KRT40 Antibody
-
中文名稱:KRT40兔多克隆抗體
-
貨號:CSB-PA696577
-
規格:¥1100
-
圖片:
-
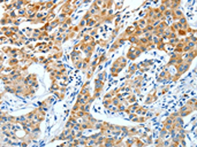
The image on the left is immunohistochemistry of paraffin-embedded Human cervical cancer tissue using CSB-PA696577(KRT40 Antibody) at dilution 1/30, on the right is treated with fusion protein. (Original magnification: ×200)
-
The image on the left is immunohistochemistry of paraffin-embedded Human lung cancer tissue using CSB-PA696577(KRT40 Antibody) at dilution 1/30, on the right is treated with fusion protein. (Original magnification: ×200)
-
-
其他:
產品詳情
-
Uniprot No.:
-
基因名:
-
別名:CK-40 antibody; Cytokeratin-40 antibody; hair cortex Cytokeratin antibody; K1C40_HUMAN antibody; K40 antibody; Keratin antibody; Keratin; type I cytoskeletal 40 antibody; Keratin-40 antibody; Krt40 antibody; type I cytoskeletal 40 antibody; Type I hair keratin Ka36 antibody
-
宿主:Rabbit
-
反應種屬:Human,Mouse,Rat
-
免疫原:Fusion protein of Human KRT40
-
免疫原種屬:Homo sapiens (Human)
-
標記方式:Non-conjugated
-
抗體亞型:IgG
-
純化方式:Antigen affinity purification
-
濃度:It differs from different batches. Please contact us to confirm it.
-
保存緩沖液:-20°C, pH7.4 PBS, 0.05% NaN3, 40% Glycerol
-
產品提供形式:Liquid
-
應用范圍:ELISA,IHC
-
推薦稀釋比:
Application Recommended Dilution ELISA 1:2000-1:5000 IHC 1:25-1:100 -
Protocols:
-
儲存條件:Upon receipt, store at -20°C or -80°C. Avoid repeated freeze.
-
貨期:Basically, we can dispatch the products out in 1-3 working days after receiving your orders. Delivery time maybe differs from different purchasing way or location, please kindly consult your local distributors for specific delivery time.
-
用途:For Research Use Only. Not for use in diagnostic or therapeutic procedures.
相關產品
靶點詳情
-
功能:May play a role in late hair differentiation.
-
基因功能參考文獻:
- KRT39 and KRT40 expression patterns complete sequential expression of the 16 hair keratins in the human hair follicle PMID: 17301834
-
蛋白家族:Intermediate filament family
-
組織特異性:Expressed in skin and scalp. Also very weakly expressed in tongue, breast, colon and small intestine. In the hair follicle, it is specifically present in the upper hair cuticle. Not present in the upper cortex (at protein level).
-
數據庫鏈接:
Most popular with customers
-
-
YWHAB Recombinant Monoclonal Antibody
Applications: ELISA, WB, IHC, IF, FC
Species Reactivity: Human, Mouse, Rat
-
Phospho-YAP1 (S127) Recombinant Monoclonal Antibody
Applications: ELISA, WB, IHC
Species Reactivity: Human
-
-
-
-
-















