP, might enhance chemoresistance, or promote acquisition of leukaemia-iniating mutations PMID: 24606602
- Report ten novel mutations in the L2HGDH gene in patients with L-2-hydroxyglutaric aciduria from different ethnic backgrounds. PMID: 18415700
- Report three unrelated Tunisian families containing seven patients with L2HGA mutations and inter-familial phenotype variability. PMID: 18780161
- L2HGDH mutation is not associated with glioblastoma. PMID: 21625441
- We did not find evidence for mutations in the genes D2HGDH and L2HGDH as an alternative mechanism for raised 2-hydroxyglutarate levels in brain tumours PMID: 20727073
- Exonic mutations in the L2HGDH gene in Staffordshire bull terriers have been identified and associated with epilepsy. PMID: 20852250
- analysis of genetic heterogeneity in D-2-hydroxyglutaric aciduria PMID: 20020533
- The phenotype, including neurological manifestations and urinary levels of alpha-hydroxyglutarate, is reported and the phenotype-genotype relationship, is evaluated. PMID: 20052767
- we present three novel mutations (Gln197X, Gly211Val and c.540+1 G>A), which increase the present deleterious collection of L2HGDH gene up to 35 mutationsthat we have compiled in this study. PMID: 19911013
- encodes a putative mitochondrial protein with homology to FAD-dependent oxidoreductases; a mutant gene is accociated with L-2-hydroxyglutaric aciduria.propose to name the gene duranin PMID: 15385440
- data indicate that l-2-hydroxyglutaric aciduria is due to a deficiency in l-2-hydroxyglutarate dehydrogenase PMID: 16005139
- Indicate that 2-ketoglutaric acid is the metabolic precursor of L-2-hydrosyglutaric acid in L-2-hydroxyglutaric acid aciduria. PMID: 17876720
- We successfully treated an adult patient with L-2-hydroxyglutaric aciduria using FAD and levocarnitine. PMID: 18362286
- Data show that L-2-hydroxyglutaric aciduria and brain tumors in children with mutations in the L2HGDH gene in exon 3 (c.292C-->T) and in exon 7 (c.887T-->A). PMID: 18671189
顯示更多
收起更多
-
相關疾?。?/div>L-2-hydroxyglutaric aciduria (L2HGA)亞細胞定位:Mitochondrion.蛋白家族:L2HGDH family組織特異性:Widely expressed. Highly expressed in brain, testis and muscle. Expressed to a lower extent in lymphocytes, fibroblasts, keratinocytes, placenta, bladder, small intestine, liver and bone marrow.數據庫鏈接:
Most popular with customers
-
-
YWHAB Recombinant Monoclonal Antibody
Applications: ELISA, WB, IHC, IF, FC
Species Reactivity: Human, Mouse, Rat
-
Phospho-YAP1 (S127) Recombinant Monoclonal Antibody
Applications: ELISA, WB, IHC
Species Reactivity: Human
-
-
-
-
-















